вверх
отправить
поиск
админ
главная
|
Неправильно консолидирующийся перелом б/берцовой кости, после БИОС - помогите определиться с тактикой |
 |
 |
 |
Отправлено дмитрий 10 Февраль 2014, 17:46 ГБУЗ ГКБ №4 Оренбург
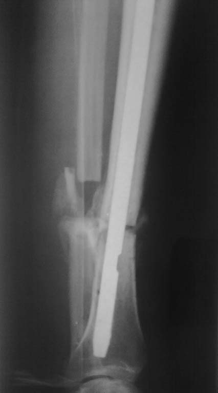
Больной 29 лет, оперирован 3 мес. назад по-поводу открытого перелома обеих костей пр. голени 2 тип по Gustilo (судя по рубцу). Коллеги, подскажите как лучше провести ресинтез: 1. Достаточно ли остеотомии м/берцовой кости или лучше провести частичн. резекцию 2.Проводить ли клиновидную остеотомию б/берцовой кости или возможно исправление оси отклоняющими спицами. P/S: понятно реБИОС, понятно что рассверливание канала. P/P/S: точка входа штифта нетипична - медиально от собств. связки, через бугристоть, проксимальные винты проведены снаружи(!). Спасибо за внимание, с уважением, Дмитрий.
<
|
>
|
|
Ответить
|
Re: Неправильно консолидирующи
Александр Ситник 11 Февраль 2014, 10:16
|
1. А зачем резекция м/берцовой? Если (1) удалить стержень, затем (2) открыться и освободить отломки малоберцовой кости от мозоли, (3) расшатать перелом ббк и (4)точно репонировать малоберцовую кость с фиксацией даже спицей (или тонким стержнем) интрамедуллярно, то вальгус ббк вполне может и сам уйти. Может потребоваться наложение дистрактора по латеральной поверхности (как вариант).
2. На большеберцовой лучше постараться закрыто выполнить все манипуляции, по снимкам вроде как должно получаться. После репозиции стержень потолще и подлиннее:)
PPS Насчет точки входа. Так бывает, наверное в данном случае это особо вас смущать не должно.
|
[
Ответить ]
|
Re: Неправильно консолидирующийся перелом б/берцовой кости, после БИОС - помогите определиться с тактикой
Alexander Chelnokov 11 Февраль 2014, 10:46
|
Мы бы удалили стержень. Постарались бы закрыто убедиться в наличии подвижности. Или чрескожная остеотомия малоберцовой, если уж она никак не шевелится (скорее всего получится ее рашевелить). Наложили бы дистрактор из дву полуколец (вверху спицы во фронтальной плоскости казди от гвоздя, внизу - хотя бы одну спицу через обе кости - параллельно суставной поврехности, чтобы вальгус сразу убрать).
Далее - в передне-заднем направлении 2-3 спицы 2 мм, чтобы гвоздь новый направить параллельно и ближе к латеральной стенке.
В общем, все тут несложно.
|
[
Ответить ]
|
Re: Неправильно консолидирующийся перелом б/берцовой кости, после БИОС - помогите определиться с тактикой
Алексей Гринь 11 Февраль 2014, 10:48
|
Здавсвуйте Дмитрий.
Советую Вам после улаления штифта наложить дистракционный аппарат с возможностью репозиции угловой деформации.
Учитывая что на р-граммах признаков консолидации нет, то с брльшой вероятносью Вы устраните угловую деформацию во время операции в имеющемся аппарате. Т.к. Дистальный отломок короткий необходимо выбрать штифт ортимальной длины, дистально зоблокировать 3 винтами, прксимально достаточно одного динамического блокирующего винта.
Если же одномоментная репозиуия не полкчится, то выполните ее помтеренно и после заштифтуйте.
Удачи.
С уважением А.Гринь ОКБ2 г.Тюмень
|
[
Ответить ]
|
Re: Неправильно консолидирующийся перелом б/берцовой кости, после БИОС - помогите определиться с тактикой
Alexey Semenisty 11 Февраль 2014, 16:23
|
>1. Достаточно ли остеотомии м/берцовой кости или лучше провести частичн. резекцию
А почему бы не восстановить анатомическую длину малоберцовой?
2.Проводить ли клиновидную остеотомию б/берцовой кости или возможно исправление оси отклоняющими спицами.
Ни то, ни другое. Мы бы, удалив гвоздь, и остеотомировав малоберцовую по перелому, в аппарате устранили бы смещение - одномоментно или дозированно в зависимости от ригидности мозоли. Потом расссверливание, штифтование, блокирование, демонтаж аппарата. Малоберцовую, скорее всего пластиной фиксировали бы.
P.S. это все только если нет инфекции
С уважением, А.Семенистый.
ГКБ № 13, Москва.
|
[
Ответить ]
|
Re: Неправильно консолидирующийся перелом б/берцовой кости, после БИОС - помогите определиться с тактикой
Отправитель: Иван 11 Февраль 2014, 21:49
|
Малоберцовую, скорее всего пластиной фиксировали бы.
- Алексей, с какой целью фиксировали бы МБК в данном случае?
|
[
Ответить ]
|
|
Re: Неправильно консолидирующийся перелом б/берцовой кости, после БИОС - помогите определиться с тактикой
Дмитрий 11 Февраль 2014, 22:11
|

Спасибо большое за советы, но получилось "по-нашенски" - послушал-послушал и сделал по-своему:
1. разобщить отломки м/берцовой кости не удалось - полная консолидация, после остотомии м/берцовой кости в обл. перелома подвижности особой не добились - причина видимо в синостозировании берцовых костей, произвели резекцию, выбрал 2,5см(однако при исправлении оси дефект оказался больше -этого не учел()
2. Пробовал, после резекции м/берцовой кости макс. приводить дист. отломок под ЭОП-контролем, ось исправлялась не до конца, мешала образовавшаяся(все-таки 3 мес.)мозоль, после клиновидной остеотомии (хотя клин оч. узкий брал 3-4мм.) появилась возможность исправить вальгус
3.Поставил 4 позиционных спицы, а вот реконструктивный штифт взять возможности не было, блокировать в динамике после таких манипуляций было страшновато ( да и все-таки это не псевдоартроз), блокировал в статике, продинамизирую - не поленюсь).
Снимки представляю, считаю получилось приемлемо.
Еще раз спасибо за ответы, с уважением Дмитрий.
|
[
Ответить ]
|
( Ответить )
|
|