AOTRAUMA.ORG Центр Илизарова  

Ортопедия и травматология Общие вопросы/General questions Help Информационные технологии в медицине
 вверх
 отправить
 поиск
 админ
 главная


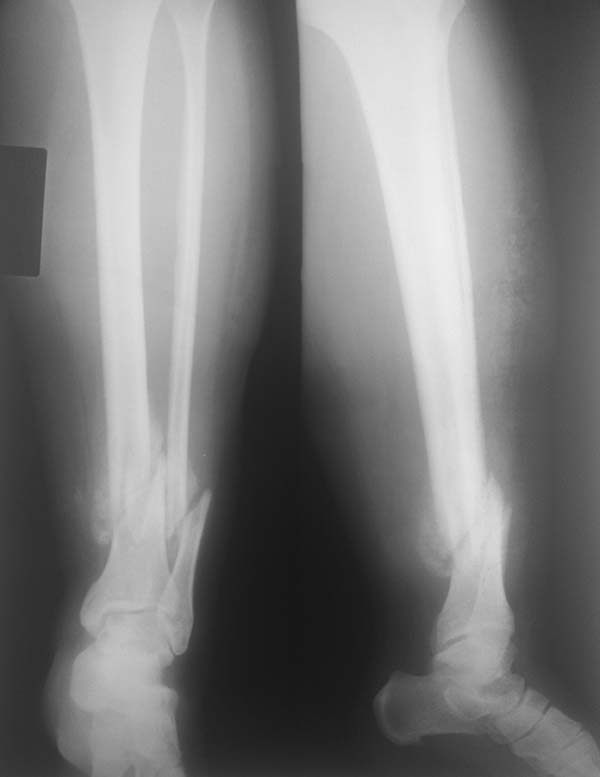
Неправильно консолидирующий оскольчатый перелом нижний трети костей голени.
Ортопедия и травматология Отправлено Алмасбек 16 Февраль 2014, 10:55
Коллеги, поступил пациент 55 л, с диагнозом: Неправильно консолидирующий оскольчатый перелом нижний трети костей голени.
Жалобы на боль, отечность и нарушение опороспособности. 3 месяца назад получила бытовую травму. В свизи с снежной зимы не мог выехать из села, лечилась у костоправа. При осмотре имеется умеренная угловая деформация, отечность, наступать не можеть из за боли.

<  |  >

 

  • Сообщения о Ортопедия и травматология
  • Также Алмасбек
  • Связаться с автором
  • Ответить

    Re: Неправильно консолидирующий оскольчатый перелом нижний трети костей голени.
    Станислав Дмитриев 16 Февраль 2014, 12:47
    А вопрос-то, в чем? Если по тактике, то АВФ - дистракция+устранение смещений - гвоздь.
    [ Ответить ]

    Re: Неправильно консолидирующий оскольчатый перелом нижний трети костей голени.
    Pavel L. 16 Февраль 2014, 15:32
    Нужно наложение дистрактора, достичь правильного стояния отломков, правильное соотношение в голеностопном суставе, фиксация малоберцовки и остеосинтез б/ берцовой кости, чем, зависит от ваших возможностей- можно БИОС минимум с тремя винтами в дистальном фрагменте, можно накостный остеосинтез
    [ Ответить ]

    Re: Неправильно консолидирующий оскольчатый перелом нижний трети костей голени.
    Денис Магсумов 16 Февраль 2014, 17:04
    Учитывая, что мозоль придется немного зачищать в открытую с целью добиться возможности выполнить репозицию отломков, то предпочел бы накостный остеосинтез на обоих костях. Как вариант имеют право на жизнь и АВФ, и БИОС. Зависит от опыта хирурга и возможностей ЛПУ в плане оснащенности.
    [ Ответить ]

    • Re: Неправильно консолидирующий оскольчатый перелом нижний трети костей голени.
      Отправитель: Alexander Chelnokov 16 Февраль 2014, 20:42
      Да зачем там открывать-то? Максимум - чрескожную остетотомию сделать, если уж совсем никаких надежд на закрытую мобилизацию.

      [ Ответить ]
      • Re: Неправильно консолидирующий оскольчатый перелом нижний трети костей голени.
        Отправитель: Денис Магсумов 16 Февраль 2014, 21:26
        Отломки обеих костей запаяны в муфтообразную костно-хрящевую мозоль (3 месяца прошло). Прежде чем добиться подвижности между отломками придеться попотеть.

        [ Ответить ]
    Re: Неправильно консолидирующий оскольчатый перелом нижний трети костей голени.
    Александр Ларионов 16 Февраль 2014, 21:03
    Какие сроки?
    [ Ответить ]

    Re: Неправильно консолидирующий оскольчатый перелом нижний трети костей голени.
    Maxim Agalakov 17 Февраль 2014, 12:33
    отличный пример для илизаровского метода, нсли грамотно все сделать с шарнирами - то гвоздь уже не успеть забить - срастется!
    [ Ответить ]

    Re: Неправильно консолидирующий
    Александр Ситник 17 Февраль 2014, 19:21
    А если не делать НИЧЕГО?
    [ Ответить ]

    Re: Неправильно консолидирующий оскольчатый перелом нижний трети костей голени.
    ШЦРБ 17 Февраль 2014, 22:26
    Если НИЧЕГО не делать, думаю может консолидировать.Вот только судя по костной мозоли и деф.артрозу голеностопа травме более 3мес.Где локализована боль?Имеется ли подвижность в области перелома?
    [ Ответить ]

    • Re: Неправильно консолидирующий оскольчатый перелом нижний трети костей голени.
      Отправитель: Maxim Agalakov 19 Февраль 2014, 10:14
      не делать ничего - не вариант (стабильности не хватает), как метод выбора - каст по Сармиенто

      [ Ответить ]

     

    ( Ответить )

    Powered by Zope  Squishdot Powered MedLink
    Посетитель: 0192478
      "По форме правильно, а по существу - издевательство" В.И.Ленин
    ©2001-2019Orthoforum Coordinator.
    [ Главная | Отправить сообщение | Поиск | Админ ]