вверх
отправить
поиск
админ
главная
|
Остеомиелит большеберцовой кости |
 |
 |
 |
Отправлено Юрий 06 Март 2014, 10:04
Уважаемые коллеги, помогите, пожалуйста советом. Больной Н., 1975 года рождения. 10 марта 2013г. в результате падения на улице получил закрытй оскольчатый перелом обеих костей левой голени в нижней трети.
27.03.2013г. выполнена операция: БИОС левой большеберцовой кости. Ранний послеоперационный период осложнился формированием подкожной гематомы, свищевой формой металлоза, раны зажили вторичным натяжением. . Вертикализирован, адаптирован к ходьбе. 09.07.2013г. выполнена динамизация блокируемого стержня удалением проксимальных блокирующих винтов, удаление дополнительных винтов фиксирующих свободный отломок. Ранний послеоперационный период без особенностей, ходит с тростью. В удовлетворительном состоянии выписан под наблюдение хирурга поликлиники.
По прибытию из отпуска в октябре 2013г. осмотрен травматологом выявлен свищ послеоперационного рубца левой голени, госпитализирован. На фоне проведенного комплексного консервативного лечения свищ закрылся. Переломы срослись. 13.11.2013г. выполнено удаление интрамедуллярного стержня. Ранний послеоперационный период осложнился образованием вялогранулирующего участка раны в нижней трети левой голени. Достигнуто заживление раны, выписан в декабре 2013г.
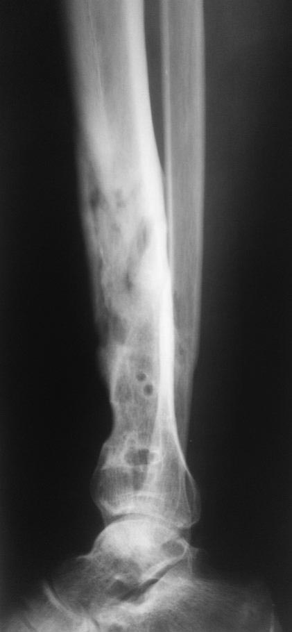
На этой неделе пациент пришел на консультацию.Рентгенограммы в приложении. Местно: отек, гиперемия кожи по передней поверхности левой голени в нижней трети, в области послеоперационного рубца - свищ, со скудным серозно-гнойным отделяемым.
Дорогие коллеги, прошу вас, помочь советом относительно тактики дальнейших действий (обследования, лечения.
<
|
>
|
|
Ответить
|
Re: Остеомиелит большеберцовой кости
Олег Шепета 06 Март 2014, 13:30
|
Иммунограмма, фистулография, посев выделяемого
И конечно, выкладывайте рентгенограммы
|
[
Ответить ]
|
Re: Остеомиелит большеберцовой кости
Отправитель: Юрий 08 Март 2014, 03:39
|
На данный момент снимков больше нет.
Результаты посева - золотистый стафилококк.
Пациент ляжет в отделение 11.03. - результаты фистулографии выложу.
Начинать ли антибиотикотерапию сразу или готовит на операцию и антибиотики начинать использовать непосредственно перед ней?
Норбоев 2.JPG
32KB (33548 bytes)
|
[
Ответить ]
|
|
Re: Остеомиелит большеберцовой кости
Юрий 07 Март 2014, 01:50
|
На данный момент снимков больше нет.
Результаты посева - золотистый стафилококк.
Пациент ляжет в отделение 11.03. - результаты фистулографии выложу.
Начинать ли антибиотикотерапию сразу или готовит на операцию и антибиотики начинать использовать непосредственно перед ней?
Норбоев 2.JPG
32KB (33548 bytes)
|
[
Ответить ]
|
Re: Остеомиелит большеберцовой кости
Отправитель: Олег Шепета 09 Март 2014, 15:58
|
я бы не был столь радикален по поводу резекции, да еще и без результатов фистулографии
С операцией спешить не рекомендую, если хотите, чтобы она оказалась предпоследней или, еще лучше, последней
Пациент плановый, дренаж гнойных выделений происходит, поэтому торопиться некуда (кроме того, чтобы сделать фистулографию)
Мне так вообще кажется, что это может быть стержневой остеомиелит, но когда кажется, то "креститься надо"
Поэтому - иммунограмма, если нет противопоказаний - иммуностимуляция+иммунопрофилактика стафилококковым анатоксином
В плановом порядке по результатам фистулографии некрсеквестрэктомия (возможно все закончится банальным рассверливанием дистального отверстия) и обработка местных тканей антистафилококковым бактериофагом
Антибиотикотерапия уместна на фоне проделанной операции (если конечно нет общеклинической симптоматики инвазии - гипертермия, интоксикация и т.д.) и длиться должна 8-12 недель сугубо по результатах посева и антибиотикограммы с определениям МИК антибиотика
|
[
Ответить ]
|
Re: Остеомиелит большеберцовой кости
Отправитель: Андрей Кияночкин 10 Март 2014, 19:18
|
Зачем же так сразу - резецировать!Уберите кольцевидный секвестр(отлично виден на прямой рентгенограмме) И наверное на этом все и закончиться, в ближайший год.Консерватизм не самое худшее качество хирурга!
|
[
Ответить ]
|
|
Re: Остеомиелит большеберцовой кости
Oleg Afanasyev 08 Март 2014, 16:25
|
Резекция и свободный транспорт по Илизарову.
|
[
Ответить ]
|
Re: Остеомиелит большеберцовой кости
Отправитель: Юрий 10 Март 2014, 03:23
|
Какой объем резекции?
|
[
Ответить ]
|
Re: Остеомиелит большеберцовой кости
Отправитель: Олег Шепета 14 Март 2014, 12:22
|
Повторюсь ещё раз, не слушайте никого...
Пока нет результатов фистулографии, ни о каком планировании объема резекции речи быть не может
|
[
Ответить ]
|
Re: Остеомиелит большеберцовой кости
Отправитель: Иван 15 Март 2014, 21:00
|
Олег, скажите каким образом данные фистулографии будут определять или не определять объем резекции.
Не могли бы Вы рассказать о Вашем протоколе лечения остеомиелита или посоветовать хороший источник.
Спасибо!
|
[
Ответить ]
|
Re: Остеомиелит большеберцовой кости
Отправитель: Олег Шепета 18 Март 2014, 12:41
|
К сожалению, достаточно мало литературы прочитано для того, чтобы ориентировать на какое то руководство в целом...Поэтому дальнейшее высказывание сделано больше, как анализ из своего опыта (3 года гнойной хирургии в Киевской обласной больнице, до 100 различных секвестрнекрэктомий - возможно, не очень много, чтобы делать ГРОМКИЕ выводы, но всё таки...)
Фистулография показывает источник и объем очага инфекции, если сделать КТ с введением контраста по свищу, можно еще более объективно оценить объем очага - собственно результат такого исследования может свидетельствовать о том, насколько большим может быть объем резекции
|
[
Ответить ]
|
|
( Ответить )
|
|