Ответить
|
Re: Перелом пилона. Реконструкция или артродез?
Анатолий 16 Май 2014, 10:23
|
У меня лежит еще страшнее ). Пока на вытяжении из-за фликтен. Планируеться открытая репозицию, мос чем-нибудь(видно будет), в дефект углеродный имплантант или аутокость+ аппарат Илизарова для разгрузки
|
[
Ответить ]
|
Re: Перелом пилона. Реконструкция или артродез?
Отправитель: Иван 17 Май 2014, 01:34
|
Ну, у Вас видимо лежит свежее повреждение, раз флектены... А здесь речь идет о сильно не свежем случае
|
[
Ответить ]
|
Re: Перелом пилона. Реконструкция или артродез?
Отправитель: Олег Шепета 17 Май 2014, 16:27
|
Есть огромная разница между лечением свежего случая и последствий неправильно-сросшегося перелома
|
[
Ответить ]
|
|
Re: Перелом пилона. Реконструкция или артродез?
Борис 16 Май 2014, 11:16
|
Уважаемый Денис, для высказывания мотивированного мнения хотелось бы увидеть рентгенограммы в боковой проекции. Конечно если это возможно.
С уважением,
Хачатурян Борис, м.н.с. НИИ СП им. Н.В.Склифосовского
|
[
Ответить ]
|
Re: Перелом пилона. Реконструкция или артродез?
Олег Шепета 16 Май 2014, 11:41
|
Я бы предпочел артродез. Сустава нет - он практически разрушен из-за нарушенной биомеханики нагрузки
Только при операции обязательно вывести таран с уходом от патологического варуса стопы в целом...
Удачи
|
[
Ответить ]
|
Re: Перелом пилона. Реконструкция или артродез?
Иван 16 Май 2014, 18:56
|
Неплохо бы увидеть не только боковую пороекцию, а так же первичные снимки и снимки после операции?
Вопрос: причины такого положения дел в суставе на настоящий момент?
|
[
Ответить ]
|
Re: Перелом пилона. Реконструкция или артродез?
Михаил Астафичев 17 Май 2014, 01:21
|
Вторую проекцию, пожалуйста.А по приведённому снимку, скорее это перелом лодыжек, а не пилона(вторая проекция нужна!!!), медиальная лодыжка--вертикальный перелом силами сдвига и импрессионный перелом в медиальном отделе дист. большеберцовой кости. В этой ситуации я предпочёл бы корригирующую остеотомию, если состояние мягких тканей удовлетворительное с фиксацией пластиной ,LCP "лист клевера", например
|
[
Ответить ]
|
Re: Перелом пилона. Реконструкция или артродез?
Отправитель: Олег Шепета 17 Май 2014, 16:26
|
По мне это так же последствия не перелома пилона, а лодыжечного перелома
Корригирующая остеотомия была бы логична на более ранних сроках, думаю что сейчас основная причина нарушения функции - болевой синдром, связанный с прогрессированием артроза таранно-большеберцового сустава, поэтому после остеотомии ось восстановиться, а вот функция???
|
[
Ответить ]
|
Re: Перелом пилона. Реконструкция или артродез?
Отправитель: Михаил Астафичев 18 Май 2014, 13:29
|
Артродез всё-таки я бы предложил после корригирующей остеотомии, как последнее средство
|
[
Ответить ]
|
Re: Перелом пилона. Реконструкция или артродез?
Отправитель: Денис Магсумов 18 Май 2014, 14:07
|
Я тоже сначала хотел бы побороться за сустав. Во - первых, мужчина один зарабатывает деньги для семьи трудом. Во-вторых, по данным КТ он еще не успел совсем убить сустав.
|
[
Ответить ]
|
|
Re: Перелом пилона. Реконструкция или артродез?
Андрей Зубенко 18 Май 2014, 00:08
|
Здравствуйте!
Сложно дать ответ на основании одного снимка в прямой проекции. Ждем КТ. При сохранном суставе остеотомия большеберцовой кости в месте деформации с дозированной коррекцией варусной деформации по Илизарову и формированием регенерата. При отсутсвии конгруентности суставной поверхности большеберцовой кости - артродез.
|
[
Ответить ]
|
Re: Перелом пилона. Реконструкция или артродез?
Денис Магсумов 18 Май 2014, 00:54
|

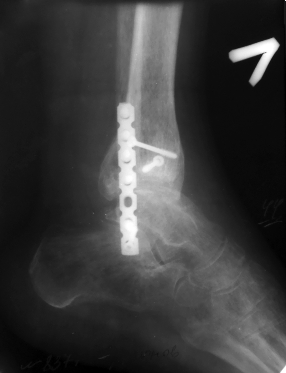
В приложении рентгенограмма первичная. После чего стала ясна сомнительность перелома пилона))) Перелом лодыжек с импрессией суставной поверхности большеберцовой кости в области внутренней лодыжки. На выполненном вчера КТ голеностопного сустава: в просвете сустава определяется клиновидной формы фрагмент костной плотности размером до 13,5х3,5 мм, находящийся в задне-латеральных отделах сустава.
|
[
Ответить ]
|
Re: Перелом пилона. Реконструкция или артродез?
Денис Магсумов 18 Май 2014, 00:56
|

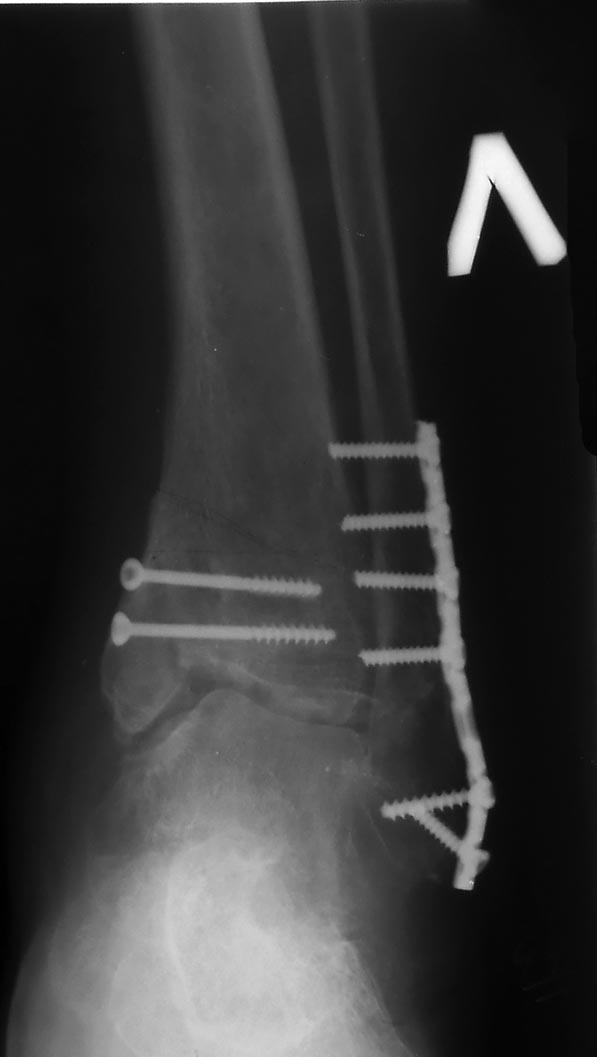
Боковая проекция. Боковой проекции первичных рентгенограмм нет, утеряны больным.
|
[
Ответить ]
|
( Ответить )
|