AOTRAUMA.ORG Центр Илизарова  

Ортопедия и травматология Общие вопросы/General questions Help Информационные технологии в медицине
 вверх
 отправить
 поиск
 админ
 главная


Деформация пяточных костей
Ортопедия и травматология Отправлено Алексей 18 Январь 2014, 18:30
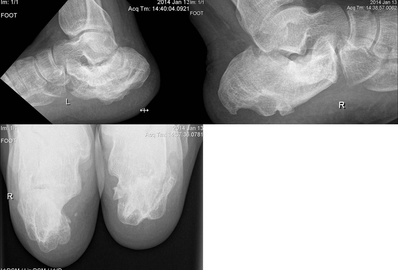
Здравствуйте, уважаемые коллеги. У пациента 35 лет посттравматическая деформация обеих пяточных костей трехлетней давности.
Лечился консервативно в одном из сибирских городов нашей страны. Сейчас беспокоит боль, больше в правой стопе, после нагрузки и в покое. Хромает, дополнительной опорой не пользуется. Пациент военнослужащий и желает продолжить службу, а при такой деформации вряд ли он пройдет ВВК. Как служил до этого - не знаю... Помогите, пожалуйста, определиться с дальнейшей тактикой. Есть ли методы коррекции такой деформации? Заранее спасибо.

<  |  >

 

  • Сообщения о Ортопедия и травматология
  • Также Алексей
  • Связаться с автором
  • Ответить

    Re: Деформация пяточных костей
    maxim agalakov 18 Январь 2014, 22:05
    У меня пятки примерно так же выглядят после травмы, ничего, даже спортом занимался полупрофессионально. Если не в каких-нибудь спецвойсках - то при желании служить может
    [ Ответить ]

    • Re: Деформация пяточных костей
      Отправитель: Бережной Сергей 19 Январь 2014, 01:35
      А свои снимки не покажете? Для сравнения.
      Служба в армии для такого пациента не столько от его желания зависит, сколько от решения комиссии.

      [ Ответить ]
    Re: Деформация пяточных костей
    Arshak Mirzoyan 19 Январь 2014, 12:06
    Можно подумать о восстановлении угла Белера клиновидным регенератом пяточных костях, если мягкие ткани позволяют. Уверен, что Александр Кириенко имеет этот опыт.

    Best regards,
    Arshak Mirzoyan, MD
    [ Ответить ]

    Re: Деформация пяточных костей
    Александр Ларионов 19 Январь 2014, 12:07
    Есть большая разница в оценке тяжести повреждений и их последствий у гражданских и военных. Что на гражданке фигня, то у военных тяжелые. :) У военнослужащих выше степень тяжести на аналогичные повреждение чем у гражданских. Оценка на ВВК опирается на объективные критерии, прописаные в приказе и это непросто обойти. Так что вполне вероятно военнослужащего комиссуют.
    [ Ответить ]

    Re: Деформация пяточных костей
    Бережной Сергей 19 Январь 2014, 13:39
    В значительной степени боль у данного пациента должна быть обусловлена состоянием подтаранных суставов. По снимку худшая ситуация на левой стопе. И там, вполне вероятно, имеется фиброзный анкилоз, чем и объясняется меньшая выраженность болевого синдрома. Без артродеза подтаранного сустава здесь не обойтись. Лучше бы иметь и компьютерные томограммы. Теоретически, можно попробовать сделать диагностическую блокаду подтаранного сустава и посмотреть, какой будет реакция. Хотя, при такой деформации сложно расчитывать на адекватное распространение анестетика по полости сустава. Да и сомнений в необходимости подтаранного артродеза тут не должно быть.
    [ Ответить ]

    Re: Деформация пяточных костей
    Батал Шушания 19 Январь 2014, 22:51
    При анкилозах, стойких контрактурах в функционально выгодном положении, наличии искусственного сустава в случаях хорошей функциональной компенсации и сохраненной способности исполнять обязанности военной службы, офицеры, не достигшие предельного возраста пребывания на военной службе, могут быть освидетельствованы по пункту "б".

    http://www.consultant.ru/document/cons_doc_LAW_149096/?frame=14
    © КонсультантПлюс, 1992-2014
    Это по постоновление Правительства от 04.07.20013 года за номером 565.
    Если "б" то по статье 65 и статье 68 графы III то будет Ограниченно годен и офицер может служить.
    Просто нужно выполнить реконструктивную операцию на заднем отделе стоп (остеотомии пятничной кости и артродезирование подтаранных суставов).
    [ Ответить ]

    Re: Деформация пяточных костей
    Dr.Aharon Liberson 20 Январь 2014, 08:38
    У больного подтаранный артроз. Не исключены другие причины болей. Сама деформацтя после перелома пятки не болит. Если потвердится диагноз артроза я за артродез с одновременной остеотомией типа маллерба можно попробовать по дваеру, но с дополнительной корекцией. После этого он будет практически здоров, если нет других причин болей, обследование изотопов +CT+3D+поиск невролгии.
    С уважением,
    Доктор Либерзон
    [ Ответить ]


    ( Ответить )

    Powered by Zope  Squishdot Powered MedLink
    Посетитель: 0000256
      "По форме правильно, а по существу - издевательство" В.И.Ленин
    ©2001-2019Orthoforum Coordinator.
    [ Главная | Отправить сообщение | Поиск | Админ ]