вверх
отправить
поиск
админ
главная
|
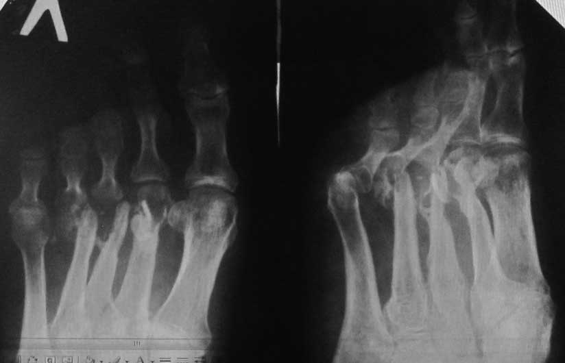
Хронический остеомиелит плюсневых костей |
 |
 |
 |
Отправлено Виктор 09 Февраль 2014, 19:07
Больной 45 лет, мужчина. Оперирован спицами в мае 2013 года в Таджикистане по поводу открытых переломов 2-4 плюсневых костей. Спицы были удалены со слов больного через 2 недели, после чего он был выписан на амб. долечивание, приступил к дозированной нагрузке. В сентябре 2013 года открылся свищевой ход на тыле стопы в 3-м межплюсневом промежутке. Больной лечился самостоятельно различными антибиотиками. Рассматривается секвестрнекрэктомия головок и части диафизов 2-4 плюсневых костей, проточно-промывное дренирование+спейсер с ванкомицином (или без спейсера), а затем в холодном периоде – костная аутопластика.Возможно после секвестрнекрэктомии появится избыточная подвижность 2-4 пальцев – чем и как посоветуете фиксировать??
<
|
>
|
|