Ответить
|
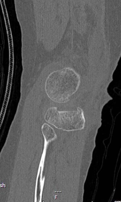
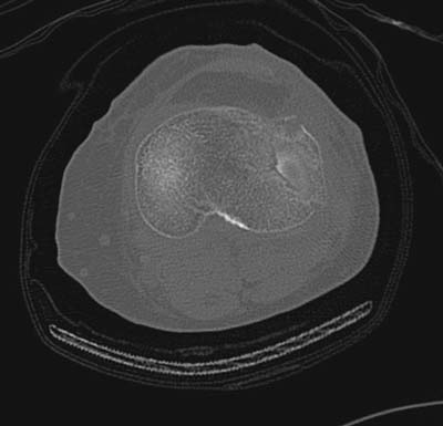
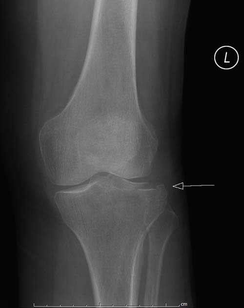
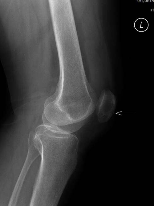
Re: Импрессионный перелом латерального мыщелка левой большеберцевой кости.
Антон Бехтерев 29 Май 2014, 21:00
|

Если следовать принципу "контрактура спасет от боли", можно и загипсовать. Я бы препочел под контролем глаза через контралатеральное окно имппктором выдавить суставную площадку на место. Заполнить образовавшийся канал спонгиозным или искусственным графтом. Для опоры субхондрально провести два 3,5 мм винта.
С уважением, Бехтерев Антон.
|
[
Ответить ]
|
Re: Импрессионный перелом латерального мыщелка левой большеберцевой кости.
Отправитель: Ю.В. 30 Май 2014, 19:16
|
Большое спасибо Антон за ответ.
|
[
Ответить ]
|
|
Re: Импрессионный перелом латерального мыщелка левой большеберцевой кости.
Суворов МС 30 Май 2014, 23:13
|
Устранение импрессии, костная аутопластика, остеосинтез опорной пластиной
|
[
Ответить ]
|
Re: Импрессионный перелом латерального мыщелка левой большеберцевой кости.
maxim agalakov 02 Июнь 2014, 18:51
|
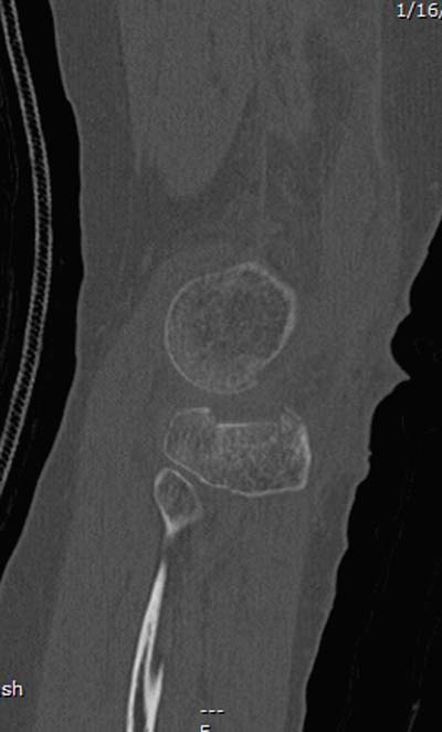
оперировать вероятнее всего надо, импрессия приличная , думаю около 1,5 см, только вот она в задних отделах, преимущественно. Если ставить опорную пластину, то делать это нужно сзади, иначе никакой опорности, а задний котртекс по КТ похоже замят
|
[
Ответить ]
|
Re: Импрессионный перелом латерального мыщелка левой большеберцевой кости.
Отправитель: Лубнин Алексей 05 Июнь 2014, 07:46
|
задний кортекс не повреждён. Подойдёт рафтинговая пластина.
|
[
Ответить ]
|
|
Re: Импрессионный перелом латерального мыщелка левой большеберцевой кости.
Лубнин Алексей 05 Июнь 2014, 07:44
|
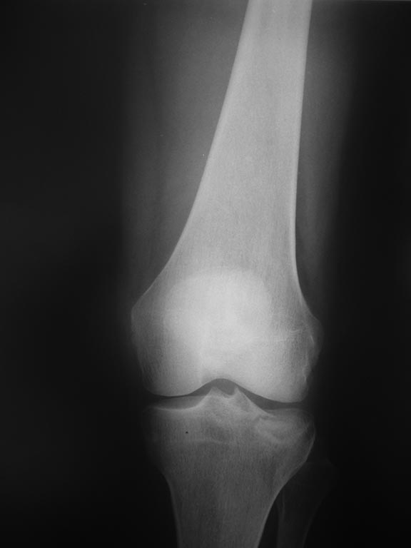
Учитывая, что у пациента молодой возраст(судя по рентгенограммам,абсолютно показано восстановление суставной линии: подменисковый доступ,подъём импренированной части мыщелка, костная аутопластика, остеосинтез, решение вопроса с мениском (шов либо парциальная резекция)).
|
[
Ответить ]
|
Re: Импрессионный перелом латерального мыщелка левой большеберцевой кости.
Djoldas Kuldjanov, M.D. 06 Июнь 2014, 02:57
|
Как подсказывают, можно с противоположной стороны приподнять сустав и заполнить костный дефект. Параллельные винты создадут достаточную опору, но иногда buttress plate за счет диафиза создает дополнительную стабильность. Структуральный материал для профилактики от раннего коллапса, и пластическим материалом служит более твердый синтетический материал (Osteoset DBM) или аутокость.
Для лечения некоторых видов центральной импрессии (Schatzker III) можно применить методику Balloon tibioplasty, которая позволяет приподнять сустав без дополнительных доступов. Для информации здесь недавний пример, дефект заполнен жидкой формой композитного материала PRO-DENSE: http://www.wmt.com/prodense/product_overview.asp
Djoldas Kuldjanov, M.D.
Department of Orthopedic Surgery
St. Louis University

|
[
Ответить ]
|
( Ответить )
|