AOTRAUMA.ORG Центр Илизарова  

Ортопедия и травматология Общие вопросы/General questions Help Информационные технологии в медицине
 вверх
 отправить
 поиск
 админ
 главная


множественный перелом локтя
Ортопедия и травматология Отправлено Владимир 07 Декабрь 2013, 05:04
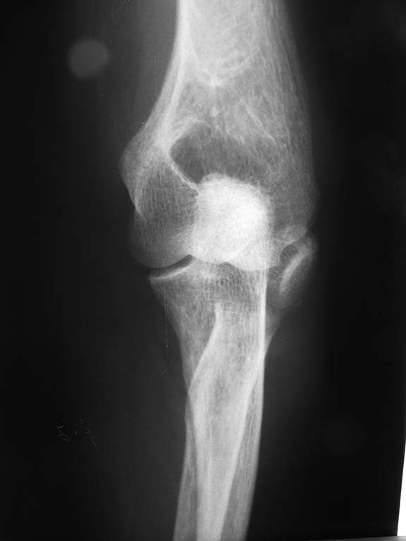
Здравствуйте, всем доброй ночи. Поступила женщина 50 лет. Перелом шейки лучевой кости слева. Чрезмыщелковый перелом плеча слева. Перелом лучевой кости слева со смещением+ шиловидный отросток локтевой кости.
Что делать? Поделитесь, пожалуйста, своим мнением по тактике лечения такой травмы.

<  |  >

 

  • Сообщения о Ортопедия и травматология
  • Также Владимир
  • Связаться с автором
  • Ответить

    Re: множественный перелом локтя
    Савранский Александр 07 Декабрь 2013, 18:04
    1вариант- луч надо вправлять, гипсовая лонгета выше плечевого сустава на 3недели, потом протезировать головку
    2вариант- одномоментно - протез головки и пластина на луч или репозиция , но надо аккуратно, чтобы не сместить перелом мыщелков
    [ Ответить ]

    • Re: множественный перелом локтя
      Отправитель: Ниязов Нияз 08 Декабрь 2013, 19:25
      чрезмыщелкого перелома я тоже не вижу. Уважаемый Александр а почему так радикально с головкой луча? перелом же простой? Не думаю, что это дань моде протезировать Все и Вся.

      [ Ответить ]
      • Re: множественный перелом локтя
        Отправитель: Савранский Александр 08 Декабрь 2013, 22:57
        Перелом мыщелков установлен автором сообщения, по снимкам во вложении его также можно предположить
        Перелом головки луча с полным ее смещением и разворотом ее под углом 90 градусов
        Протезирование головки возможно более перспективно в плане функции, хотя будет интересно услышать мнение коллег

        [ Ответить ]
    Re: множественный перелом локтя
    Дедок Михаил 07 Декабрь 2013, 18:11
    Чрезмыщелкового перелома плеча не видно.. Головку лучевой вернуть на место и синтезировать (если есть чем). Дистальный луч то же синтезировать.
    [ Ответить ]

    Re: множественный перелом локтя
    Курышев Данила 09 Декабрь 2013, 03:55
    Доброго времени суток!
    Много смотрел - множественных переломов локтя не обнаружил. Боюсь показаться глупым, но на мой взгляд головку луча можно вернуть на место путём открытой репозиции без обширных диссекций. Вариант фиксации, по-моему мнению - ретроградный ИМО. Я бы выбрал два TEN 2,5-3 мм. Остеопороза не видно. Женщина не старая. Эндопротезирование никуда не денется. Дистальный луч можно по-всякому стабилизировать. С уважением!
    [ Ответить ]

    Re: множественный перелом локтя
    Бережной Сергей 09 Декабрь 2013, 22:35
    Интересно, что все как один участники дискуссии говорят только об остеосинтезе или протезировании головки луча и операции на дистальном отделе. Неужели эти операции так прочно вошли в повседневную практику? Фрагмент головки маленький, значительное смещение. Вероятность несращения в случае остеосинтеза высокая. Почему просто не удалить головку и не приступить к ранней разработке движений? А смещение дистального луча вовсе ерундовое. Опять не могу понять, сейчас принято синтезировать подобные переломы без попытки ручной репозиции? Это же все травматологи только и будут с утра до вечера делать остеосинтезы лучей в типичном месте. И еще не очень понял насчет ретроградного остеосинтеза головки луча двумя тэнами. Их же вводят через дистальный конец лучевой кости? То есть ими же будет синтезирован и дистальный перелом?
    [ Ответить ]

    • Re: множественный перелом локтя
      Отправитель: Курышев Данила 15 Декабрь 2013, 23:46
      Совершенно верно, уважаемый Сергей Юрьевич. Ретроградно, можно и через дистальный отломок луча с предварительной его репозицией. У детей с подобными переломами такое получается. Головка по предъявленным снимкам сломана субкамитально, отломок - вся головка + развёрнута на 90 градусов. Можно, конечно, репонировать закрыто с джойстиком или леватором. Нейлинг, на мой взгляд, совсем не ухудшит судьбу головки и позволит как можно раньше начать движения в суставах предплечья.
      С глубоким уважением!

      [ Ответить ]
    Re: множественный перелом локтя
    Владимир 09 Декабрь 2013, 22:50
    Завтра операция. Остановились на минимальной ивазии. Резекция головки, закрытая репозиция луча. Ну а если расшатается чрезмыщелковый перелом, тогда будет интересно.
    [ Ответить ]

    Re: множественный перелом локтя
    maxim agalakov 10 Декабрь 2013, 20:25
    я бы протестировал сустав в условиях анестезии, если блока нет - функциональное лечение. А на счет луча - снимки непонятные, во всяком случае - лечить как луч
    [ Ответить ]


    ( Ответить )

    Powered by Zope  Squishdot Powered MedLink
    Посетитель: 0181308
      "По форме правильно, а по существу - издевательство" В.И.Ленин
    ©2001-2019Orthoforum Coordinator.
    [ Главная | Отправить сообщение | Поиск | Админ ]