Ответить
|
Re: Результат БИОС
Данила Курышев 18 Январь 2014, 20:56
|
Надо побить рентгенолога за такие снимки
|
[
Ответить ]
|
Re: Результат БИОС
maxim agalakov 18 Январь 2014, 22:01
|
Уважаемый Абдурашид,лучше, конечно, переделать, но только с ЭОПом, без всяких слоников. Если таких возможностей нет - лучше так оставить, но лечить как консервативное бедро.
|
[
Ответить ]
|
Re: Результат БИОС
Андрей 18 Январь 2014, 23:06
|
А если нет ЭОПа не лучше ли было поставить пластину
|
[
Ответить ]
|
Re: Результат БИОС
Мохамед 19 Январь 2014, 02:24
|
Уважаемый Абдурашид!
Для начала повторите снимки с захватом тб/с и к/с в 2-х пр-ях.
Больного повторно оперировать обязятельно.
Что делать? то что Вы умеете делать, только не оставляете так.
Я за остеосинтез пластиной с костной пластикой из гребня подвздошной кости.
Удачи Вам!
|
[
Ответить ]
|
Re: Результат БИОС
Alexander Chelnokov 19 Январь 2014, 10:44
|
А которые "все считают, что так оставить нельзя" - чем конкретно обосновывают необходимость переделать? Видно небольшой вальгус, в периферическом отломке гвоздь коротковат - это смущает?
IMHO если конечность выглядит приемлемо, то ничего трогать не надо. Пусть коленом занимается, ходит с костылями...
|
[
Ответить ]
|
Re: Результат БИОС
Alexey Semenisty 19 Январь 2014, 10:46
|
Переделывать все-равно прийдется. Но чем раньше, тем технически легче. Исправлять на обе проблемы: неудовлетворительную репозицию (длина, ось, ротация) и некорректное положение имплантата. Ну и конечно, если конкретно говорить о планируемой операции, то необходимы другие рентгенограммы, в том числе, вероятно, и здорового бедра
|
[
Ответить ]
|
Re: Результат БИОС
Ерсин Жунусов 19 Январь 2014, 12:45
|
Надо сделать скиаграмму, если ось и длина восстановлена то вероятность сращения есть!
|
[
Ответить ]
|
Re: Результат БИОС
Отправитель: Абдурашид 20 Январь 2014, 22:37
|
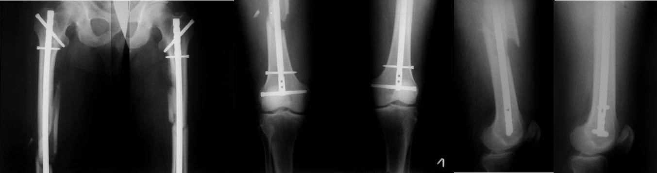
Уважаемые коллеги, приношу тысячу извинений за некачественныe Р-снимки, снятые передвижным Р-аппаратом, рентген отд находиться метров 300 от нас, попозже будут качественные снимки. Клинически укорочения, ротации не определяется, ось бедра правильная, только рентгенологически отмечается небольшой вальгус, т.к без ЭОП применение поллерных спиц или винтов невозможно, конечно, надо было при помощи слоников дистально блокировать и в сагиттальной плоскости.
Вообще, за 4 года произведена около 150 операциий БИОС, в двух случаях после открытой манипуляции развился остеомиелит (я выложил на форуме), в одном случае наступил перелом стержня, несращений не было, все операции произведены без ЭОП.
Нашел один материал, то ли из форума, то ли кто-то отправил, сейчас не помню, но похоже на наш случай.
С уважением Абдурашид.
|
[
Ответить ]
|
Re: Результат БИОС
Отправитель: Александр Ситник 20 Январь 2014, 23:53
|
Подскажите - зачем (почему) колено заклеено?
|
[
Ответить ]
|
|
Re: Результат БИОС
VlaD 21 Январь 2014, 00:17
|
Здравствуйте, уважаемые коллеги.
Чтобы ответить на вопрос «оставлять как есть или переделывать», необходимо знать какой философии остеосинтеза придерживается лечащий врач. Если «может быть и срастётся», то результат остеосинтеза допустимый. Если ставится цель получать гарантированные воспроизводимые результаты для каждого оперированного перелома в виде сращения и отсутствия деформаций, то такой остеосинтез нельзя признать приемлемым. Четыре причины, по которым, с моей точки зрения, «так оставлять нельзя»:
1. Деформация. Вальгусная деформация в месте перелома 12 градусов. Как её расценивать у двадцатидвухлетнего пациента: как допустимую или нет? Сложный вопрос. Но это только часть проблемы. Вальгусная деформация в послеоперационном периоде может увеличиться на 6-7 градусов, поскольку перелом ниже истмуса и диаметр костномозгового канала на входе дистального отломка намного больше диаметра стержня. Поэтому начинает играть роль разность в диаметрах блокирующих винтов (3,5 мм без резьбы) и отверстий для блокирования в стержне (4,5 мм). Из-за этой разницы возникает нестабильность дистального отломка во фронтальной плоскости с общим объёмом движений «варус-вальгус» в 12-14 градусов. Это легко доказать математически. Я думаю, что доктор определит его и клинически, придавая дистальному отделу конечности варусное или вальгусное положение. Поэтому в послеоперационном периоде можно ожидать вальгусную деформацию до 20 градусов, что является, с моей точки зрения, неприемлемым результатом лечения для специализированного отделения.
2. Стабильность. По вышеперечисленной причине отсутствует и стабильность между отломками, что ставит под угрозу конечный результат лечения – сращение перелома.
3. Нагрузка. Трудно рекомендовать больному хоть какую-то нагрузку при таком остеосинтезе. Нагрузку на дистальном конце стержня несёт только один винт в круглом отверстии с диаметром без резьбы 3,5 мм, что крайне недостаточно. Второй винт проведен некорректно, по нижнему краю овального отверстия. Для нагрузки он потерян. Если он вводился таким образом намеренно, для выполнения в последующем динамизации, то динамизация при таком переломе вообще противопоказана. Хотелось бы видеть и проксимальное блокирование. Таким образом, выпадает очень важный элемент в лечении блокированным остеосинтезом – нагрузка.
4. Судя по количеству отверстий в кости – дистальное блокирование далось нелегко. Прочность кости в этом месте снижена. В процессе реабилитации этот участок кости находится под угрозой и нельзя исключить перелома на уровне дистальных блокирующих винтов. Поэтому напрашивается остеосинтез более длинным стержнем с дистальным блокированием в мыщелках бедренной кости. Мы предпочитаем вводить стержень на всю длину кости и блокирование выполнять в мыщелках бедра.
Есть ещё несколько причин, по которым «так оставлять нельзя», но пост получается слишком длинным. Не в качестве пиара, а только для пользы дела - пример из личной практики трёхнедельной давности.

Переломы обоих бёдер фиксированы стержнями той же фирмы, что и в обсуждаемом случае. Остеосинтез обоих бёдер выполнен за одну операцию продолжительностью 2 часа 40 минут. Положение больного на боку на обычном хирургическом столе. Репозиция отломков в «custom-made» спицевом репозиционном аппарате на двух спицах с корректором угловых деформаций. Определение точки ввода и проведение спицы, как правило, с первой попытки с помощью «custom-made» прицельного устройства. Рентгеновский снимок только для подтверждения расположения спицы. Ни на одном этапе операции режим прямой флюроскопии не используется. Введение стержня на уже репонированном переломе. Самое дистальное отверстие в стержне предварительно до операции рассверлено до диаметра 6,55 мм и при дистальном блокировании в него вводится по предварительно проведенной спице канюлированный блокирующий винт диаметром 6,5 мм той же фирмы. Введением такого винта решается сразу три задачи. Во-первых, исключается «шат» во фронтальной плоскости, поскольку разница между диаметром отверстия и диаметром винта всего 0,05 мм и во-вторых, отпадает необходимость во введении винта в сагитальной плоскости, и в-третьих, он способен без проблем держать нагрузку при ходьбе. Дистальное блокирование с помощью «custom-made» механического прицельного устройства, не требующего не только режима прямой флюроскопии, но и вообще рентгенологического подтверждения попадания блокирующих винтов, что значительно сокращает время вмешательства. Соответствующее дистальному и проксимальное блокирование, чтобы обеспечить больному сразу полную нагрузку на ноги. Вертикализация больного на пятые сутки после операции, контрольная рентгенограмма, которую вы видите, на двенадцатые сутки перед выпиской. Больной был уже неделю на ногах. Понимаю, что у каждого доктора свой опыт и предпочтения в выполнении блокированного остеосинтеза и свои представления о нём. Мы пользуемся именно такой методикой и техникой, к которым мы шли более десяти лет и которая на протяжении десятков операций даёт предсказуемые результаты лечения в виде отсутствие деформаций и несращений. Но, как известно, на вкус и на цвет товарищей нет. Правда у каждого своя.
С уважением, VlaD.
|
[
Ответить ]
|
Re: Результат БИОС
Отправитель: Андрей 21 Январь 2014, 13:58
|
Добрый день! Влад, можете подромнее рассказать про «custom-made» спицевой репозиционный аппарат на двух спицах с корректором угловых деформаций и «custom-made» прицельном устройстве. Заранее благодарен за исчерпывающую информацию!
|
[
Ответить ]
|
|
Re: Результат БИОС
Александр Ангельский 21 Январь 2014, 12:49
|
Жизнь идет по кругу. Лет 15 назад, когда ортофорум только начинался, Александр Николаевич Челноков, как мне помнится показывал нечто похожее. Тогда блокированные гвозди и технологии их применения в нашей стране не были распространены. Поэтому Челнокову рекомендовали ревизию, устранение поперечностоящего отломка, говорили что перелом не срастется, надо ставить пластину, и т.д. Помню через несколько месяцев на ортофоруме были в динамике продемострированы снимки, как идет регенерация и срастание. Закончилось все восстановлением опорности бедренной кости. И вот опять я рад видеть похожие рентгенограммы, и опять жаркие споры вокруг них, как будто не было десятка лет познания БИОСа. И это радует что история не стоит на месте. Но у каждого свой, в том числе и врачебный опыт. Надеюсь через полгода - год мы увидим снимки этого пациента со сросшимся переломом без дополнительных вмешательств, и вопрос будет стоять об удалении блокированного гвоздя. Удачи и терпения врачам Вашего отделения. С уважением Александр Ангельский.
PS/ Удивительно что об этом не вспоминает сам Александр Николаевич, или вспоминает? Как мне помнится после этого случая он особенно горячо стал пропагандировать интрамедулярный стержневой блокированный остеосинтез.
|
[
Ответить ]
|
Re: Результат БИОС
Олег 22 Январь 2014, 15:58
|
Присоеденяюсь к просьбе Андрея и также прошу уважаемого VLADa рассказать о своих ноу-хау: спицевом дистракторе и прицельном устройстве( особенно последнем, данный этап операции как правило занимает много времени) С уважением Олег.
|
[
Ответить ]
|
Re: Результат БИОС
Отправитель: Абдурашид 22 Январь 2014, 20:03
|
Уважаемый Александр, чуть ниже надколенника имеется ушиблено-рваная рана с краевым некрозом ,после некрэктомии в динамике грануляция идет хорошо.
Операция произведена антеградным способом.
Уважаемый VlaD, спасибо за подробный анализ данного случая и методику техники БИОС, я тоже если можно хотел бы по подробнее узнать про данную технику. Р-снимок проксимального отд, бедра приклеена кверху дистального, видимо из-за низкого качества вы ее не заметили! Что если больной согласиться(он может и не согласиться) после устранения вальгуса блокировать в сагиттальной плоскости( хоть под Р-скопией)??
Александр Ангельский! Спасибо за поддержку и пожелания! Я учился БИОС у Александра Николаевича в 2007 и 2008 гг. и где принцип лечения переломов : Точная репозиция обязательна для внутрисуставных переломов, а диафизарные и метафизарные оскольчатые переломы при правильной оси успешно срастаются благодаря развитию периостальной мозоли при сохранении кровоснабжения смещенных отломков с хорошей функцией сегмента в дальнейшем (Мюллер М.Е. с соавт., 1996; Соколов В.А., 2006). В этих случаях целесообразно применение термина «функциональная репозиция».
С уважением Абдурашид.
|
[
Ответить ]
|
|
Re: Результат БИОС
Дедок Михаил 22 Январь 2014, 22:36
|
Оставьте пациента в покое. Нагрузку 2 месяца не давать.
|
[
Ответить ]
|
Re: Результат БИОС
Алексей Герасимов 23 Январь 2014, 15:42
|
Перелом срастется, не переживайте. Вот только вальгус у такого молодого пациента не очень хороший результат. Ограничить нагрузку обязательно.
|
[
Ответить ]
|
Re: Результат БИОС
Петр Бардюгов 24 Январь 2014, 09:40
|
Мне тоже кажется, надо оставить как есть.
Возраст молодой...
если открыто, еще неизвестно что с осколками будет, насколько они будут хорошо кровоснабжаться после операции...
|
[
Ответить ]
|
( Ответить )
|
|