Ответить
|
Re: Hallux valgus- выбор тактики
Бережной Сергей 25 Май 2014, 19:37
|
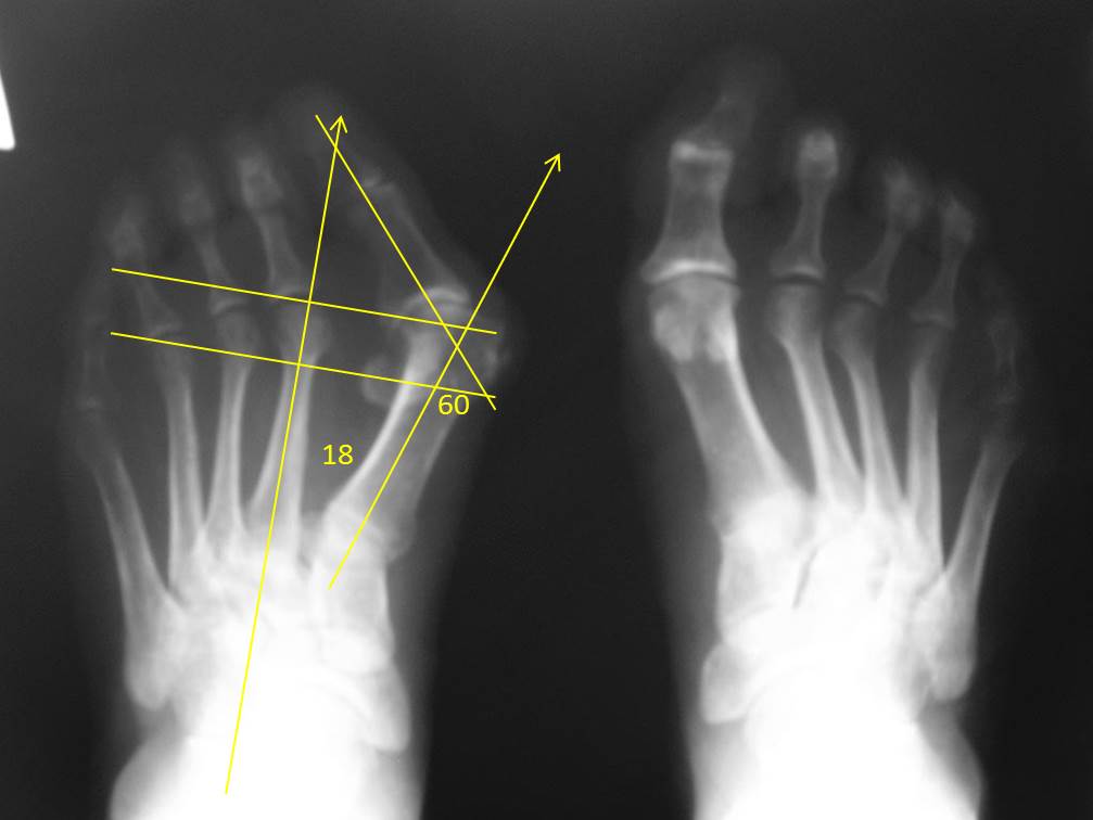
Уважаемый Александр. А как звучит диагноз того состояния, которое Вы планируете оперировать? Ведь это важно - сформулировать для себя полный диагноз. Возможно он и тактику лечения подскажет. И каковы жалобы пациентки? Вы говорите "Первый палец довольно ригиден в своей установке". В каком суставе ригиден и в каком направлении движений? Ограничена подвижность в 1 плюснефаланговом суставе или плюснеклиновидном? Натоптыши на подошве под головками отдельных плюсневых костей или один большой натоптыш? Если несколько, то где они расположены? Z-образная остеотомия это scarf? А под поперечной что подразумевается? И что значит формирование свода? Вы хотите сблизить между собой головки плюсневых костей с помощью стяжки? Но 2-4 плюсневые и так, судя по снимку, параллельны друг другу. А положение первой плюсневой Вы планируете изменить с помощью остеотомии. Тогда в чем задача стяжки и как она будет решена? В принципе, на рентгенограмме стандартная деформация, при которой, как правило, выполняются корригирующая остеотомия первой плюсневой тем способом, которым Вы владеете, и остеотомия основания основной фаланги первого пальца по Akin. Можно, конечно, и резекцию основания сделать. Но зачем, если можно сохранить сустав? И, вероятнее всего, нужно выполнить остеотомию 2-4 плюсневых костей по Вейль или подобную. Остеотомию по Вейль можно фиксировать или обойтись без фиксации. Это определяется Вашими предпочтениями. Оперировать ли пятую плюсневую зависит от того, имеются ли симптомы болезни портных и есть ли боль и натоптыш под ее головкой? И еще Вы должны определить для себя, укорачивать ли первую плюсневую кость и вообще первый луч. Судя по снимку, длина первой и второй плюсневых совпадает и речь идет о египетском типе стопы. В этом случае укорочение первой плюсневой необходимо, наряду с укорочением 2-4. Но все-таки, тип стопы в большей степени определяется клинически, а фотографии стоп Вы не прислали.
|
[
Ответить ]
|
Re: Hallux valgus- выбор тактики
Отправитель: Савранский Александр 26 Май 2014, 02:55
|
Спасибо за развернутый ответ! Насчет фото- попробую сделать. Натоптыш большой в районе 1 плюсневой. Насчет формулировки полного диагноза, если можно подскажите, как по Вашему он должен звучать. Об укорочении плюсневых честно говоря не думал. Ригидность 1 плюсне-фалангового сустава, 1 палец не выводится в правильное положение. Ригидность в плюсне-клиновидном суставе выражена меньше. По поводу стяжки- в ряде случаев применяли с хорошим результатом, хотя деформации были чуть поменьше- ближе к тому,как выглядит правая стопа на снимке. Технически доступны все варианты.Хотелось бы тем не менее до операции сформировать определенный алгоритм действий.
|
[
Ответить ]
|
Re: Hallux valgus- выбор тактики
Отправитель: Бережной Сергей 27 Май 2014, 00:45
|

Насчет "Как по-моему должен звучать диагноз" - явная переоценка возможностей. По одному снимку ведь невозможно определить, есть ли молоткообразная деформация средних пальцев? Отклонение кнаружи 2-3 пальцев является самостоятельной деформацией или это следствие давления на них первого пальца и при прекращении давления они самостоятельно становятся на место? Ясно одно - имеется выраженная (грубая) вальгусная деформация первого пальца. Обо всех остальных компонентах деформации судить по одной рентгенограмме невзможно. Если натоптышей под головками центральных плюсневых костей нет, можно их не трогать. Все-таки по снимку имеется значительное преобладание длины первой над длинами латеральных плюсневых костей. Я сделал разметку на рентгенограмме и это сразу стало хорошо видно: перпендикуляр к оси 2 плюсневой, проведенный через латеральную сесамовидную кость расположен дистальнее середины головки 4 плюсневой (в норме проходит через середину головки), а такой же перпендикуляр, проведенный через верхушку головки второй плюсневой проходит на 2 мм проксимальнее суставного края головки первой плюсневой. В норме - первая плюсневая равна или короче второй. Так что, наиболее вероятный план - остеотомия первой плюсневой и основной фаланги первого пальца. С укорочением первой плюсневой до 2-3 мм.
|
[
Ответить ]
|
Re: Hallux valgus- выбор тактики
Отправитель: Савранский Александр 27 Май 2014, 10:23
|
еще раз рассмотрел стопу, все же натоптыши есть и под головками плюсневых 2-5. Если делать остеотомию 2-4 по Вейль, то насколько придется укоротить 1 плюсенвую? Учитывая натоптыш снизу и сбоку в проекции 5 плюсневой трогать ли ее? Спасибо за рисунок и подробную раскладку.
|
[
Ответить ]
|
Re: Hallux valgus- выбор тактики
Отправитель: Виталий Епишин 03 Июнь 2014, 21:47
|

Здравствуйте, Сергей. Помогите, пожалуйста в такой проблеме. У меня была пациентка 27-и лет с диагнозом: Поперечное плоскостопие. Вальгусное отклонение 1-го пальца правой стопы 3-й степени. Угол М1Р1 47 гр, М1М2 17 гр, PASA 25 гр. Выполнена корригирующая операция по Логрошино. Ось 1-го луча восстановлена. После операции М1Р1 12 гр, М1М2 9 гр, PASA 6 гр. Хотя 1-й палец стал ровным, пациентка жалуется на большое расстояние между 1-м и 2-м пальцем. Стопа стала как "рогатка". Подскажите, в чем была моя ошибка?
С уважением, Епишин Виталий
|
[
Ответить ]
|
Re: Hallux valgus- выбор тактики
Отправитель: Савранский Александр 04 Июнь 2014, 16:19
|
Желательно глянуть на снимки до операции. Из того, что заметно по снимку- 1 плюсневая значительно длиннее 2 плюсневой, возможно стоило ее укоротить. Еще иногда чрезмерно натягивают медиальный лоскут капсулы при ее подшивании. 2 палец тоже в неправильном положении, остеотомия головки 2 плюсневой + тенотомия разгибателя поможет это исправить.
|
[
Ответить ]
|
Re: Hallux valgus- выбор тактики
Отправитель: Бережной Сергей 06 Июнь 2014, 00:50
|
Снимок сделан в нестандартной проекции и не дает достаточного представления о ситуации. Одна из вероятных причин - то, что до операции 2-й палец был отклонен кнаружи параллельно первому. Деформацию первого устранили, а второй остался на месте. Вот и расстояние. Я если вижу, что формируется большой промежуток, делаю остеотомию основания основной фаланги второго пальца и отклоняю его к первому, фиксируя повязкой.
|
[
Ответить ]
|
Re: Hallux valgus- выбор тактики
Отправитель: александр омск 05 Июль 2014, 11:43
|
шикарный комментарий, сразу захотелось к вам на учебу
|
[
Ответить ]
|
Re: Hallux valgus- выбор тактики
Отправитель: Бережной Сергей 27 Май 2014, 09:21
|
Судя по фотографии, к тому, что было понятно по рентгенограмме, можно добавить молоткообразную деформацию 2 (3-4?) пальцев.
|
[
Ответить ]
|
Re: Hallux valgus- выбор тактики
Отправитель: Савранский Александр 27 Май 2014, 23:15
|
по-видимому, предоперационный план вырисовывается такой- scarf с укорочением 1 плюсневой на 2-3мм, остеотомия основания основной фаланги первого пальца по Akin, остеотомия 2-4 плюсневых по Вейль. Остается вопрос по молоткообразной деформации, она в основном выражена во 2 пальце- стоит ли ее корригировать и каким способом. Еще хотелось бы уточнить какие винты Вы используете. Спасибо.
|
[
Ответить ]
|
Re: Hallux valgus- выбор тактики
Отправитель: Бережной Сергей 30 Май 2014, 22:32
|
Не заметил сразу этих вопросов. Я все деформации оперирую чрескожно. И на подобную операцию использовал бы только один винт для фиксации фрагментов 1 плюсневой. Диаметром 3 мм, бесшляпочный, канюлированный. Из тех, что зовут винтами Герберта или Барука. А молоткообразную деформацию устранял бы пересечением основной фаланги 2 пальца и удлинением сухожилий разгибателей путем пересечения их на уровне головки 2 плюсневой без повреждения межсухожильных растяжений (это проще всего сделать через прокол кожи).
|
[
Ответить ]
|
Re: Hallux valgus- выбор тактики
Отправитель: Савранский Александр 31 Май 2014, 13:44
|
Спасибо за ответ! в стандартной методике scarf используют 2 винта, Вы делаете укороченную остеотомию или шевронную? Остеотомии 2-5 плюсневых я понимаю Вы не фиксируете? и еще вопрос- делаете ли дополнительный опил после остеотомии по Вейль, чтобы избежать плантаризации головок?
|
[
Ответить ]
|
Re: Hallux valgus- выбор тактики
Отправитель: Бережной Сергей 01 Июнь 2014, 00:35
|
Только что защитил докторскую. Она в свободном доступе на http://www.mma.ru/articles/154796/. Посмотрите, там как раз все, что я делаю, наглядно показано.
|
[
Ответить ]
|
Re: Hallux valgus- выбор тактики
Отправитель: Александр Жужнев 02 Июнь 2014, 02:43
|
Большое спасибо за ссылку на текст выполненной работы, много интересного и практически полезного.С уважением А.Жужнев
|
[
Ответить ]
|
Re: Hallux valgus- выбор тактики
Отправитель: Савранский Александр 02 Июнь 2014, 03:11
|
Зачитался диссертацией- круто! Начинаю склоняться к артродезу ПКС :) Поздравляю с защитой!
|
[
Ответить ]
|
Re: Hallux valgus- выбор тактики
Отправитель: Бережной Сергей 02 Июнь 2014, 20:25
|
На первой плюсневой делайте то, чем лучше владеете. Диафиз достаточно толстый. Здесь даже шевронной остеотомии будет достаточно. В крайнем случае - длинной шевронной. Менее травматично. И нагрузку после операции можно давать намного спокойнее.
|
[
Ответить ]
|
Re: Hallux valgus- выбор тактики
Отправитель: Бережной Сергей 27 Май 2014, 21:22
|
Если натоптыш есть под М5, нужно оперировать и ее. Иначе высока вероятность переходной под ее головку метатарзалгии. Укорочение первой плюсневой, на мой взгляд, можно планировать до 3 мм. Но при этом постараться избежать плантаризации ее головки.
|
[
Ответить ]
|
|
Re: Hallux valgus- выбор тактики
Бойченко Антон 25 Май 2014, 20:13
|
По своей концепции scarf - суставосохраняющая остеотомия, поэтому не вижу показаний к Брандесу(Келлеру). Не очень понял про аллотрансплантат - вы планируете делать стяжку? По идее Weil 2-3(4?) будет достаточно. Первый палец должен "выводиться" - межплюсневый угол не очень большой, однако потребуется значимое укорочение 1 луча (на вскидку около 8-10 мм - но посчитайте по Рг сами).
|
[
Ответить ]
|
Re: Hallux valgus- выбор тактики
Мустаев Урал 25 Май 2014, 20:24
|
Здравствуйте, мое мнение, после проведения Z-образной остеотомии 1 плюсневой кости, если 1 палец "не выводится"резекцию делать не стоит, а выполнить остеотомию Akin основной фаланги.
|
[
Ответить ]
|
Re: Hallux valgus- выбор тактики
A.Liberson 27 Май 2014, 18:17
|
Dear Alexsandr,
Providing there is a rigidus, the women is young, I would fuse her with a dorsal plate. A large IMA could be fixed with a proximal osteotomy . In my cases than you bring her to congruity if the range of movement improves you might leave her with a joint ,possibly extension osteotomy at the
level of Akin. You should also deal with pronation in the same time and might improve the toe Valgus. I fix it with a Barouk screw . Be sure that the a flexor and extensor tendi are under and over the ray. I excise the bunion and shorten as needed. If you spare the MPJ the paroxymal osteotomy may be changed to LAPIDUS and the correction made by joint resection. Be sure to plantar flex the first ray. In case the lateral rays appear too long
shorten them with Weil. Be sure the rays 2,3,4 do not go down. At whole you need good screws.
Good luck.
A.L.
|
[
Ответить ]
|
Re: Hallux valgus- выбор тактики
Отправитель: Gurgen 12 Июль 2014, 20:28
|
Two thumbs up, Dr.Liberson!
|
[
Ответить ]
|
|
( Ответить )
|
|