AOTRAUMA.ORG Центр Илизарова  

Ортопедия и травматология Общие вопросы/General questions Help Информационные технологии в медицине
 вверх
 отправить
 поиск
 админ
 главная


Ложный сустав ключицы
Ортопедия и травматология Отправлено Георгий 17 Декабрь 2013, 10:03
Уважаемые коллеги, помогите с тактикой лечения
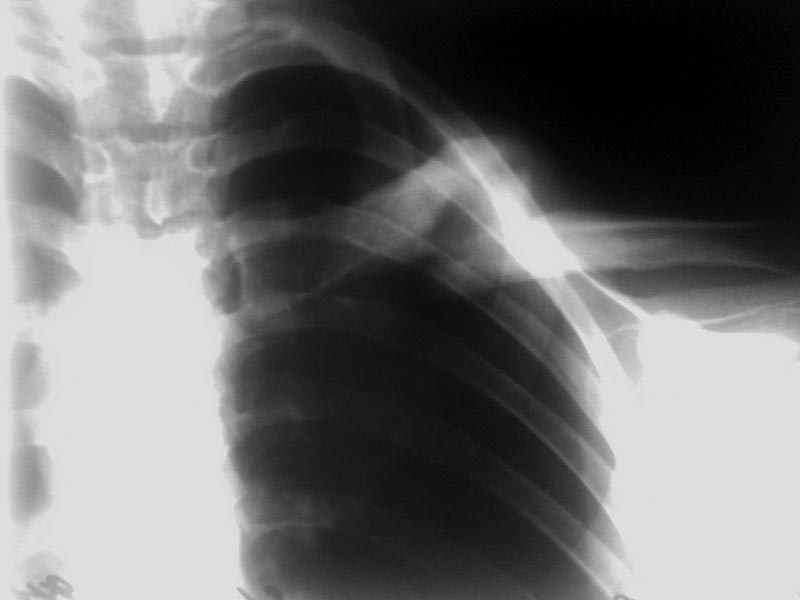
Обратилась пациентка 25 лет, прибыла из другого района. Травма в марте 2013, через 2 недели выполнена открытая репозиция ключицы, синтез спицей.в июле - миграция спицы, открылся свищ, спица удалена.На сегодняшний момент в области рубца - свищ с серозным отделяемым, умеренная деформация надплечья, боли при движениях, подвижности нет.по снимкам - ложный сустав.Опыта лечения подобных повреждений нет. Помогите с тактикой лечения.

<  |  >

 

  • Сообщения о Ортопедия и травматология
  • Также Георгий
  • Связаться с автором
  • Ответить

    Re: Ложный сустав ключицы
    Дедок Михаил 17 Декабрь 2013, 18:57
    Снимок не качественный. Но складывается впечатление, что там консолидация.
    Сделайте фистулографию, если еще и КТ при этом- то здорово.

    А дальше плясать по ситуации.

    Перед операцией свищ прокрасьте зеленой с перекисью. Все больное уберете, если от ключицы что нибудь останется- хорошо. Если нет, то варианта два
    1. Сразу костная пластика на спейсере.
    2. Оставить дефект, пусть отдохнет месяца 3 и если не не устроит, то опять костная пластика и синтез пластинкой с УС.

    У меня пациент с дефектом ключицы 5 см от повторной операции отказался. Функция хорошая. А рубцы не дают "выступать" резецированным концам.

    Но то был мужик, а тут женщина... это очень осложняет дело...
    [ Ответить ]

    Re: Ложный сустав ключицы
    Сергей 18 Декабрь 2013, 23:13
    Дорогие коллеги! Если ключицу не трогать - всегда за месяц срастется. Вот типичный результат "лечения." А что теперь делать - согласен с Михаилом.
    [ Ответить ]

    • Re: Ложный сустав ключицы
      Отправитель: Георгий 20 Декабрь 2013, 04:21
      Вы все ключицы консервативно лечите?

      [ Ответить ]
    Re: Ложный сустав ключицы
    Максим Банецкий 21 Декабрь 2013, 12:09
    Может предложу дурацкую идею, но все таки. Илизаров говорил, что остеомиелит сгорает в огне регенерата. По своему маленькому опыту лечения остеомиелитов могу сказать, что как ни странно, но он был прав . Может, наложить спицевой аппарат, произвести продольную остеотомию через все остеомиелитические полости и погонять его на компрессию и дисстракцию. Спицы есть с нарезкой, так что может получится не накладывать громоздкие кольца.
    [ Ответить ]

    Re: Ложный сустав ключицы
    Александр Назаров 21 Декабрь 2013, 12:13
    что в посеве растет?
    [ Ответить ]

    • Re: Ложный сустав ключицы
      Отправитель: Георгий 21 Декабрь 2013, 17:27
      Еще не выросло

      [ Ответить ]
    Re: Ложный сустав ключицы
    Sergiy Nesterenko 22 Декабрь 2013, 08:01
    Раз есть боль при движениях - то скорее всего не срослась. КТ поможет сказать наверняка.
    Здесь две проблемы: ложный сустав и инфекция.

    Ложный сустав похож на гипертрофический, что означает, что перелому не хватает стабильности. Если открыть, хорошо отмыть и стабилизировать пластиной - то должно срастись. Если есть титановые имплантаты - лучше всего, т.к. титан не позволяет формироваться псевдомембране.

    Инфекция: стабилизация перелома сама по себе способствует борьбе и инфекцией. В Штатах остеомиелит лечат внутривенными антибиотиками в течение 6 недель. Выбор антибиотика зависит от посева.

    [ Ответить ]

    Re: Ложный сустав ключицы
    Данила Курышев 25 Декабрь 2013, 00:46
    Ну, почему же, только фасный снимок.... Ключица - очень доступная кость. На мой взгляд - можно смло проникнуть в место перелома, удалить мозольные экзостозы, сомнительную ткан, грануляции. Фрагменты ключицы можно стабилизировать мостовидно пластиной с угловой стабильностью. К месту дефекта можно уложить мембраны Коллатамп с гентамицином. Вакуум будет удобен. Пусть потом он ходит с пластиной - пока не срастётся. Пациент молодой.
    "Я так вижу" (с) :))
    С глубоким уважением.
    [ Ответить ]

    Re: Ложный сустав ключицы
    ГКБ 06 Май 2014, 12:31
    ревизия, аппарат на ключицу
    [ Ответить ]


    ( Ответить )

    Powered by Zope  Squishdot Powered MedLink
    Посетитель: 0000103
      "По форме правильно, а по существу - издевательство" В.И.Ленин
    ©2001-2019Orthoforum Coordinator.
    [ Главная | Отправить сообщение | Поиск | Админ ]