вверх
отправить
поиск
админ
главная
|
Ложный сустав шейки и свежий перелом диафиза бедра - тактика лечения? |
 |
 |
 |
Отправлено Александр Ситник 19 Февраль 2014, 14:41
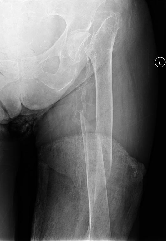
Женщина 87 лет. В 2006 году перелом шейки бедра слева, от операции тогда воздержалась. Последние 7 лет не ходит, со слов родственников передвижения иногда на коляске. 3 недели назал упала с кровати и сломала диафиз того же бедра. Объективно: истощена, вес 45 кг, пролежень (пока поверхностный)ягодичной области. Продуктивному контакту трудно доступна в т.ч. из-за глухоты. вторая нога с выраженным вальгусом в коленном суставе, движения сохранены.
Рентгенограмма бедра прилагается, выраженный остеопороз, кососпиральный перелом с/3.
Осмотрена терапевтом, неврологом, анетстезиологом. Особых противопоказаний к операции нет.
Интересует мнение коллег о необходимости/показаниях к хирургическому лечению. С учетом международного охвата форума интересно как поступают в разных странах в похожих случаях.
С уважением к сообществу
Александр Ситник
<
|
>
|
|
Ответить
|
Re: Ложный сустав шейки и свежий перелом диафиза бедра - тактика лечения?
Николай Гарькавый 20 Февраль 2014, 22:44
|
Однозначно оперировать, предпочел бы закрыто восстановить ось, длинну, ротацию и остеосинтез длинной версией DFN. Поторпитесь, время идет, пролежень уж есть, далее пневмония и "законченный случай". Аппарат проблему не решит, необходим уход, да и возрастные пациенты делают с аппаратами такие чудеса...)
Гипсовая лонгета - смерть от пролежней и пневмонии в течение месяца.
Желаю успехов
|
[
Ответить ]
|
Re: Ложный сустав шейки и свежий перелом диафиза бедра - тактика лечения?
Alexander Chelnokov 23 Февраль 2014, 11:59
|
Бывают такие больные раза 2-3 в год. Остеопороз от отсуствия нагрузки, ломается диафиз легко. Остеосинтез надо делать. Интрамедуллярный. С любой стороны. Все равно перед протезированием придется удалять. Раз остеопоро- винтов побольше. Большеберцовым гвоздем ак ретроградным можно, чтобы 45 градусными винтами воспользоваться.
|
[
Ответить ]
|
Re: Ложный сустав шейки и перелом бедра
Отправитель: Алексанр Ситник 23 Февраль 2014, 14:31
|
С технической стороной вопроса особых сомнений нет.
Сомнения есть относительно того, нужно ли что-то делать вообще и если делать - то зачем? Больная 7 лет не ходит и ходить не будет. При уточнении анамнеза - перелом случился даже не при падении, а при повороте в постели.
Нужен ли ей наш остеосинтез для облегчения ухода или не нужен, или какая другая операция? Или просто не мучить бабушку (http://rutube.ru/video/4109e1400a2d2623153b74010d591aae/)?
И хотя бабушка то уже прооперирована, вопрос остается, т.с. философский...
|
[
Ответить ]
|
Re: Ложный сустав шейки и перелом бедра
Отправитель: Alexander Chelnokov 23 Февраль 2014, 16:13
|
В любом случае - это перелом диафиза бедра. Если больная не умерла через 10 минут и намеревается жить хоть несколько дней - лучше фиксировать. Иначе при движениях-поворотах-перекладываниях-пользовании судном и т.п. - это и боль, и дальнейшая травма околокостных тканей вплоть до перфорации кожи.
|
[
Ответить ]
|
|
Re: Ложный сустав шейки и свежий перелом диафиза бедра - тактика лечения?
Вадим Максимов 24 Февраль 2014, 13:09
|
Ув.Александр.Каков настрой родственников по сложившейся проблеме?Мне кажеться, принятие решения находится в этой плоскости.С уважением.
|
[
Ответить ]
|
( Ответить )
|
|