вверх
отправить
поиск
админ
главная
|
Состояние после опорной остеотомии бедра |
 |
 |
 |
Отправлено Игорь 22 Апрель 2014, 01:16
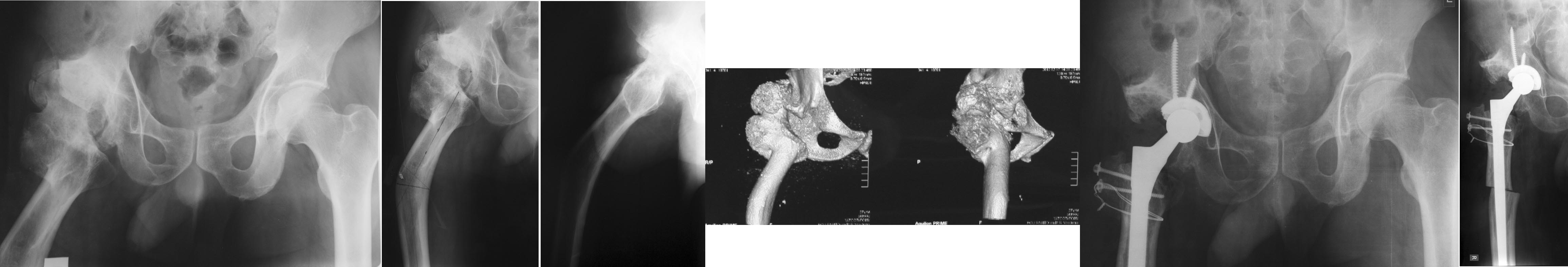
Пациентка 41 год, нормального телосложения, правосторонний диспластический коксартроз Crowe IV состояние после опорной остеотомии по Илизарову более 20-ти лет назад. Жалобы на боль в паху, пояснице, ограничение движений, хромоту. Относительное укорочение правой н.к. 2-3 см. Абсолютное периудлинение правого бедра 5-6 см (по данным КТ). Планируем укорачивающую резекцию бедра с транспозицией большого вертела. В литературе широко описаны аналогичные случаи эндопротезирования после остеотомии по Schanz, однако в отличие от Илизаровской остеотомии, без абсолютного переудлинения бедра и без деформаций канала на уровне с/3 диафиза. Ув. коллеги кто сталкивался с подобными случаями? Будем рады техническим и тактическим советам.
<
|
>
|
|
Ответить
|
Re: Состояние после опорной остеотомии бедра
Rashid M. Tikhilov 23 Апрель 2014, 10:37
|
Уважаемый Игорь, ситуация непростая, и мы с ней сталкиваемся часто, к сожалению. Чашку целесообразно устновить в анатомическую позицию, потребуется двойная остеотомия бедра на уровне деформаций с установкой конической ножки Вагнера, проксимальный отдел с ягодичными мышцами лучше фиксировать сбоку, как по методике Paavilainen'a, таким образом Вы сможете избежать удлинения. Но.... Скорее всего нужен будет Вагнер не конический, а ревизионный с большим оффсетом, а это уже проблема при закрытии раны.... Поэтому надо очень тщательно спланировать все эти шаги. Любой другой вариант может не позволить исправить все деформации либо не обеспечит должной стабильности.
Всегда рад ответить если будут вопросы,
с уважением, Р.Тихилов
|
[
Ответить ]
|
Re: Состояние после опорной остеотомии бедра
Отправитель: Игорь 24 Апрель 2014, 21:48
|
Уважаемый Рашид Муртузалиевич большое спасибо за ответ, мы, конечно же, учтем Ваши советы. Осталось непонятным, по какой причине может потребоваться латерализованная версия бедренного компонента? На первый взгляд кажется, что большой офсет создаст сложности при вправлении. Связанно ли это с латерализованным положением большого вертела, вероятным импиджментом или есть какая то иная причина?
К сожалению у нас в наличии нет ножек Вагнера. Поэтому в отделении при тяжелых дисплазиях мы выполняли укорачивающую резекцию бедра на ножке цваймюллера. Нельзя ли в этом случае попытаться обойтись другой системой, например, Solution?
И к какой вероятной кровопотере готовится? Будем очень благодарны за Ваши ответы.
|
[
Ответить ]
|
|
Re: Состояние после опорной остеотомии бедра
Rashid M. Tikhilov 28 Апрель 2014, 09:03
|

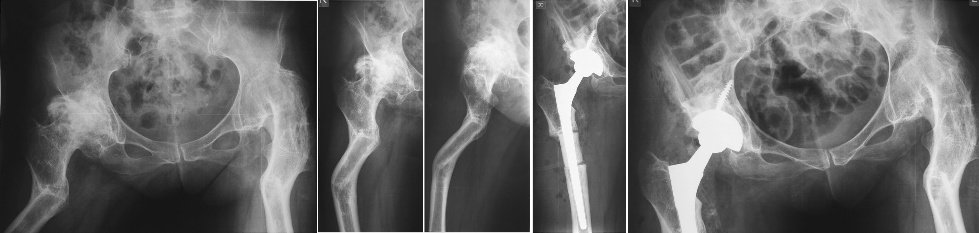
Игорь, на представленных Р-граммах два наблюдения с несколько разным подходом к фиксации большого вертела. В Вашем случае ближе второй вариант, чем-то напоминающий технику Paavilainen'a.
Если будут вопросы, с удовольствием готов ответить
С ув. Р. Тихилов
|
[
Ответить ]
|
Re: Состояние после опорной остеотомии бедра
Отправитель: Игорь 01 Май 2014, 18:50
|

Уважаемый Рашид Муртузалиевич, спасибо за ответы. Вот, что у нас получилось. Большой вертел удалось прификсировать без значительных трудностей (имеется ввиду без большого релиза), однако, по задней поверхности бедра. Почему фиксация по наружной предпочтительнее, ведь и в норме б/вертел несколько смещен кзади? Извините за качество снимка. Позже постараюсь выложить другие.
|
[
Ответить ]
|
|
( Ответить )
|
|