Ответить
|
Re: Ankle subluxation
Тони 30 Март 2014, 21:42
|
С учетом возраста, пытаться однозначно надо, выводить сустав в аппарате Илизарова. Предварительно оценка состояния сухожилий по Мрт. В перспективе в ближайшие 5-10 лет эндопротез или артродез сустава в зависимости от болей и функции.
|
[
Ответить ]
|
Re: Ankle subluxation
Glukhov Denis 31 Март 2014, 11:29
|
> В настоящее время беспокоит эквинусная установка правой стопы, ограничение движений в голеностопном суставе. Болей нет.
Из данного представления не совсем понятно как ходит больная (подозреваю что без опоры на стопу).
> Объем движений 80-90 градусов.
О каком эквинусе идет речь?
В данном случае сустава уже давно нет и бороться не за что.
Для эндопротеза нужна сохранная "вилка" сустава. В вашем случае, судя по КТ, имеется псевдоартроз внутренней лодыжки. Проблема решаемая, но не понятно во имя чего. Функциональные результаты эндопротеза и артродеза голеностопного сустава принципиально не отличаются. И не надо забывать что артродез - итоговая операция, а эндопротез предполагает ревизию через 10-15 лет (больной будет около 30 лет) и что дальше?
Я за артродез.
|
[
Ответить ]
|
Re: Ankle subluxation
Дедок Михаил 31 Март 2014, 22:54
|
Артродез, может и ничего, но как объяснить девчонке, что оне не будет ходить на шпильках.
За сустав можно побороться.
1. Сделать голень в верхней трети и посмотреть - нет ли там неправильно сросшегося перелома мало берцовой кости, если есть,то остелтлмия с восстановлен км длины.
2. Сделать артроскопию, убрать хондромное тело и спайки.
3. Убрать остефиты перед него отдела таранной и б/б кости (там импиджмент)
4. Синтезировать внутреннюю лодыжку.
По идее, должно получиться. И никакого гипса. В после операционной периоде гиалуронку в сустав
|
[
Ответить ]
|
Re: Ankle subluxation
Отправитель: Glukhov Denis 01 Апрель 2014, 09:14
|
1) на большеберцовой суставной хрящ мог и сохраниться, а вот на таране его точно нет (внимательно сморим на профиль)
2) дефицита длины малоберцовой кости НЕТ (смотрим КТ)
3) сустав полноценно можно ревизовать из доступа на внутреннюю лодыжку (зачем артроскопия)
Если всерьез рассматривать возможность выполнения восстановительной операции, то нужен весь архив КТ, минимальный психологический портрет пациентки, антропометрические данные и т.д.
P.S. Технически выполнить восстановительную операцию и даже показать приемлемую картинку на рентгене проблем не составит, а вот смысл в этом...
|
[
Ответить ]
|
|
Re: Ankle subluxation
Рамиль Салихов 02 Апрель 2014, 00:14
|
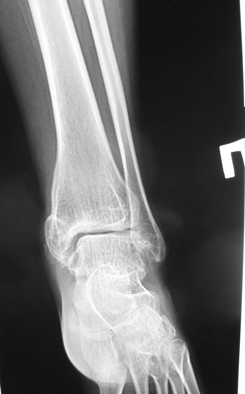
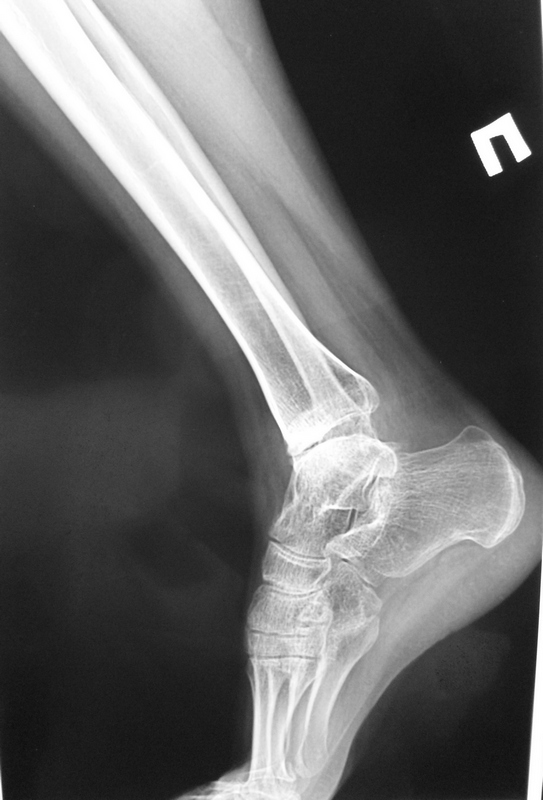
1.У пациентки перелом внутренней лодыжки сросся. Это видно из рентгенограмм. Болей нет.
2. Эквинусная установка за счет переднего отдела.
3. Ходит она с опорой больше на носок. Я ей старательно рекомендовал обзавестись подпяточником в каждую обувь.
4. Пожелание самой пациентки-восстановить объем движений и убрать эквинусную установку.
5. У пациентки нет болей -это и останавливает в плане оперативного лечения. Видимо будем вести пока консервативно.
6. Спасибо всем за высказанные мнения. Может еще есть у кого опыт успешного оперативного лечения?
|
[
Ответить ]
|
Re: Ankle subluxation
Отправитель: Glukhov Denis 02 Апрель 2014, 17:12
|
> У пациентки перелом внутренней лодыжки сросся. Это видно из рентгенограмм. Болей нет.
Я вижу суперпозицию смещенной кпереди внутренней лодыжки и кортикальные замыкательные пластинки на центральном и периферическом отломках. Может сращение где-то на ограниченном участке и есть, но по имеющейся информации говорить об этом трудно. На данные КТ 2012г.!!! расчитывать не приходится.
> Ходит она с опорой больше на носок.
Читаем - без опоры...
> Эквинусная установка за счет переднего отдела.
наверное я слепой...
> Видимо будем вести пока консервативно.
Пожалуй это самый правильный выбор.
|
[
Ответить ]
|
|
Re: Ankle subluxation
Рамиль Салихов 02 Апрель 2014, 00:29
|

высылаю имеющиеся РКТ
|
[
Ответить ]
|
Re: Ankle subluxation
Рамиль Салихов 02 Апрель 2014, 00:30
|

Фото стопы
|
[
Ответить ]
|
Re: Ankle subluxation
Рамиль Салихов 02 Апрель 2014, 00:34
|
Из психологического портрета: родители девушки погибли в автокатастрофе. Воспитывается у родственников. Во время ДТП был перелом бедра с другой стороны, разрывы внутренних органов,компресионный оскольчаты перелом L5 позвонка без неврологических нарушений-транспедикулярная фиксация. Сама молодая, красивая. Хочет быть здоровой.
P1010618-1.jpg
308KB (316046 bytes)
|
[
Ответить ]
|
Re: Ankle subluxation
Отправитель: Дедок Михаил 02 Апрель 2014, 21:48
|
Боли нет, это хорошо. Но объем движений не восстановится вследствие переднего импиджмента. Чтобы его убрать как минимум нужна артроскопическая коррекция. А остальное можно и не трогать.
лодыжки.jpg
105KB (107857 bytes)
|
[
Ответить ]
|
|
Re: Ankle subluxation
Александр Ситник 02 Апрель 2014, 23:44
|
Наверное прежде чем планировать что-то хирургическое нужно получить правильные снимки. Здесь передне-задняя проекция видимо с наружной ротацией стопы. Хотелось бы глянуть на синдесмозную проекцию.
Меня больше всего смущает подвывих стопы кпереди. Возможно это связано с нерепонированной внутренней лодыжкой (ощущение, что она смещена кпереди).
Насчет отсутствия укорочения малоберцовой я бы не был так категоричен и снимок с захватом всей голени бы выполнил.
Дальше - в зависимости от находок, но основная цель - центрация тарана в вилке гсс в обеих проекциях.
|
[
Ответить ]
|
Re: Ankle subluxation
Отправитель: Denis Glukhov 03 Апрель 2014, 11:15
|
> Хотелось бы глянуть на синдесмозную проекцию.
Это называется проекция Мортиса (mortise projection). Является обязательной в программе обследования голеностопного сустава.
Нам представлены данные КТ 2012г.!!!, тут уже не до "Мортиса"...
Если не сложно, скажите где живет пациентка.
|
[
Ответить ]
|
Re: Ankle subluxation
Отправитель: Александр Ситник 03 Апрель 2014, 23:33
|
Да что вы говорите?
А чукча до сих пор думал что Карл Маркс и Фридрих Энгельс это четыре разных человека:)
А я и не догадывался, что "Мортис" тоже был великим ученым. Только в словаре смотрел: mortise - выемка, вырез, гнездо, в нашем применении: "вилка голеностопного сустава"
|
[
Ответить ]
|
Re: Ankle subluxation
Отправитель: Denis Glukhov 04 Апрель 2014, 09:43
|
> "Мортис" тоже был великим ученым.
Я этого и не писал...
(Mortise projection — an anteroposterior projection of the ankle with the foot rotated internally 15 to 20 degrees so that the bases of the tibia and fibula are no longer in front of the talus.)
Если кого обидел, то приношу свои извинения.
|
[
Ответить ]
|
Re: Ankle subluxation
Отправитель: Алибек 05 Апрель 2014, 23:08
|
Может мортис-проекция излишня при наличии КТ? Вряд-ли могло что- то произойти с синдесмозом за 2 года после КТ.
|
[
Ответить ]
|
Re: Ankle subluxation
Отправитель: Данилов Евгений 04 Апрель 2014, 15:26
|
Согласен. Типичная картина при плохо отрепонированной внутренней лодыжки.
|
[
Ответить ]
|
|
( Ответить )
|