AOTRAUMA.ORG Центр Илизарова  

Ортопедия и травматология Общие вопросы/General questions Help Информационные технологии в медицине
 вверх
 отправить
 поиск
 админ
 главная


Эндопротезирование тазобедренного сустава при анкилозе?
Ортопедия и травматология Отправлено Андрей Корыткин 16 Январь 2014, 01:12 Нижний Новгород
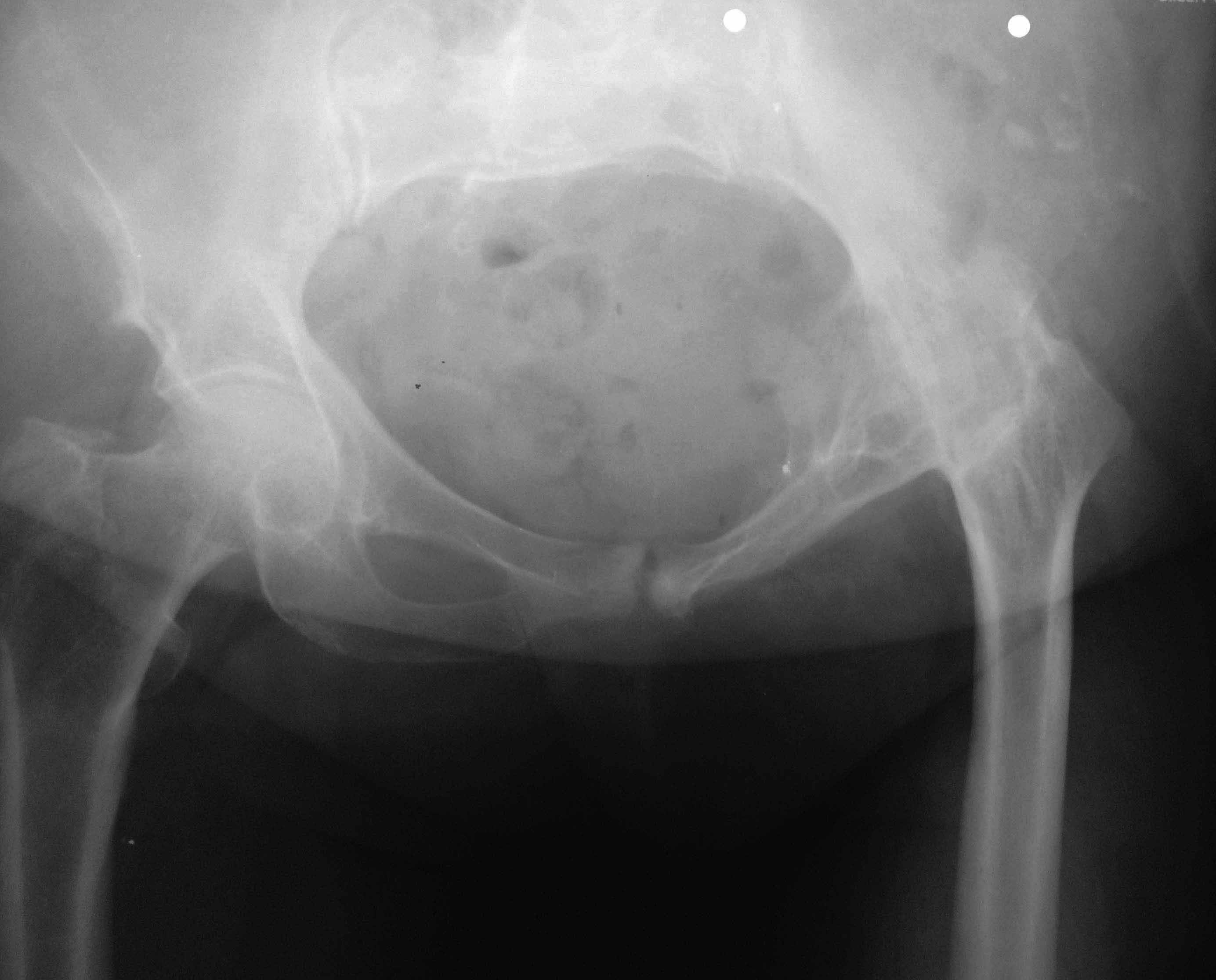
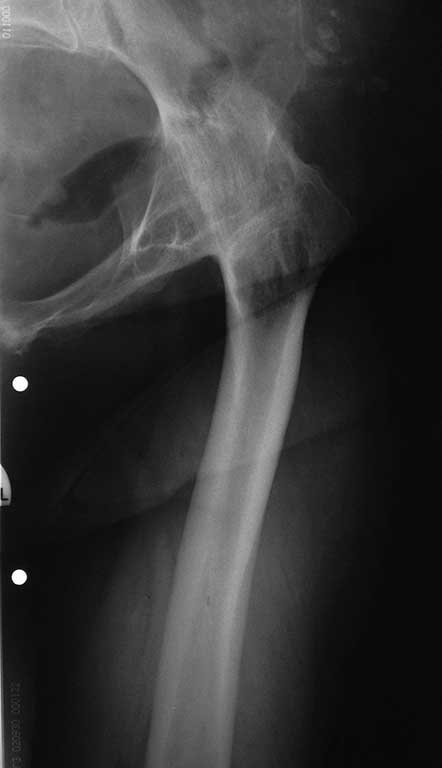
Доброго времени суток уважаемые коллеги. В отделение поступила пациентка из достаточно отдаленного региона с квотой на эндопротезирование.
Рентгенологически костный анкилоз. Клинически сгибательно-приводящая контрактура. Ходит без средств опоры с выраженной хромотой. Больна с 10 летнего возраста. Сейчас пациентке 63. Жалуется на умеренные боли в области анкилозированого сустава, хотя складывается впечатление, что болевой синдром обусловлен позвоночником. Если у вас есть опыт операций при подобной деформации посоветуйте оперировать или нет.Выкладываю рентгеновские снимки. Могу выложить данные компьютерной томографии и видео походки.

<  |  >

 

  • Сообщения о Ортопедия и травматология
  • Также Андрей Корыткин
  • Связаться с автором
  • Ответить

    Re: Анкилоз тазобедренного сустава
    Юрий Алексеевич Булахтин 16 Январь 2014, 12:06
    Уважаемый Андрей!

    Конечно, таз, как перекошенное основание, повлиял на состояние позвоночника у данной больной и болевой синдром у нее комплексного генеза. Сейчас это называется "коксо - вертебральный болевой синдром", рекомендуемая в литературе тактика лечения - начинать с решения проблем с тазобедренным суставов и потом наблюдать за позвоночником в течении года. Другое дело, что здесь сутав анкилозирован. Пятьдесят лет "эксплуатации" и позвоночника и таза, в таких биомеханических условиях, вряд-ли позволят устранить умеренные боли, на которые она сейчас жалуется. Я бы не оперировал.

    С уважением, Юрий Алексеевич Булахтин
    Камчатский Военно-морской госпиталь
    [ Ответить ]

    Re: Эндопротезирование тазобедренного сустава при анкилозе?
    Rashid M. Tikhilov 16 Январь 2014, 16:34
    Андрей, доброго Вам дня,
    Проблема здесь не в тазобедренном суставе которого нет. Проблема в позвоночнике, крестцово-подвздошном сочленении. Возраст 63 года наводит на мысль о декомпенсации всей опорно-двигательной системы, особенно в условиях порочного положения конечности. Операция эндопротезирования технически возможна, но при этом надо иметь ввиду, что давая свободу движений, а эта свобода к сожалению будет не столь велика, больная будет иметь стойкое ощущение нестабильности в суставе в виде "провала" при ходьбе, т.е. выраженный с-м Тренделенгбурга+ походка Тренделенбурга. Решая одну задачу - устранение порочного положения и давая движение в суставе, мы создаем проблему в виде выраженный хромоты, и постоянной необходимости в пользовании тростью. Я всегда стараюсь объяснить это пациентам, т.к. решение всегда за ними. Хотя технически операция тоже не простая и имеет много подводных камней.
    Очень кратко все, если есть уточняющие вопросы, готов ответить
    С уважением, Р.Тихилов
    [ Ответить ]

    Re: Эндопротезирование тазобедренного сустава при анкилозе?
    Ильдар Ахтямов 16 Январь 2014, 16:36
    Андрей, кроме проблем с позвоночником будут и сложности с восстановлением функции в суставе после протезирования. Мышцы атрофированы. Обычно подобных пациентов не оперируют, но у меня есть несколько случаев положительного исхода. Восстановление шло 2-3 года. АИФ
    [ Ответить ]

    Re: Эндопротезирование тазобедренного сустава при анкилозе?
    Александр Ларионов 16 Январь 2014, 20:09
    Неплохо было бы выполнить КТ таза и суставов и МРТ позвоночника. Потом решать.
    [ Ответить ]

    Re: Эндопротезирование тазобедренного сустава при анкилозе?
    Рашид М. Тихилов 17 Январь 2014, 01:34
    Уважаемый Андрей, Ильдар Фуатович,
    На самом деле в этих операциях много технических нюансов: доступ должен обеспечить сохранность мышц (если они есть) и максимальную визуализацию шейки с целью выполнения корректно ее опила. Положение чашки: кроме того что надо попасть в анатомическое положение, необходимо задать горизонтальную инклинацию не более 40 град для профилактики вывиха, антеверсия 20-25 град, но ведь там скорее всего кифоз поясн. отдела позвоночника.... С ножкой проще, но важно сохранить укорочение минимум 1см. И все же главный вопрос делать-не делать. Боли в позвоночнике будут прогрессировать, и другого варианта как "развязать" сустав нет. Но учитывая сказанное мною ранее, выбор только за пациенткой. Как-то так
    Р.Тихилов
    [ Ответить ]

    • Re: Эндопротезирование тазобедренного сустава при анкилозе?
      Отправитель: Alexander Chelnokov 17 Январь 2014, 01:36
      Анкилоз-то в приведении бедра - если его устранить, не решит это проблему? Еще бы боковые снимки таза с бедром и позоночником поглядеть, нет ли там избыточного сгибания, и, соответственно, избыточного лордоза. Или клинически глянуть, при устраненном лордозе какой угол задан в тазобедренном суставе в сагиттальной плоскости.
      Может, корригирующая остеотомия в проксимальном отделе бедра будет достаточна?

      [ Ответить ]
    Re: Эндопротезирование тазобедренного сустава при анкилозе?
    Vladimir B. Abduev 17 Январь 2014, 22:27
    Уважаемый Андрей, наш положительный опыт эндопротезирования подобных пациентов свидетельствует о том, что операцию надо делать. Это как раз тот самый случай улучшения качества жизни к которому стремятся. А жизнь такова: спина болит(это ещё пол дела, с этим можно бороться), нарушены или скажем резко ограничены матримониальные функции, всегда необходимо выбирать с какай стороны сесть на стул или в автомобиль и т.д. Очень часто, даже после корректно выполненного артродеза, страдает помимо позвоночника и коленный сустав - нарушена естественная биомеханическая цепочка: позвоночник, тазобедренный сустав, нижняя конечность.
    Хирургическая сторона вопроса конечно имеет специфику, которая отражена Рашидом Муртазалиевичем, поэтому не буду на этом останавливаться.



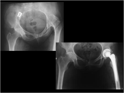
    В прикреплённом файле очень похожее клиническое наблюдение. Пациентке на момент операции 59 лет. Прошло 4 года. На мой вопрос о спине, которая болела перед операцией, она по телефону ответила: А причём тут спина, вы же мне ногу лечили, а спина меня уже не беспокоит. Восстановление функции сустава произошло в течении 6 месяцев. На днях обещала подойти, если так, представлю более демонстративную видеоинформацию. С уважением В.Б.Абдуев

    [ Ответить ]

    • Re: Эндопротезирование тазобедренного сустава при анкилозе?
      Отправитель: Нина Александровна 30 Май 2016, 17:51
      На совет:"Vladimir B. Abduev 17 Январь 2014, 22:27 ". Не вводите в заблуждение человека. У него анкилоз, а болен он с 10 лет. Нет там уже никаких мышц скорее всего, идёт приведение полным ходом, и позвоночник окостенел. А если ещё были операции в детстве, то какое уже тут будет "восстановление"... Травматологи с неврологами обязаны вместе обследовать и разработать адекватную систему повседневной реабилитации (поведения). И главное: вес снизить до нормы!

      [ Ответить ]
    Re: Эндопротезирование тазобедренного сустава при анкилозе?
    Слободской Александр Борисович. ОКБ, Саратов 17 Январь 2014, 23:25
    Уважаемый Андрей!
    Эндопротезирование тазобедренного сустава в связи с анкилозом проблема крайне сложная. И чем больший срок прошел после операции, тем сложнее восстановить функцию с помощью эндопротезирования. Результаты ее всегда крайне проблематичны, а честно сказать - сомнительны, даже если выполняет ее хирург с большим опытом. Если больная адекватная и понимает, что после операции может быть немного лучше - то да. Если нет, то лучше убедить пациентку не делать операцию. В своей практике я всегда стараюсь убедить таких больных отказаться от операции и делаю их достаточно редко. Хотя есть и другое мнение по этой проблеме. (см. диссер. кмн А.С. Летов «Тотальное эндопротезирование при анкилозе тазобедренного сустава» 2012 г.) Хорошие и отл. результаты получены у 80 - 89,9%.
    Успехов Вам, Андрей.
    [ Ответить ]

    Re: Эндопротезирование тазобедренного сустава при анкилозе?
    Vladimir B. Abduev 20 Январь 2014, 23:48
    zip (6,9 Mb)
    P.S. Видеоиллюстации в прикреплённом архиве. В.Б.Абдуев


    [ Ответить ]


    ( Ответить )

    Powered by Zope  Squishdot Powered MedLink
    Посетитель: 0000106
      "По форме правильно, а по существу - издевательство" В.И.Ленин
    ©2001-2019Orthoforum Coordinator.
    [ Главная | Отправить сообщение | Поиск | Админ ]