вверх
отправить
поиск
админ
главная
|
Разрыв акромиально-ключичного сочленения. Тактика? |
 |
 |
 |
Отправлено Ольга 27 Февраль 2014, 00:59
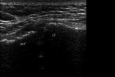
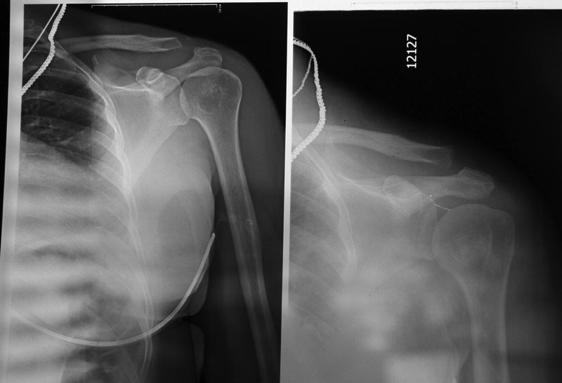
Есть ли показания для оперативного вмешательства у женщины с застарелым разрывом АКС? Женщина обратилась с жалобами на боль в области плечевого сустава на протяжении 4,5 месяцев после травмы. Боль беспокоит при подъеме руки от 45 град до 90. Также беспокоит онемение 3- 4 пальца кисти, периодически возникающий отек кисти. В сентябре после травмы диагностирован разрыв АКС слева Tossy 1, была наложена повязка Дезо. Затем периодически получала разные виды физиотерапии, мази без эффекта.Был проведен повторный Rg. На УЗИ я выявила расширение АКС до 15 мм, (на здоровой стороне суставная щель до 5 мм), содержимое неоднородное, имеется неровность дистального конца ключицы. Признаки разрыва акромиально-ключичной связки. Целостность сухожилий ротаторной манжетки сохранена. Выпота в сумках нет.Описание Рентгенолога: 1ый снимок октябрьский , второй справа -середина февраля (недавно). 1 ый снимок сделан с грузом - второй - без груза. На рентгенограмме левой плечевой кости с плечевым суставом с центрацией на левый АКС от февраля года в сравнении с рентгенограммой от октября отмечается разрыв КАС первой степени по Tossy, в динамике расстояние левого КАС с 0,7 мм и ступенеобразной деформацией увеличилась до 1,1 см (я не опечаталась - такова размерность в заключении) с признаками лизирования эпифиза левой ключицы, реакция мягкотканного компонента отсутствует.Подскажите, пожалуйста, какая же здесь степень разрыва по Tossy? Необходимо ли оперативное вмешательство, по поводу данного разрыва? Считаете ли Вы, что есть разрыв связки? Какова дальнейшая тактика ведения пациентки.
<
|
>
|
|
Ответить
|
Re: Разрыв акромиально-ключичного сочленения. Тактика?
Василий Монастырев 01 Март 2014, 07:00
|
На мой взгляд впервую очередь необходимо исключить повреждение сухожилий ротаторной манжеты. Выполнение лишь только УЗИ не дает ответ. Поэтому выполните МРТ плечевого сустава, с акцентом на сухожилия. По рентгенограммах повреждение КАС не критическое -1 степени, но такую клинику довать не может. Ко всему этому необходимо исключить шейные дела (остеоходроз и т.д.)
|
[
Ответить ]
|
Re: Разрыв акромиально-ключичного сочленения. Тактика?
Дмитрий 03 Март 2014, 17:12
|
Есть такой принцип "бритвы аккомо" и следуя ему исключать очевидное,т.е. Не вводить новые сущности-прооперируйте акс(тем более разрыв полный,что и демонстрирует стресс-тест) малоинвазивно винтом в клювовидный отросток
|
[
Ответить ]
|
Re: Разрыв акромиально-ключичного сочленения. Тактика?
Бардюгов Петр 03 Март 2014, 20:25
|
Застарелый разрыв малоинвазивно?
|
[
Ответить ]
|
Re: Разрыв акромиально-ключичного сочленения. Тактика?
Отправитель: Дмитрий 05 Март 2014, 06:03
|
Да,делали малоинвазивно даже регенерацию,после фиксации по каплану
|
[
Ответить ]
|
|
Re: Разрыв акромиально-ключичного сочленения. Тактика?
Алан Цаллагов 04 Март 2014, 02:00
|
На мой взгляд показания к оперативному лечению относительные. Настораживает неврологическая симптоматика. Симптомы похожи на плексит. Проведите для начала неврологическую терапию. МРТ желательно. ЛФК, физиотерапия необходима.
|
[
Ответить ]
|
Re: Разрыв акромиально-ключичного сочленения. Тактика?
Paul 13 Март 2014, 08:24
|
В механизме данного повреждения не исключается, а скорее присутствует повреждение плечевого сплетения..Сделать ЭНМГ. Для оценки данной травмы лучше использовать классификацию АО/ASIF. В данном случае я бу поставил степень 4 возможно имеется повреждение места прикрепления передней порции дельтовидной мышцы. Учитывая это малоинвазивная операция будет несостоятельной. Возможное решение: металодез huck-plate c обязательной ревизией и восстановлением дельтовидной мышцы, ауто или ксенопластика связок.
|
[
Ответить ]
|
Re: Разрыв акромиально-ключичного сочленения. Тактика?
Отправитель: михаил 19 Март 2014, 12:48
|
На Rg не исключается внутрикостное образование головки и шейки плечевой кости. Сделайте КТ.
|
[
Ответить ]
|
|
( Ответить )
|
|