AOTRAUMA.ORG Центр Илизарова  

Ортопедия и травматология Общие вопросы/General questions Help Информационные технологии в медицине
 вверх
 отправить
 поиск
 админ
 главная


Стопа - последствия травмы
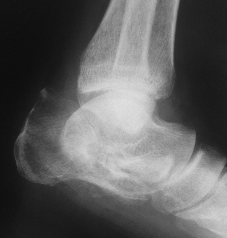
Ортопедия и травматология Отправлено Георгий 02 Июнь 2014, 10:09
Уважаемые коллеги, помогите с тактикой лечения
Поступил пациент 1947 г.р. Травма в январе 2014. Лечение консервативное - правая голень 1,5 месяца на ССВ, затем циркулярная гипсовая повязка; гипсовая лонгета на пятку, репозиции не было.Планируем оперировать,помогите с тактикой

<  |  >

 

  • Сообщения о Ортопедия и травматология
  • Также Георгий
  • Связаться с автором
  • Ответить

    Re: Стопа - последствия травмы
    Бережной Сергей 03 Июнь 2014, 22:10
    Судя по снимку, пятка срослась и анкилоз в подтаранном суставе состоялся. Про жалобы и локальный статус Вы ничего не пишете. А если ориентироваться только на снимок, то со стопой делать сейчас ничего не нужно. Когда начнет наступать на нее можно будет подобрать комфортную (ортопедическую?) обувь и, вероятно, индивидуальную стельку. Или подпяточник. А на голени перелом позволяет применить любой способ фиксации на Ваше усмотрение. Опять же, с учетом локального статуса (качество кожного покрова, гнется ли колено и т.д.)
    [ Ответить ]

    Re: Стопа - последствия травмы
    Василий 03 Июнь 2014, 23:34
    Для определения тактики необходимо больше информации.
    Переломы на одной конечности?
    Состояние мягких тканей?
    Какие виды синтеза доступны?
    [ Ответить ]

    Re: Стопа - последствия травмы
    Георгий 04 Июнь 2014, 17:14
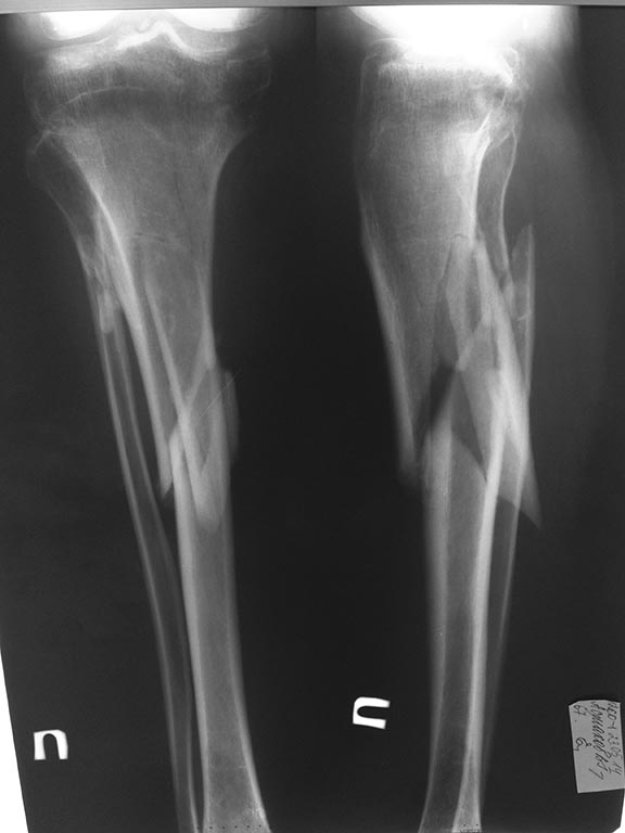
    голень сломана справа, а пятка слева. пациент ходит на костылях с опорой на левую ногу, правая в циркулярной гипсовой повязке. активных жалоб не предъявляет. доступны и пластины и гвозди
    [ Ответить ]

    • Re: Стопа - последствия травмы
      Отправитель: Василий 06 Июнь 2014, 02:10
      Для голени наверное наиболее оптимален БИОС. Перелом медиального мыщелка я бы не трогал.
      С пяткой можно не спешить до сращения голени.


      [ Ответить ]
    Re: Стопа - последствия травмы
    Денис Магсумов 04 Июнь 2014, 18:40
    Там еще мыщелок медиальный сломан... А по стопе неплохо бы КТ. Лучше бы с 3D моделированием.
    [ Ответить ]

    Re: Стопа - последствия травмы
    maxim agalakov 05 Июнь 2014, 01:03
    Если вопрос касается стопы, то можно подождать, пятка неплохо компенсируется, возможно ничего делать и не придется. А голень оперируйте тем, чем лучше владеете, только не забудьте малоберцовую кость пересечь, она скорее всего срослась и помешает репозиции
    [ Ответить ]

    Re: Стопа - последствия травмы
    Лубнин Алексей 05 Июнь 2014, 07:51
    Полагаю,необходимо проводить коррегирующий пяточно - таранный артродез для восстановления пяточно - таранных взаимоотношений, в случае, если позволяет состояние мягких тканей. В случае с голенью целесообразен БИОС пластиной с подъёмом импренированной части мыщелка.
    [ Ответить ]

    Re: Стопа - последствия травмы
    Евгений Данилов ГБ38 05 Июнь 2014, 18:37
    Думаю, что на фоне перелома костей голени в проксимальной и средней трети перелом пяточной кости на данный момент меркнет. Корригирующую остеотомию можно и отложить и вернуться после лечения перелома голени - восстановление оси, длины и ротации в аппарате с последующей сменой фиксатора на внутри костный, дообследование мыщелков большеберцовой кости, их синтез. А пятка в конце этого пути.
    [ Ответить ]

    Re: Стопа - последствия травмы
    Иван Кравченко. Киржачская ЦРБ. 13 Июнь 2014, 11:32
    Всем добрый день. я предлагаю провести КТ голени, возможно с методом фиксации что-то измениться.
    с уважением.
    [ Ответить ]


    ( Ответить )

    Powered by Zope  Squishdot Powered MedLink
    Посетитель: 0391943
      "По форме правильно, а по существу - издевательство" В.И.Ленин
    ©2001-2019Orthoforum Coordinator.
    [ Главная | Отправить сообщение | Поиск | Админ ]