Ответить
|
Re: Политравма
Алмасбек 12 Январь 2014, 14:23
|
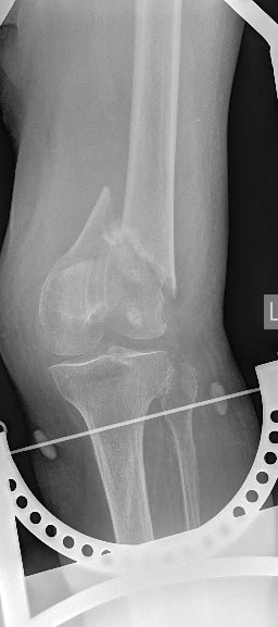
Рентгенограмма костей правой голени добавлена.
|
[
Ответить ]
|
Re: Политравма
Ajvan 12 Январь 2014, 15:06
|
Здравствуйте, Алмасбек.
Вы не могли бы предоставить также рентгенограммы голени и предплечья?
Читая предоставленный Вами снимок дистального отдела бедра мое мнение , что перелом все-таки внесуставной (33-А3.2). Метод лечения-динамический мыщелковый винт?..
|
[
Ответить ]
|
Re: Политравма
Васильев Николай 12 Январь 2014, 16:27
|
Добрый день!Алмасбек,Вы выложили снимки только перелома бедренной кости. Удобнее синтезировать дистальное бедро ретроградным штифтом, введя предварительно поллерные спицы в сагитальной и фронтальной плоскостях с четырёх сторон от гвоздя. Снимки низкого качества, есть ли перелом Фоса?
|
[
Ответить ]
|
Re: Политравма
Отправитель: Djoldas Kuldjanov, M.D. 15 Январь 2014, 21:43
|
Перелом Фоса? Возможно речь идет о неописанном переломе, обьясните где искать информацию?
|
[
Ответить ]
|
Re: Политравма
Отправитель: Николай 16 Январь 2014, 00:10
|
Ошибся) Гоффа.
|
[
Ответить ]
|
|
Re: Политравма
Товт Аттила 12 Январь 2014, 18:00
|
Рекомендую взглянуть на:
https://www2.aofoundation.org/wps/portal/surgery
а также если есть соответствующее оборудование (ЕОП и т.д.)ознакомится:
AO Manual of Fracture Management: Internal Fixators Concepts and Cases using LCP/LISS а также
Minimally Invasive Plate Osteosynthesis (MIPO)
(Может кто то может выставить их в электронном виде для коллеги)
А также Алмасбек могли бы вы добавить рентгены переломов голени, а в последующем рентгены результатов операции.
|
[
Ответить ]
|
Re: Политравма
Alexander Chelnokov 12 Январь 2014, 20:01
|
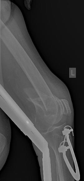
Бедро мы бы предпочли закрыто заштифтовать антеградно. Недавний пример в приложении. Насчет мыщелков - КТ надо, похоже, там импрессия есть.
|
[
Ответить ]
|
Re: Политравма
Отправитель: Maxim Agalakov 13 Январь 2014, 06:48
|
ось хорошая, но гвоздь в суставе - это не проблема?
|
[
Ответить ]
|
Re: Политравма
Отправитель: Maxim Agalakov 13 Январь 2014, 11:11
|
надколенник при сгибании будет болеть скорее всего
|
[
Ответить ]
|
|
Re: Политравма
Васильев Николай 12 Январь 2014, 20:07
|
Для голени https://www2.aofoundation.org/wps/portal/!ut/p/c1/04_SB8K8xLLM9MSSzPy8xBz9CP0os3hng7BARydDRwN3Q1dDA08XN59Qz8AAQwMDA6B8JJK8haGFgYFnqKezn7GTH1DahIBuP4_83FT9gtyIcgBttnJy/dl2/d1/L2dJQSEvUUt3QS9ZQnB3LzZfQzBWUUFCMUEwRzFFMTBJREZMVUlRUDEwMDA!/?showPage=redfix&bone=Tibia&segment=Proximal&classification=41-C2&treatment=&method=Indirect%20reduction&implantstype=Angular%20stable%20plates&approach=&redfix_url=1285239020007
Синтезируйте без артротомии миниинвазивно. Дистракторы с двух сторон очень полезны для непрямой репозиции. Пробовал- был приятно удивлён.
|
[
Ответить ]
|
Re: Политравма
Владимир 15 Январь 2014, 01:30
|
Здравствуйте уважаемый Алмасбек. Исходя из описания случая данных за нейропатию малоберцового нерва нет. В свете этого возник вопрос ко всем участникам форума - если после МОС большеберцовой кости (при наличии перелома верхней трети малоберцовой) в послеоперационном периоде возникают явления нейропатии надо ли ставить вопрос о выполнении невролиза или начинать с консервативного лечения? Поделитесь пожалуйста своим опытом и мнением.
Заранее спасибо.
|
[
Ответить ]
|
Re: Политравма
Алмасбек 17 Январь 2014, 21:34
|
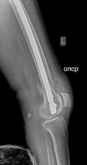
Огромное спасибо коллеги, пациентку 15/01/14 прооперировали, одномоментно (1 бригада), синтезировали блокирующими пластинами
|
[
Ответить ]
|
Re: Политравма
Алмасбек 18 Январь 2014, 22:39
|

Контрольные рентгенограммы
|
[
Ответить ]
|
Re: Политравма
Отправитель: Pavel Sveshnikov 19 Январь 2014, 07:44
|
Не совсем понятно расположение винтов в опорной пластине, а именно 2 кортикальных винтов, находящихся практически в зоне перелома. С уважением.
|
[
Ответить ]
|
|
( Ответить )
|