Ответить
|
Re: Изготовление гвоздя с цементом
Илья 15 Апрель 2014, 07:14
|
Вот видео:
https://www.youtube.com/watch?v=b__YF6pwb9I
|
[
Ответить ]
|
Re: Изготовление гвоздя с цементом
Отправитель: Сергей 15 Апрель 2014, 22:39
|

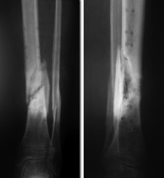
Спасибо,наглядно. Коллеги поделитесь,возможно сделать подобное шприцем Жане и можно в нем же замешать все компоненты сразу? какой цемент в данном случае лучше? Bvttncz СEMFIX1. Добавляю снимки пациентки. Понимаю, в рамках созданной темы это уже другой вопрос, но выскажите мнение по поводу установки такого гвоздя в данном случае. Свищи почти закрылись на фоне местного лечения. Гвоздь хотим поставить на фоне резко негативного отношения пациентки к АВФ
|
[
Ответить ]
|
|
Re: Изготовление гвоздя с цементом
Сергей Рыжиков 15 Апрель 2014, 12:55
|
Только используйте силиконовую трубку, а не ПВХ. ПВХ не снимете с цемента.
|
[
Ответить ]
|
Re: Изготовление гвоздя с цементом
Alexander 16 Апрель 2014, 00:02
|
Извините, Сергей, а остеонекрэктомию очага собираетесь делать?
|
[
Ответить ]
|
Re: Изготовление гвоздя с цементом
Отправитель: Сергей 16 Апрель 2014, 06:21
|
Сначала думали об онэ. Потом решили не делать.
|
[
Ответить ]
|
|
Re: Изготовление гвоздя с цементом
Alexander 20 Апрель 2014, 13:34
|
Ждем результата, заранее благодарен.
|
[
Ответить ]
|
Re: Изготовление гвоздя с цементом
Отправитель: Сергей 21 Апрель 2014, 19:34
|
Больная раздумывает. Боли прошли и она не хочет оперироваться. Хочет походить в голенном ортезе, который где то в инете вычитала. Мы пока от нее и исходим. Да и больница пока нам не купила Ванкомицин с Тобрамицином. Если надумает оперироваться результатами поделюсь.
|
[
Ответить ]
|
|
Re: Изготовление гвоздя с цементом
maxim agalakov 23 Апрель 2014, 18:59
|
Что толку совать гвоздь с аб в мертвую кость и очаг воспаления, получите остеомиелит канальный. Обработка очага, возможно с masqulet , затем bone transport, a потом и о гаозде можно подумать. Подобный случай показывал доктор Кульджанов ( за что ему опчть, конечно же спасибо). У нас гнойные хирурги рримерно так делают, только без спейсеров. Если получают проблему docking site - на штифтование. Здесь проблема не в изготовлении гвоздя.
|
[
Ответить ]
|
Re: Изготовление гвоздя с цементом
Отправитель: Сергей 25 Апрель 2014, 16:24
|
Спасибо. Больная отказалась от оперативного лечения. Еще раз спасибо за обсуждение.
|
[
Ответить ]
|
|
( Ответить )
|