ВХОД ДЛЯ ПАЦИЕНТОВ
вверх
поиск
админ
главная
|
Остеосинтез локтевого отростка - оцените |
 |
 |
 |
Прислано Один доктор 09 Январь 2014, 22:27
из
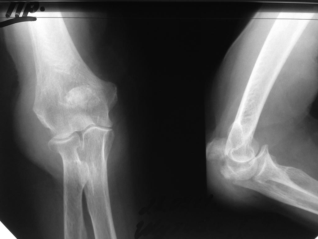
Больная 75 лет поступила с оскольчатым переломом локтевого отростка в октябре. На разборе под руководством профессора решено выполнить операцию остеосинтез локтевого отростка спицами и прволочной петлей.
В течение недели готовили к операции. Сопутствующая патология Гипертоническая болезнь 3 АД3 Сахарный диабет 2 типа. После коррекции сопутствующей патологии в операционной на вводном наркозе гипертонический криз. Больная снята со стола, в течение недели подготовка к операции терапевтом. Повторно спустя 2 недели
после травмы пациетка взята в операционную. Под ЭТН проведена операция остеосинтез локтевого
отростка спицами и проволочной петлей. Заживление первичным натяжением. ЛФК сустава не назначалось.
Перед выпиской по моему настоянию сделаны рентгенограммы. Больная выписана, и профессор утверждает что все в пределах нормы. На протяжении месяца больная под его руководством занимается ЛФК.
Рентгенограммы господин прфессор не показывает, функцию у больной не показывает.
Прошу прокомментировать случай и дать рекомендации!
Обратите внимание: Поля с жирными названиями обязательны.
Старайтесь отвечать в рамках обсуждаемой темы, а не начинать новые обсуждения.
Указывайте адекватную тему сообщения, чтобы было ясно, о чем оно.
Не послайте сообщений не по теме (оффтопик), раздраженных, грубых или обидных комментариев. Здесь это неуместно.
|