ВХОД ДЛЯ ПАЦИЕНТОВ
вверх
поиск
админ
главная
исходное
|
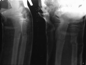
Перелом костей предплечья
послал Слава 26 Март 2014, 17:52
|

Уважаемые коллеги, приветствую. Спасибо за ваши ответы.
В приложении сегодняшний контрольный снимок, 5 день после репозиции. Прошу прощение за неподобающее каяество снимка.
Что скажете?
|
| Послать ответ |
Обратите внимание: Поля с жирными названиями обязательны.
Старайтесь отвечать в рамках обсуждаемой темы, а не начинать новые обсуждения.
Указывайте адекватную тему сообщения, чтобы было ясно, о чем оно.
Не послайте сообщений не по теме (оффтопик), раздраженных, грубых или обидных комментариев. Здесь это неуместно.
|