AOTRAUMA.ORG Центр Илизарова  

Ортопедия и травматология Общие вопросы/General questions Help Информационные технологии в медицине
 вверх
 отправить
 поиск
 админ
 главная


Перелом ли голени?
Ортопедия и травматология Отправлено Максим Королев 21 Январь 2014, 17:20
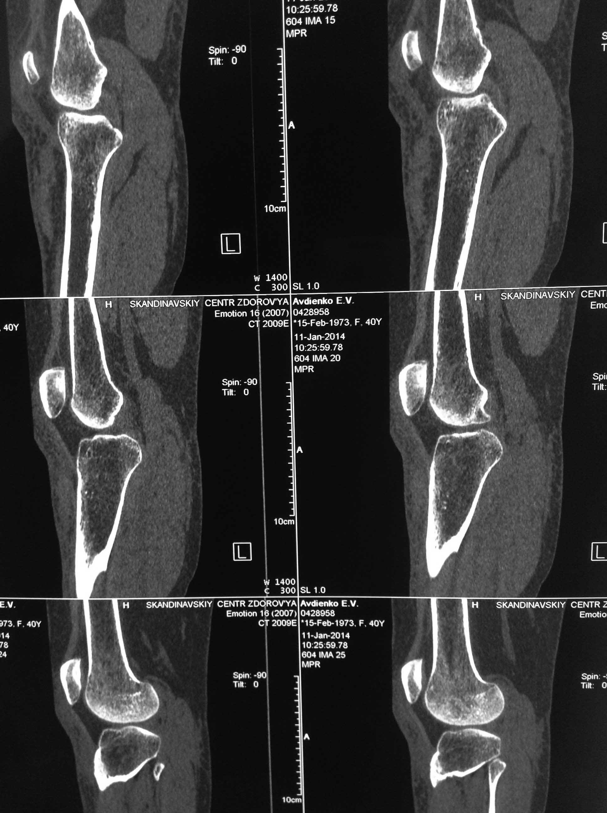
Уважаемые коллеги? Понимаю несуразность поста, но все же. Пациентка Ж 40 лет, травма ДТП 29.12.13, по месту получения травмы вскрыта межмышечная гематома, иммобилизация тутором.
Объективо- движения в коленном суставе 0/0/0, связочный аппарат стабилен. НО САМОЕ консультация профессора ( дама не из простой семьи) - и вердикт - оскольчатый внутри суставной перелом наружного мыщелка большеберцовой кости и лечение- 3 месяца постоянный тутор. Меня чуть на ноль не умножали, что я пропустил перелом в таком важном месте. Коллеги!!!!!! А был ли мальчик, вглядитесь пожалуйста и вынести решение!!!!!!!

<  |  >

 

  • Сообщения о Ортопедия и травматология
  • Также Максим Королев
  • Связаться с автором
  • Ответить

    Re: Перелом ли голени?
    Иван Кравченко. Киржачская ЦРБ. 22 Январь 2014, 10:14
    Доброго времени суток! а Вы не могли бы предоставить больше информации по больной( жалобы, статус, стандартные РГ, желательнов сравнении)ИТД.
    с Уважением, КИА.
    [ Ответить ]

    • Re: Перелом ли голени?
      Отправитель: Максим Королев 22 Январь 2014, 17:16
      Уважаемый, Иван! Rg на руках у пациентки нет. Статус-отек голени +2,0см, движения в коленном суставе 0\0\0. умеренно болезненны. Связочный аппарат стабилен. Ходит с полной нагрузкой. Выпота в суставе нет. Чувстительных и неврологиечских нарушений нет. Жалобы у пациентки-когда смогу выйти на работу.

      [ Ответить ]
      • Re: Перелом ли голени?
        Отправитель: Иван Кравченко. Киржачская ЦРБ. 24 Январь 2014, 09:47
        Спасибо, Максим. конечно по предсталенной информации у меня лично вопрос о каком-либо переломе отпадает. но какова судьба межмышечной гематомы? я бы задумался о проведении УЗИ. спасибо,
        С Уважением, КИА.

        [ Ответить ]
    Re: Перелом ли голени?
    Сергей 22 Январь 2014, 15:58
    Можно заподозрить минимальную импрессию наружного мыщелка, но и то только когда начинаешь вглядываться...скорее всего спор может разрешить только артроскопия коленного сустава.
    [ Ответить ]

    Re: Перелом ли голени?
    Олег Шепета 22 Январь 2014, 16:55
    Решили прикрыться чужими спинами???
    я тоже перелома не вижу, ровно как и других серьезных повреждений
    Опирайтесь на описание томографии врачом-рентгенологом, если что (думаю, он тоже "пропустил" перелом)
    То, что указано стрелками, называется в рентгенологии "посттравматический отек костного мозга"
    Удачи
    [ Ответить ]

    • Re: Перелом ли голени?
      Отправитель: Максим Королев 22 Январь 2014, 17:10
      Уважаемый, Олег! Я всегда умею отвечать за свои слова и рассуждения. Прикрываться спинами не умею. Не льстите себе, Ваша спина останеться с Вами. Решил обратиться с вопросом к коллегам-учиться ни когда не поздно,а нужно, а Вам видать принципы деонтологии не известы. Удачи Вам.

      [ Ответить ]
      • Re: Перелом ли голени?
        Отправитель: Олег Шепета 23 Январь 2014, 14:31
        Я ни коем случае не хотел Вас обидеть (как и кого либо другого на этом форуме)
        К слову, я, наверное, буду помоложе Вас и опыта у меня намного меньше
        С другой стороны (кстати насчет деонтологии) на пару тем ниже другой профессор тоже прооперировал пациента, и качество результата вызывает сомнения у травматологов-"обывателей"
        Форум люблю, ровно как и всех, кто создает новые темы для обсуждения клинических случаев
        А за иронию простите (это ни в коем случае не лесть, тем более в мой адрес), ничего личного
        P.S. Сам тоже люблю поспрашивать, потому как сколько людей - столько и мнений
        Удачи в решении ситуации

        [ Ответить ]
    • Re: Перелом ли голени?
      Отправитель: Александр Ситник 22 Январь 2014, 22:55
      Отек костного мозга был бы лучше виден в Т2-режиме, а там вообще ничего нет / или тех срезов где что-то есть не представлено.
      Кроме того, стрелочки на кортикал направлены, а не в костный мозг:)
      ТО, что помечено стрелочками - это вообще ничто, таких стрелочек можно на любом скане с десяток нарисовать и щеки раздувать.

      [ Ответить ]
    Re: Перелом ли голени?
    Дедок Михаил 22 Январь 2014, 22:31
    1. Перелома не видно
    2. Если продолжать спорить, то нужно РКТ а не МРТ, и, согласен, лучше артроскопия.
    3.Видали мы профессоров, которые перелом Коллиса называют переломом Галеацци.
    Ему бы самому тутор на 3 месяца и пусть разрабатывает до усера.
    4. А вообще, что Вы переживаете?. Я в таких случаях действую по принципу: обосрали обтекай, не умеешь впитывай. НО все вопросы к тому профессору. Любые контакты с данным пациентом сводятся в принципу- друзьям все, врагам закон. Спросят Вас чем мазать, а Вы- к профессору. Какое обезболивающее- туда же. И так далее. Пусть лечатся у него. Это их право. А если пациент в Вашей палате, то на обходе демонстративно- все назначения к профессору.
    5. Любое сомнение в пользу более тяжелого диагноза, но тогда хватит 6 недель тутора, затем ЛФК без осевой нагрузки до 3 месяцев.

    Выдержки, терпения, удачи!

    И вообще,медицина, по точности, после богословия вторая наука.
    [ Ответить ]

    Re: Перелом ли голени?
    Александр Ситник 22 Январь 2014, 23:15
    Милое дело лечить снимки, а не больного. Лучше - только лечить перелом которого нет.
    Представьте пожалуйста фронтальные сканы в Т2 режиме, а то сравниваем Т1-фронтальный с Т2-сагиттальным.
    По Т1 никаких нарушений анатомии нет. Если на Т2 будет белое "пятно" - тот самый "ушиб костного мозга", то рентгенолог сможет написать про перелом. Причем следы этого ушиба могут сохраняться на МРТ до нескольких недель. Но на тактику лечения это никак не повлияет - никакой "нестабильности костных фрагментов" тут и в помине не будет - посему ранние движения, а нагрузка по мере исчезновения болезненности (фразы общие, но вопрос об этом и не стоит?).
    P.S. Не претендую на "эксперта", т.к. сам не рентгенолог, а такой же абыкновенный травматолог.
    [ Ответить ]

    Re: Перелом ли голени?
    Mikhail gilev 22 Январь 2014, 23:32
    Импрессионного,тем более оскольчатого, перелома наружного мыщелка нет.

    [ Ответить ]

    Re: Перелом ли голени?
    Алексей Герасимов 23 Январь 2014, 15:30
    Перелома не видно. Вы наверное что-то перепутали. Три месяца без нагрузки он наверное сказал.
    [ Ответить ]

    Re: Перелом ли голени?
    Ильдар Ахтямов 23 Январь 2014, 16:42
    "Он виноват уж тем, что он профессор". Не слишком часто это звучит в нашем общении? АИФ
    [ Ответить ]

    Re: Перелом ли голени?
    ТРАВМАТОЛОГ 23 Январь 2014, 16:46
    В практике подобное встречалось. После разъяснения про постоянный тутор на 3 месяца - вопрос о туторе сняла пациентка.
    Терпения Вам.
    [ Ответить ]

    Re: Перелом ли голени?
    DK 23 Январь 2014, 20:09
    простите, а где была межмышечная гематома?, причина её? исход?
    [ Ответить ]

    Re: Перелом ли голени?
    Максим Королев 24 Январь 2014, 14:00
    Огромное спасибо за проявленный интерес и дискуссию. Отвечу по порядку, по гематому ( ее размер, локализация и т. д) не известно- вскрывали в другом лпу и в выписке ни чего не указано- просто вы скрыта и удалена. На данный момент рана эпителизируется, отделяемого нет. По поводу частого упоминания слова профессор, привык называть все своими именами, ну не могу же я перед Уважаемыми коллегами написать консультирована другим дядькой. Дальнейшая судьба пациентки не известна т. к переведена на лечение......... Ну Вы поняли к кому. Еще раз спасибо всем. Рад был пообщаться. Всем удачи и хороших выходных.
    [ Ответить ]

    • Re: Перелом ли голени?
      Отправитель: Дедок Михаил 24 Январь 2014, 19:50
      Дама покидающая дилижанс- облегчает движение :) !

      [ Ответить ]

     

    ( Ответить )

    Powered by Zope  Squishdot Powered MedLink
    Посетитель: 0191913
      "По форме правильно, а по существу - издевательство" В.И.Ленин
    ©2001-2019Orthoforum Coordinator.
    [ Главная | Отправить сообщение | Поиск | Админ ]