вверх
отправить
поиск
админ
главная
|
Остеомиелит локтевого сустава |
 |
 |
 |
Отправлено Дмитрий 06 Март 2014, 06:46
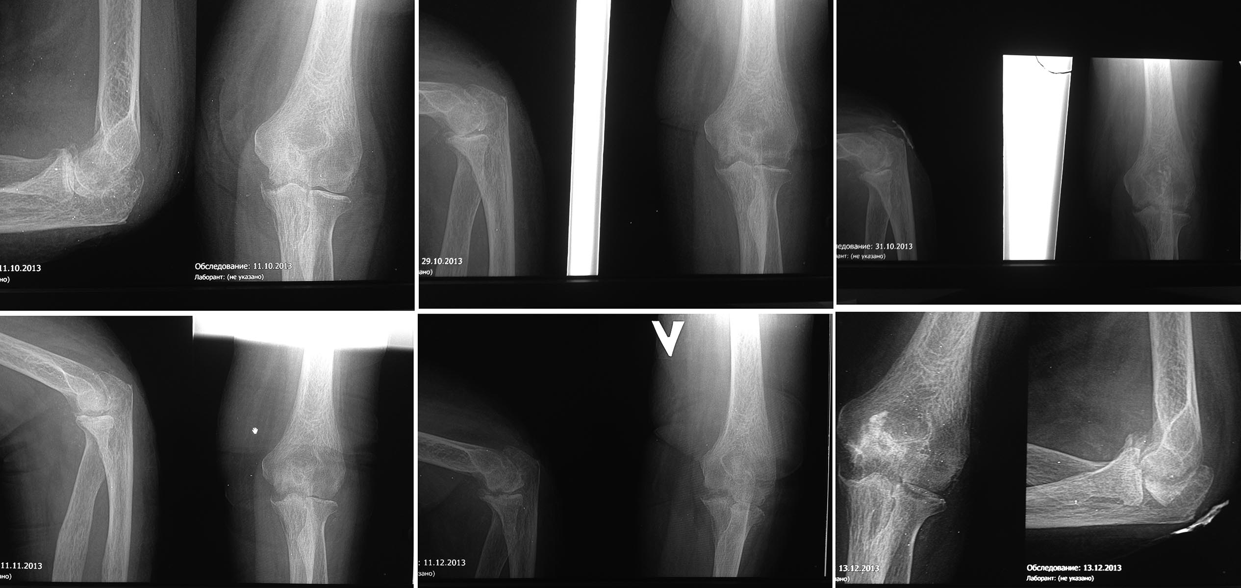
Прошу вашей помощи в определении тактики лечения пациентки с остеомиелитом костей локтевого сустава. Добрый день, уважаемые коллеги! Прошу вашей помощи в определении тактики лечения пациентки. Больная 64-х лет, страдает Ревматоидным артритом, получает гормональную терапию – т. Преднизолон 2т утром (ежедневно). В июне 2013, в нашей ЦРБ мной выполнена операция – Иссечение бурсы локтевого отростка. П/о период б/о. После выписки из отделения лечилась амбулаторно, выполнялись пункции области п/о рубца в связи со скоплением серозной жидкости. Спустя 2 месяца появились отёк, гиперемия, подкожная флюктуация в проекции п/о рубца, болевой синдром в локтевом суставе при движении. Обратилась на прием к хирургу, после пункции выявлено гнойное содержимое. Назначена антибактериальная терапия, выполнялись повторные пункции. В динамике открылся свищевой ход в проекции п/о рубца. После отсутствия положительной динамики выполнена R-графия локтевого сустава, выявлена деструкция костной ткани.
В ноябре 2013, с диагнозом Остеомиелит медиального надмыщелка плечевой кости и локтевого отростка слева направлена на стац. лечение в ХО. При осмотре выявлен болевой синдром, ограничение движений в локтевом суставе, а также костная крепитация при нагрузке на связочный аппарат. Выполнялась фистулография – контраст вокруг капсулы на ограниченном участке, в сустав не проникает.
Консультирована по телефону с зав. травм. отд. обл. б-цы – рекомендовано продолжить консервативную антибактериальную терапию до купирования гнойного отделяемого и закрытия свища. За время стац лечения купировано гнойное воспаление, свищ закрылся, сохранялось ограничение движений в локтевом суставе (незначительно увеличились), боль при движении. В удовлетворительном состоянии выписана на амбулаторное лечение. Через месяц рецидив заболевания. В декабре 2013 повторно госпитализирована в ХО. Из свища обильное гнойное отделяемое. Локтевой сустав фиксирован под углом 45о, движения качательные в пределах 5-10о. На рентгенограммах отрицательная динамика – деструктивные изменения суставных поверхностей костей локтевого сустава. Выполнялась фистулография – контраст проходит до локтевого отростка, в сустав не проникает. Проведена антибактериальная терапия, перевязки. За время стац лечения купировалось гнойное воспаление, свищ закрывался, сохранялось ограничение движений в локтевом суставе, боль при движении. Через 2-3 недели рецидив.
В феврале 2014 находилась на стац. лечении в травм. отд. обл. б-цы где выполнялась: Ревизия и иссечение свища области левого локтевого отростка, удаление экзостоза локтевого отростка. К моменту заживления п/о раны, перед выпиской – рецидив заболевания, повторно открылся свищ, появилось гнойное отделяемое. Не смотря на это, выписана из травм отделения, направлена на амбулаторное лечение по месту жительства. Наблюдалась у хирурга поликлиники ЦРБ, выполнялись перевязки – без положительной динамики. В настоящее время в очередной раз получает стационарное лечение в ХО ЦРБ, получает антибактериальную терапию, перевязки.
В проекции локтевого отростка по рубец, центре п/о рубца свищ диаметром 0,3 см, из свища гнойное отделяемое. Движения в локтевом суставе активные - качательные, в пределах 5-10о, пассивные 30-80о. МРТ нет. Только платно в областном центре, больная себе позволить не может.
<
|
>
|
|
Ответить
|
Re: Остеомиелит локтевого сустава
Дмитрий 06 Март 2014, 08:41
|
Есть промежуточные снимки. При необходимости могу выложить.
|
[
Ответить ]
|
Re: Остеомиелит локтевого сустава
Олег Шепета 06 Март 2014, 13:27
|
Выкладывайте снимки
Что на посеве (делали хоть раз?), антибиотики какие использовали и сколько длился курс
МРТ набсолютной необходимости делать нет показаний
Так понимаю, что после иссечения бурсы (Вами) ревизия делалась один раз и областным травматологом?
На период лечения иммобилизация использовалась? (Четко в тексте не нашел)
Не лишним будет сделать иммунограмму (клеточный и гуморальный иммунитет), на период обострения и наличием свища на этапе преодперационной подготовки (логична будет повторная ревизия) иммобилизация локтевого сустава
|
[
Ответить ]
|
Re: Остеомиелит локтевого сустава
Отправитель: Дмитрий 07 Март 2014, 03:05
|

Выкладываю снимки, извиняюсь за качество.
Посев делали каждый раз, когда проводилось стац. лечение и всегда посев роста не давал. Антибиотики использовали цефалоспорины (Клафоран, Цефтриаксон, Сульперазон), Ципролет, Линкомицин. Курс лечения продолжали до 10 дней, затем меняли антибиотик еще на 10 дней, после этого перерыв до конца сатц. лечения, выполняли только перевязки (стац. лечение обычно 3-4 недели). Каждое повторное стац. лечение использовали те-же антибиотики.
Ревизию я не делал, делали только в травм. отделении. Иммобилизацию не использовали.
|
[
Ответить ]
|
|
Re: Остеомиелит локтевого сустава
Дедок Михаил 07 Март 2014, 21:26
|
Непонятно, почему активные движения качательные, а пассивные сохранены. Страдает экстензия?
Может сухожилие трисепса сгнило или его "кыкнули"?
Я бы сделал все то же, про что писал Олег. На ревизии прокрасить свищу зеленкой с перекисью. Иссечь все плохое и затем VAC.
Кстати, все это похоже на лигатурный свищ.
И неплохо бы обследовать на туберкулез...
|
[
Ответить ]
|
Re: Остеомиелит локтевого сустава
Олег Шепета 09 Март 2014, 16:36
|
Странно как то...
Либо брак посева, либо действительно какой то лигатурный свищ
В любом случае рекомендую повторно на фоне гнойных выделений в этот раз или при рецидиве (если до момента написания уже происходит ремиссия) посев с антибиотикограммой (если аппаратным путем, то обязательно с учетом МИК каждого антибиотика для выбора оптимального, если ручным методом (дисковым) - то с учетом радиуса действия АБ на диске)
Амплитуда активных движений не коррелирует с пассивными почему? Из-за болевого синдрома?
Если сейчас пойти по тактике, выбранной Вашим хирургом или областными специалистами- скорее всего ждите рецидива
Необходимо немного поменять тактику преоперационного планирования. Как? Придерживайтесь рекомендаций
|
[
Ответить ]
|
Re: Остеомиелит локтевого сустава
Дмитрий 11 Март 2014, 03:01
|
Активные движения ограничены из-за болевого синдрома и такое ограничение наблюдалось еще до санационной операции. Поэтому не думаю, что поврежден трицепс.
По поводу посева - последние посевы 26.02. и 05.03. оба роста не дали. Посевы выполняются СЭС и как-то повлиять на процесс исследования я не могу.
Сейчас на фоне лечения у больной положительная динамика - отделяемое из свища скудное, серозно-гнойное. После рекомендаций Олега фиксировал сустав гипсовой лонгетой.
|
[
Ответить ]
|
Re: Остеомиелит локтевого сустава
Отправитель: Олег Шепета 14 Март 2014, 12:33
|
Есть два пути решения проблемы в данном случае (исходя из моего мнения)
1) Продолжать консервативное лечение в гипсовой повязке до закрытия свища (учитывая положительную динамику и отрицательные результаты посева по "непонятных мне" причинах), после чего (после закрытия свища) снять гипс и попробовать полечить контрактуру с помощью ФТЛ+ЛФК
"+" - отсутствие этапного оперативного вмешательства
"-" - риск рецидива на любом промежутке времени
2) Произвести плановую некректомию по ходу свиша, предварительно всё окрасив пигментои (зелёнка, синька), удалить все лигатуры, ушить с помощью минимального количества швов
"+" - риск рецидива меньше, чем при консервативном лечении, но возможен
"-" - отсутствие качественного результата посева склоняет предположить либо наличие условно-патогенной флоры (что является проблемой иммунитета) и тогда прогнозировать результат лечения сложно, либо сложность в выборе "правильного" антибиотика "по посеву", что так же затрудняет послеоперационное лечение с целью профилактики диссеминации инфекции
Выбор за Вами и Вашим пациентом
P.S. - кстати, на обязятельно направлять своего пациента "на область", оперативное вмешательство не сложнее бурсэктомии (которую Вы сделали)
|
[
Ответить ]
|
Re: Остеомиелит локтевого сустава
Отправитель: Дмитрий 18 Март 2014, 04:25
|
В гипсовой лонгете свищ закрылся, больную выписал на амбулаторное лечение. Лонгету думаю оставить до 3-4 недель, после чего ЛФК. Если после этого опять случится рецидив, то тогда ревизия свища. Здесь наверное действительно имеет место снижение имунитета на фоне постоянной гормональной терапии Преднизолоном.
А по поводу области... Отправлял с надеждой, что будет выполнена не ревизия свища а санация всего сувстава с артротомией при необходимости.
|
[
Ответить ]
|
Re: Остеомиелит локтевого сустава
Отправитель: Олег Шепета 18 Март 2014, 12:44
|
Возможно, я не дооцениваю ситуацию, но, исходя из результатов фистулографии (снимки, как на меня, достаточно информативны и качественны) сустав не вовлечен в очаг воспаления, и его раскрытие при ревизии было бы большой ошибкой в плане прогностической диссеминации возбудителя инфекции
|
[
Ответить ]
|
|
Re: Остеомиелит локтевого сустава
Наконечный Дмитрий 23 Март 2014, 13:49
|
Доброго времени суток. Уважаемые коллеги, соглашусь с Олегом Шепетой в том, что "Возможно, я не дооцениваю ситуацию" (с). На рентгенограммах явные признаки деструкции суставных концов костей. И то, что контраст не доходит до полости сустава не должно быть определяющим тактику фактором.
Думаю, Дедок Михаил прав: если результаты посевов отрицательные, стоит поискать специфическую флору. В первую очередь -Tbs. Если не помогают посевы, выполнить и микроскопию.
А по операции, я за полную радикальную обработку с фиксацией в АВФ. Возможна подготовка к последующей артропластике или артродезу (второе, учитывая РА и терапию, наверное, предпочтительно).
PS. попробуйте проконсультироваться у фтизиоостеологов из НИИФП.
|
[
Ответить ]
|
Re: Остеомиелит локтевого сустава
Дмитрий 26 Март 2014, 02:41
|
Спасибо за ответы!
|
[
Ответить ]
|
( Ответить )
|
|