AOTRAUMA.ORG Центр Илизарова  

Ортопедия и травматология Общие вопросы/General questions Help Информационные технологии в медицине
 вверх
 отправить
 поиск
 админ
 главная


простые лодыжки
Общие вопросы/General questions Отправлено травматолог 22 Январь 2014, 03:27
мос лодыжки - сохраняется подвывих
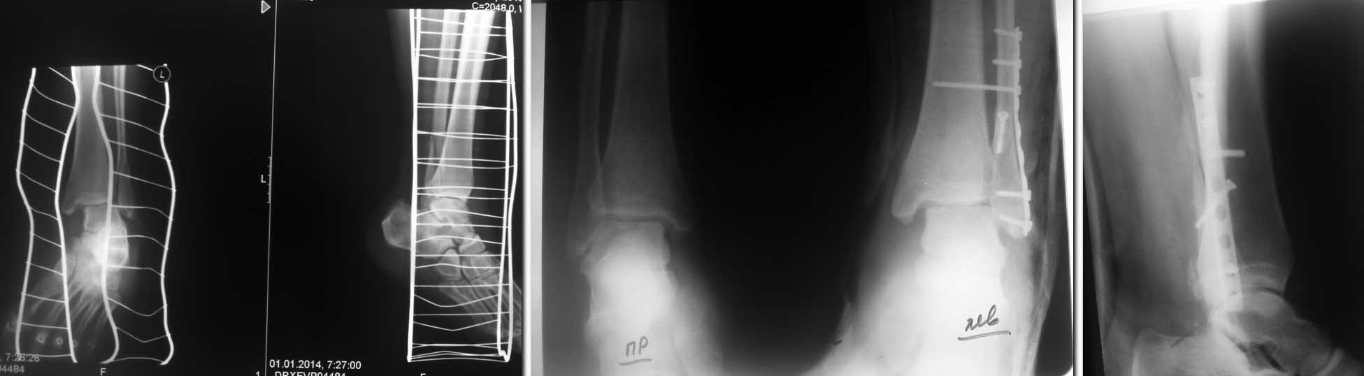
Уважаемые коллеги, на днях прооперирована обычная лодыжка у молодого парня, а именно м/берц кость, перелом 44-B3.1наружная лодыжка открыто репонирована один к одному, ревизирована дельтовидная связка, установлен синдесмозный винт...но все же на контр р-граммах подвывих сохраняется. Вопрос: где ошибка и нужно ли оперировать повторно.

<  |  >

 

  • Сообщения о Общие вопросы/General questions
  • Также травматолог
  • Связаться с автором
  • Ответить

    Re: простые лодыжки
    Александр Петрушин 22 Январь 2014, 09:03
    Я бы переделал. Имеющийся межсиндесмозный шуруп убрал бы и установил пониже стягивающий.
    [ Ответить ]

    • Re: простые лодыжки
      Отправитель: Alexey Semenisty 23 Январь 2014, 18:19
      Александр, это каким-то образом устранит причину? Или "перетянутый" в условиях "недорепозиции" синдесмоз будет как-то лучше функционировать?

      [ Ответить ]
    Re: простые лодыжки
    Иван Кравченко. Киржачская ЦРБ. 22 Январь 2014, 09:53
    на мой взгляд есть пару недочетов при выполнении МОС.
    1. не восстановлена длина м/берцовой кости
    2. слишком высокое проведение позиционного винта.
    ИМХО: пересинтезировать; начать с установки болта стяжки или позиционого винта через 4 кортикала, проходящего через синдесмоз, далее рентгенконтроль интраоперационно. оценить снимки. должно все получиться.
    p/S: если не получилось значит наружная лодыжка отрепонирована не "один к одному"
    удачи. С уважением.
    [ Ответить ]

    • Re: простые лодыжки
      Отправитель: Александр Ситник 22 Январь 2014, 22:02
      Начать наверное все же с наружной лодыжки - восстановить ее длину. Если Вебер В, как вы пишете - не факт, что позиционный винт в синдесмозе вообще понадобится. После восстановления лодыжки потяните крючком малоберцовку кнаружи, а указательный пальчик поставьте в проекции синдесмоза - если смещение менее 2 мм - прекрасно и без позиционного винта будет.
      Хотя по снимку больше на тип С похоже.
      Но все равно, сначала малоберцовая кость, только потом синдесмозный винт.

      [ Ответить ]
    • Re: простые лодыжки
      Отправитель: Alexey Semenisty 23 Январь 2014, 18:20
      Думаю, что если с болта-стяжки, проходящего через синдесмоз, то лучше вообще и не начинать переделку..

      [ Ответить ]
    Re: простые лодыжки
    Максим 22 Январь 2014, 12:32
    мне, почему-то, кажется есть интерпозиция порции дельтовидной связки, может дистальной порции, бол-стяжка проблему не исправит, деформирует пластину с н/лодыжкой при чрезмерном стягивании и только.
    [ Ответить ]

    Re: простые лодыжки
    Алексей Герасимов 22 Январь 2014, 14:19
    Поддерживаю комментарий Ивана. Обязательно восстановить длину малоберцовой кости и позиционным винтом
    [ Ответить ]

    Re: простые лодыжки
    Сергей 22 Январь 2014, 15:33
    Не восстановлена длинна м/берцовой.
    Реостеосинтез.
    [ Ответить ]

    Re: простые лодыжки
    Олег Шепета 22 Январь 2014, 16:49
    Не восстановлена длина наружной лодыжки - что-то Вы упустили при репозиции, тут важны даже миллиметры (доказательством тому является недорепонированный задний край)
    Бывает "захлест" дельтовидной связки в области медиальной лодыжки, который создает такой подвывих при даже идеальной репозиции
    Винт на синдесмоз устанавливается на 2-3 см проксимальнее суставной щели, более высокий винт сам по себе может "не удерживать" вилку голеностопа, а создавать как раз условия для образования подвывиха такого рода (ведь это не обязательная процедура, иногда просто используют шов синдесмоза)
    Решать Вам о нужности повторной операции, проанализировав замечания, выложеные на форуме
    [ Ответить ]

    Re: простые лодыжки
    Василий 22 Январь 2014, 23:00
    Скорее всего длина малоберцовой кости не восстановлена. Сделайте для сравнения снимок здорового сустава.
    [ Ответить ]

    Re: простые лодыжки
    Mikhail gilev 22 Январь 2014, 23:22
    Доброго времени суток.
    Лодыжки не такие уж и простые.
    На первичных снимках - разрыв дельты, явное повреждение синдесмоза, жуткий подвывих.
    1. Длина м/б не восстановлена;
    2. Скорее всего при стягивании обеих берцовых костей (установке позиционного винта), наружная лодыжка не совсем попала в синдесмозную щель (по боковым снимкам, она либо кзади либо ротирована)
    3. Ревизию дельты сделали - и что? надо сшивать чрескостно с формированием канала в мед. лодыжке (а после операции на недельки две в гипс в положении варуса)
    4. Синдесмозный винт проведен высоковато, лучше всего - у верхнего края синдесмоза (4-5 см проксимальнее сустава)
    5. Саму пластину лучше класть по задне-наружной поверхности, тогда винты попадут межфрагментарно именно через пластину - фиксация более стабильная.

    Здесь ссылка на видео по установке позиционника
    http://www.vumedi.com/video/syndesmosis-knowledge-update-and-surgical-technique/

    С уважением.
    [ Ответить ]

    Re: простые лодыжки
    травматолог 23 Январь 2014, 00:18
    Спасибо Всем. Только парень категорично отказывается от повторной операции, к сожалению.
    [ Ответить ]

    Re: простые лодыжки
    Pavel L. 23 Январь 2014, 02:40
    Однозначно реостеосинтез. Наружная лодыжка скорее всего не в вырезке, винт синдесмозный гораздо ниже нужно провести и не нужно трогать медиальный отдел.
    [ Ответить ]

    Re: простые лодыжки
    Петр Ромчук 23 Январь 2014, 02:41
    Не восстановлена длина малоберцовой кости - отсутствует линия десятицентовой монеты на передне-задней п/о рентгенограмме (dime sign). Отсюда и остаточное расхождение на уровне синдесмоза. Синдесмозное смещение после репозиции лодыжек устраняется как правило само, поэтому винт и называется позиционным - он всего лишь удерживает уже вправленный синдесмоз.
    Оперировать повторно или нет - обсудите с пациентом. При подобных недовправленных переломах ему грозит не столько клинически значимая нестабильность, сколько ранний артроз.
    [ Ответить ]

    Re: простые лодыжки
    Алибек 23 Январь 2014, 07:06
    При невосстановленной длине малоберцовой кости подвывих тарана характеризуется клиновидностью суставной щели т.е. ее сужением с наружной стороны и соответственно , расширением с внутренней. В данном случае этого нет. Более вероятен неустраненный межберцовый диастаз, если конечно цела дельтовидная связка. Сравнительная КТ внесла бы ясность и в плане конгруентности м/берцового синдесмоза. Создается впечатление и неустраненного небольшого вальгусного смещения дистального отломка малоберцовой кости.
    [ Ответить ]

    Re: простые лодыжки
    Никита Заднепровский 23 Январь 2014, 18:15
    В такой ситуации надо сделать снимок всей голени с захватом суставов. Где-то в верхней трети голени есть перелом малоберцовой кости.

    [ Ответить ]

    Re: простые лодыжки
    Alexey Semenisty 23 Январь 2014, 18:18
    Травматолог, очень хороший вопрос задаете! Действительно, если есть такой подвывих, то тому есть причина, и ее надо найти и понять. Только тогда можно исправить. По прямому снимку вижу укорочение малоберцовой кости. Очень хорошо, что есть снимок здоровой конечности - измерьте тало-круральный угол слева и справа, увидите разницу. Рентгенологический феномен "ball sign" также слева положительный


    На боковой проекции нет уверенности в анатомичности репозиции малоберцовой кости, пластина лежит не совсем как надо, - по задненаружной поверхности, а дистально кпереди, проксимально кзади.
    Возможно есть еще один перелом, не диагностированный, выше. Такое очень редко, но бывает, и может быть причиной укорочения малоберцовой кости даше если дистальный перелом фиксирован в анатомичном положении.

    Может быть маленький, невидимый рентгенологически костный фрагмент с передней связкой синдесмоза подвернулся в область малоберцовой вырезки и не дает наружной лодыжке занять правильное положение. И тогда ни какие болты стяжки и стягивающие синдесмоз винты не помогут.

    Сделайте КТ, особенно полезны будут аксиальные срезы на уровне синдесмоза. Сравните со здоровой стороной. Проверьте, нет ли перелома выше. Найдите причину, она есть, поверьте.
    [ Ответить ]

    • Re: простые лодыжки
      Отправитель: травматолог 24 Январь 2014, 00:50
      Дорогой Алексей, Вы заметили, что пластина не идеально лежит по малоберцовке, ее задача, как известно, нейтрализирующая и в самой репозиции она не участвует, до ее установки предшествует стандартная репозиция и фиксация стягивающим винтом по методике ао.
      Я и сам вижу укорочение на контр. снимках... Хочется засомневаться в репозиции, но не выходит.

      Конечно сделаю завтра всю длину. Попробую выбить и кт.





      [ Ответить ]
      • Re: простые лодыжки
        Отправитель: Александр Ситник 24 Январь 2014, 10:03
        Я и сам вижу укорочение на контр. снимках... Хочется засомневаться в репозиции, но не выходит.
        - это, простите, как? Вижу, но сам себе не верю?

        [ Ответить ]
      • Re: простые лодыжки
        Отправитель: Alexey Semenisty 25 Январь 2014, 19:23
        > пластина не идеально лежит по
        > малоберцовке, ее задача, как известно, нейтрализирующая и в самой
        > репозиции она не участвует, до ее установки предшествует стандартная
        > репозиция и фиксация стягивающим винтом по методике ао.


        Это вы все правильно пишете. Но функция пластины при таком переломе еще может быть и противоскользчшей (anti glade). В этом случае, установленная по задненаружной поверхности до установки стягивающего винта она сама участвует в репозиции, препятствует смещению дистального фрагмента, удерживая последний даже без введенных в него винтов через пластину. Такое расположение и функция 1/3 трубки при переломах наружной лодыжки считается лучшим.


        > Я и сам вижу укорочение на контр. снимках... Хочется засомневаться в
        > репозиции, но не выходит.


        Найдите причину, поймите сущность повреждения. Поделитесь найденным и понятым с нами.
        Удачи.

        [ Ответить ]
    Re: простые лодыжки
    Александр Н 25 Январь 2014, 10:26
    Уважаемые коллеги! Если автор операции так искренне верит в правильности первичной репозиции, то может быть есть перелом малой берцовой кости проксимальнее! Такое иногда бывает
    [ Ответить ]

    Re: простые лодыжки
    Андрей 25 Январь 2014, 21:30
    Не нужно КТ все и так ясно
    Пишут же грамотные люди: "нужно переделать". Проблема в отсутствии репозиции лодыжки. Она укорочена чуть не на 5мм.
    А после этого и позиционный винт дистальнее нужно провести
    [ Ответить ]

    Re: простые лодыжки
    Дмитрий Павлов 26 Январь 2014, 02:55
    Вы не восстановили длину наружной лодыжки. В этом вся проблема. Если пациент активный то лучше переделать.
    [ Ответить ]

    Re: простые лодыжки
    Антон Андрианов 28 Январь 2014, 10:45
    То, что переломы лодыжек могут быть очень непростыми, говорит частые обсуждения этой темы на нашем форуме.в 2005 году я выкладывал свой случай, который был детально разобран коллегами , особенно нашим гуру- Джолдасом Кульдажановым из США. Советую посмотреть его разбор по ссылке -http://weborto.net/forum/1187011242/index_html#1187294219. Реоперация у Вашего пациента неизбежна, но это уже будет корригирующая надлодыжечная остеотомия.В моем случае я так и поступил, с тех пор иногда встречаю эту пациентку, артроз имеется, но в помощи не нуждается.
    [ Ответить ]


    ( Ответить )

    Powered by Zope  Squishdot Powered MedLink
    Посетитель: 0000081
      "По форме правильно, а по существу - издевательство" В.И.Ленин
    ©2001-2019Orthoforum Coordinator.
    [ Главная | Отправить сообщение | Поиск | Админ ]