AOTRAUMA.ORG Центр Илизарова  

Ортопедия и травматология Общие вопросы/General questions Help Информационные технологии в медицине
 вверх
 отправить
 поиск
 админ
 главная


Остеомиелит после БИОС
Ортопедия и травматология Отправлено Михаил 29 Май 2014, 22:20
Доброго времени суток, уважаемые коллеги! Прошу помощи сообщества.
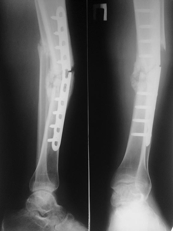
Пациент 26 лет. Травма в сентябре 2013 года в результате ДТП (сбит машиной)- закрытый перелом обеих костей правой голени. Операция в соседней ЦРБ- открытая репозиция, остеосинтез блокируемой пластиной (первичные и послеоперационные снимки утрачены). Предписанный режим не соблюдал. Обратился к нам в октябре по поводу поломки фиксатора (снимок 1). Выполнено 31.10.13: удаление металлоконструкций, БИОС неканюлированным штифтом DC с рассверливанием. П/операционный период гладкий. В январе обратился по поводу возникновения болей в месте перелома, отека, появления свища на внутренней поверхности голени. 23.01.14- ревизия свища, секвестрэктомия (множество мелких секвестров в мягких тканях вокруг мозоли). В дальнейшем рана велась при помощи VAC, зажила без осложнений. Около месяца назад вновь появились боли в области формирующейся мозоли, во втянутом рубце сформировался свищ, через который эвакуировалось несколько мелких секвестров. В настоящий момент свищ закрылся, боли несколько уменьшились. В анализах- СОЭ-16 мм/час, СРБ-28, лейкоциты крови- 6,4. Последние снимки и КТ представлены. Вопрос банален- что делать дальше? Большого опыта в лечении такой патологии не имеем. Спасибо всем откликнувшимся.P.S. За качество снимков прошу прощения (снимал на телефон).

<  |  >

 

  • Сообщения о Ортопедия и травматология
  • Также Михаил
  • Связаться с автором
  • Ответить

    Re: Остеомиелит после БИОС
    Олег Шепета 30 Май 2014, 12:54
    Наверное делать так, как в большинстве случаев такого рода
    На фоне обострения (если таковые будут повторяться) посеять флору, определить чувствительность к антибиотику, удалить-рассверлить-поставить спейсер
    Хотя, очевидно, есть и другие варианты
    Пусть выскажуться более опытные коллеги
    [ Ответить ]

    • Re: Остеомиелит после БИОС
      Отправитель: Татьяна 19 Август 2014, 16:09
      Доброго времени суток!

      Хотим поделиться информацией о спейсерах: в Харькове расположено официальное представительство итальянской компании Tecres, которая является пионером и лидером рынка готовых серийных спейсеров различных типоразмеров из костного цемента, как с гентамицином, так и с гентамицином и ванкомицином: http://tecres.com.ua/ru/speysery .
      За год работы в Украине уже можем говорить о более 20 установленных спейсеров с отличными результатами (Харьков, Киев, Симферополь...).
      Всегда рады общению!
      С уважением!


      [ Ответить ]
    Re: Остеомиелит после БИОС
    Алексей Гринь 31 Май 2014, 15:45
    На рентгенограммах с гвоздем иммется диастаз м/у отломками б/берцовой кости, сращения м/берцовой кости похоже так же нет. Поэтому в первую очередь необходимо выполнить динамизацию. В противном случае в скором времени можно ожидать обострения воспалительного процесса, более того Вы получите как минимум перелом блокирующмх винтов, а может и самого гвоздя.
    Если же воспаление продолжится, то тактика установки штифта с антибактериальным покрытием мне кажется подзодящей.
    [ Ответить ]


    ( Ответить )

    Powered by Zope  Squishdot Powered MedLink
    Посетитель: 0386330
      "По форме правильно, а по существу - издевательство" В.И.Ленин
    ©2001-2019Orthoforum Coordinator.
    [ Главная | Отправить сообщение | Поиск | Админ ]