Ответить
|
Re: артродез голеностопного сустава - аппарат Илизарова или штифт?
Дедок Михаил 03 Февраль 2014, 21:03
|
Штифт дороже, но комфортнее. Аппарат дешевле (или вообще бесплатно), но требует ухода. И там, и там можно дать нагрузку сразу. Так что вопрос вкуса. Да, еще, если мало навыков работы с аппаратом, то штифт быстрее и проще.
В конце концов артроскопически снести все и 3 винта...
|
[
Ответить ]
|
В. Машталов 04 Февраль 2014, 11:53
|
Подтаранный сустав выглядит очень прилично. Его надо сохранить. Гвоздь это замыкание 2 суставов.
Мы бы не стали штифтовать. Можно и открыто винтами зафиксировать, но подтаранный сустав сохранить, при артродезированноь голеностопе он в биомеханике стопы очень нелишний.
с ув. В. Машталов
|
[
Ответить ]
|
Re:
Отправитель: Хачатурян Борис 24 Февраль 2014, 11:43
|
Уважаемый В.Машталов, возможно выполнение артродеза голеностопного сустава штфитом с сохранением голеностопного сустава. В нашей клинике недавно была выполнена операция у больного с посттравматическим артрозом, артродез выполнен штифтом "Эксперт" с блокированием в теле таранной кости(винты с угловой стабильностью). Ниже привожу описание случая.
|
[
Ответить ]
|
|
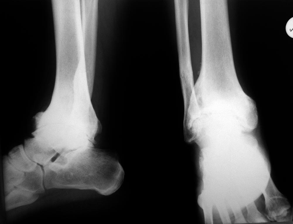
Re: артродез голеностопного сустава - аппарат Илизарова или штифт?
Хачатурян Борис 26 Февраль 2014, 10:04
|

Коллеги, прошу прощения за поздний ответ.
Итак,
Пациент Е., весной 2012 пострадал в ДТП - пешеход.
У больного, в составе множественной травмы конечностей, имелся фрагментарный перелом обеих костей голени (42В2, 43С3). Выполнен остеосинтез аппаратом Илизарова.
На рентгенограммах осенью 2012 года имеется несросшийся перелом правой большеберцовой кости в средней трети, перелом нижней трети консолидирован. По поводу несросшегося перелома выполнен демонтаж аппарата Илизарова, остеосинтез штифтом "Эксперт". Впоследствии, у больного имелись боли в голеностопном суставе (при ходьбе и в покое), ограничение амплитуды движений, на рентгенограммах определяется несросшийся перелом диафиза большеберцовой кости.
В связи с чем, в январе 2014 года больному удален штифт, выполнено рассверливание костномозгового канала, реостеосинтез штифтом большего диаметра, артродез правого голеностопного сустава, с костной пластикой. Раны зажили без воспаления. В течение 4х недель после операции передвигался с опорой на костыли, с нагрузкой 25 кг. Сейчас передвигается с опорой 50 кг на правую ногу.
Хачатурян Борис,младший научный сотрудник отделения сочетанной травмы, НИИ СП им. Н.В.Склифосовского
|
[
Ответить ]
|
( Ответить )
|
|