вверх
отправить
поиск
админ
главная
|
Ложный сустав большеберцовой кости |
 |
 |
 |
Отправлено Абдурашид 10 Апрель 2014, 23:34
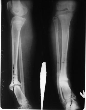
Коллеги, обратилась пациентка 12 лет, со слов матери 5 лет назад заболела острым гематогенным остеомиелитом, 4 раза оперирована в обл. детской больнице, после образовался ложный сустав, в центре произведена костная аутопластика, нагноение, после отторжения аутокости рана зажила и рецидив псевдоартроза 2 года назад(все это со слов матери). Клинически тугой ложный сустав н/з голени, деформация,укорочение 2см, девочка ходит самостоятельно, прихрамывает. Пока определенного мнения нет, повторно открывать не хочется, какие будут мнения по поводу БИОС- после остеотомии м/б кости и аппаратной коррекции деформации или сначала профилактически спейсер с антибиотиком ? и продолжать ЧКДО? Прилагается Р-граммы, обещают принести и предыдущих Р-грамм.( пациентка из другой обл.) С уважением Абдурашид.
<
|
>
|
|
Ответить
|
Re: Ложный сустав большеберцовой кости
Бухарев Эдгар 11 Апрель 2014, 13:09
|

Ув. Абдурашид, зачем выполнять БИОС ребенку 12 лет с активно функционирующими зонами роста?! В этой ситуации можно справиться с помощью ЧКДО. Ложный сустав гипертрофический. Достаточно будет выполнить остеотомию малоберцовой кости и остеотомию большеберцовой кости через зону ложного сустава с формированием несвободного костно-надкостнично-мышечного лоскута (см. схему) с последующей коррекцией деформаций АВФ. Выполнение вмешательства спустя не менее 1 года после перенесенного воспалительного процесса. Позже постараюсь выложить Р-граммы результатов лечения подобных больных.
С уважением...
|
[
Ответить ]
|
Re: Ложный сустав большеберцовой кости
Отправитель: erokhin alexandr 11 Апрель 2014, 22:55
|
Я тоже за аппарат.
Только зачем остеотомировать большеберцовую кость? Зачем создавать лоскуты? Вроде автор про очаги остеомиелита ничего не писал. Разве потихоньку дистракцией не получится,тем более,что и деформация то не такая большая?
|
[
Ответить ]
|
Re: Ложный сустав большеберцовой кости
Отправитель: Эдгар 12 Апрель 2014, 21:04
|
Понятие "не такой большой деформации" относительно. Если есть уверенность в том, что коррекция будет полной и чрескостные элементы АВФ выдержут, то безусловно остеотомия ББК будет лишней.
|
[
Ответить ]
|
Re: Ложный сустав большеберцовой кости
Отправитель: Alexander Chelnokov 12 Апрель 2014, 00:10
|
При тугом ложном суставе прекрасно срастется при закрытой коррекции оси и длины большеберцовой кости дистракцией, ее не надо остеотомировать, достаточно малоберцовую.
|
[
Ответить ]
|
Re: Ложный сустав большеберцовой кости
Отправитель: Абдурашид 12 Апрель 2014, 18:21
|
Спасибо, уважаемые коллеги, да, будем производить закрытую коррекцию аппаратом Илизарова после остеотомии м/б кости, скоро должны приехать на госпитализацию, и буду доложить о результатах.
С уважением Абдурашид.
|
[
Ответить ]
|
Re: Ложный сустав большеберцовой кости
Отправитель: Абдурашид 12 Апрель 2014, 23:54
|
Да, коллеги, а дистракцию дать как при удлинение кости или есть какие-то ньюансы?
С уважением Абдурашид.
|
[
Ответить ]
|
|
( Ответить )
|
|