ВХОД ДЛЯ ПАЦИЕНТОВ
вверх
поиск
админ
главная
исходное
|
Re: Перелом головки бедра, заднего края вертлужной впадины.
послал VlaD 24 Декабрь 2013, 20:16
|
Здравствуйте, уважаемые коллеги.
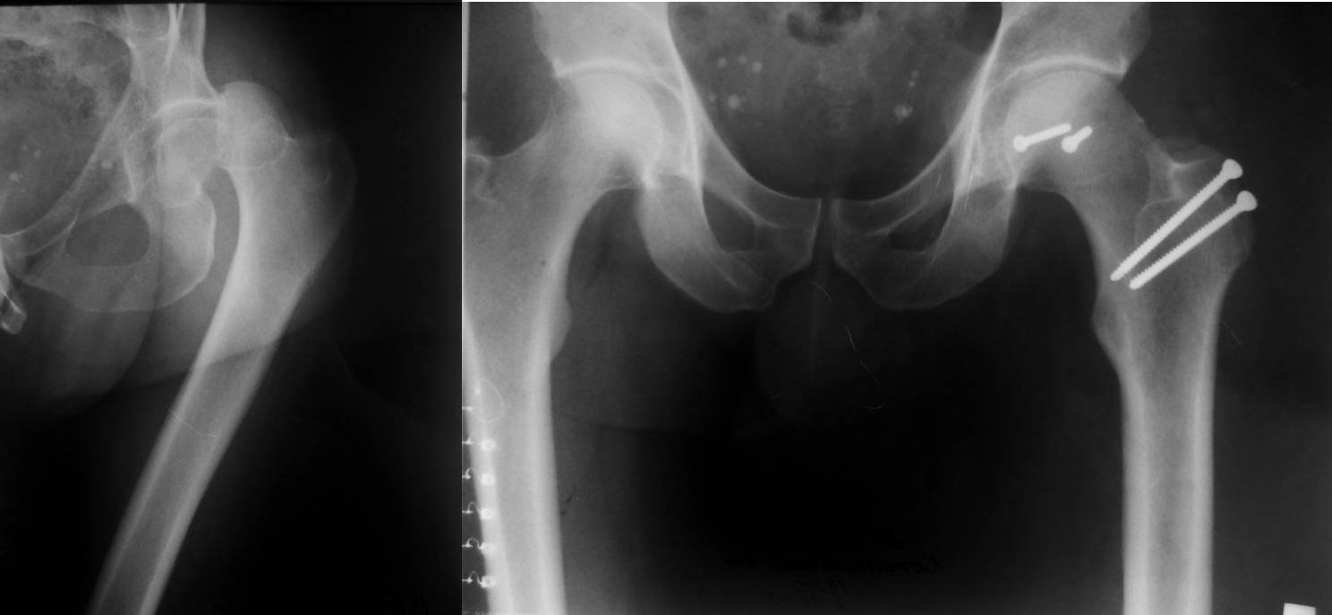
Поскольку имеется перелом края вертлужной впадины, перелом относится к типу Pipkin IV. Ну, это так, к слову. Больной до шестидесяти лет, поэтому методом выбора должна быть открытая репозиция перелома, остеосинтез винтами. Головки винтов должны быть заглублены ниже уровня суставного хряща. Нет на представленной КТ срезов в корональной плоскости, поэтому невозможно точно определить имеющийся дефект задневерхнего края вертлужной впадины и, следовательно, необходимость репозиции и фиксации её отломанного фрагмента. Лучшим доступом в данном случае является латеральный доступ с отсечением большого вертела по Ganz с вывихом головки бедренной кости в рану. Доступ позволяет не только без проблем выполнить репозицию и фиксацию не только перелома головки бедренной кости, но и края вертлужной впадины в случае необходимости. Доступ подробно описан в «Rockwood And Green's Fractures In Adults».

Один случай из личного опыта, когда использовался этот доступ – во вложенном файле.
С уважением, VlaD.
|
| Послать ответ |
Обратите внимание: Поля с жирными названиями обязательны.
Старайтесь отвечать в рамках обсуждаемой темы, а не начинать новые обсуждения.
Указывайте адекватную тему сообщения, чтобы было ясно, о чем оно.
Не послайте сообщений не по теме (оффтопик), раздраженных, грубых или обидных комментариев. Здесь это неуместно.
|