вверх
отправить
поиск
админ
главная
|
Артроскопический остеосинтез таранной кости |
 |
 |
 |
Отправлено WWW.INFOTRAVMA.RU 11 Июнь 2014, 02:52
Коллеги! Делюсь первым опытом такой операции Два месяца назад потупил пациент с оскольчатым переломом таранной кости, после ДТП. При поступлении налажено скелетное вытяжение. Ниже рентгенограммы при поступлении

Вопрос стоял об открытой операции с остеотомией наружной лодыжки, но решили попробовать артроскопию.
Доступ стандартный задний. Сначала визуализированы задний отдел голеностопного и подтаранного суставов, удалены осколки. Далее под контролем ЭОПа проведена направляющая спица, высверлен канал и вкручен спонгиозный винт.
Видео операции
Качество видео крайне плохое, за что извиняюсь, в этой операционной просто нет записывающего устройства, и сняли с монитора.
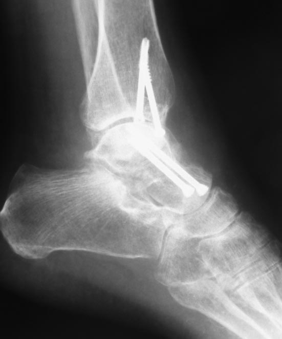
Рентгенограммы после операции
После операции месяц находился в гипсе, ниже рентгенограммы через месяц
Имеются явные признаки консолидации, гипс снят. По-моему прикольно, вместо такой большой операции все делать артроскопически. При этом кровоснабжение таранной кости не нарушается, риск асептического некроза минимизируется.
<
|
>
|
|
Ответить
|
Re: Артроскопический остеосинтез таранной кости
Maxim Agalakov 11 Июнь 2014, 10:33
|
К сожалению, получилось "не читал, но осуждаю" - не открылась ссылка на работе. А в чем смысл принципиально такой операции? Если вы владеете доступами то открыто репозицию легче достичь, если повреждение предрасполагает к некрозу - скопия не решит проблем.
|
[
Ответить ]
|
Re: Артроскопический остеосинтез таранной кости
Артак 11 Июнь 2014, 15:24
|
Тут все преимущества малоинвазивной операции: 1) вместо больших разрезов имеются 2 прокола ; 2) при открытом варианте нужна остеотомия наружной лодыжки с последующим остеосинтезом, что уже травматично; 3) на счет асептического некроза с Вами не соглашусь, тут мы не трогали сосуды, поэтому риск значительно меньше ; 4) на счет репозиции - не уверен, что при открытой операции было бы лучше ; 5) и наконец- тут операция длилась ровно 40 мин, при открытой точно за такое время не справились бы. Как- то так));
|
[
Ответить ]
|
Re: Артроскопический остеосинтез таранной кости
Бережной Сергей 12 Июнь 2014, 01:10
|
Операция ради того чтобы артроскопическим способом ввести винт в не репонированные отломки? Репозиции ведь никакой нет. Похоже и подвывих сохраняется.
|
[
Ответить ]
|
Re: Артроскопический остеосинтез таранной кости
Отправитель: Артак 12 Июнь 2014, 02:27
|
Если Вы видели снимки до и после операции, то должны были заметить разницу. А собирать такой оскольчатый перелом идеально по-моему не очень легко даже при открытой операции. Подвывиха там нет!
|
[
Ответить ]
|
Re: Артроскопический остеосинтез таранной кости
Отправитель: Бережной Сергей 12 Июнь 2014, 14:22
|
-А собирать такой оскольчатый перелом идеально по-моему не очень легко даже при открытой операции.
Но это не значит, что собирать не нужно.
-Подвывиха там нет!

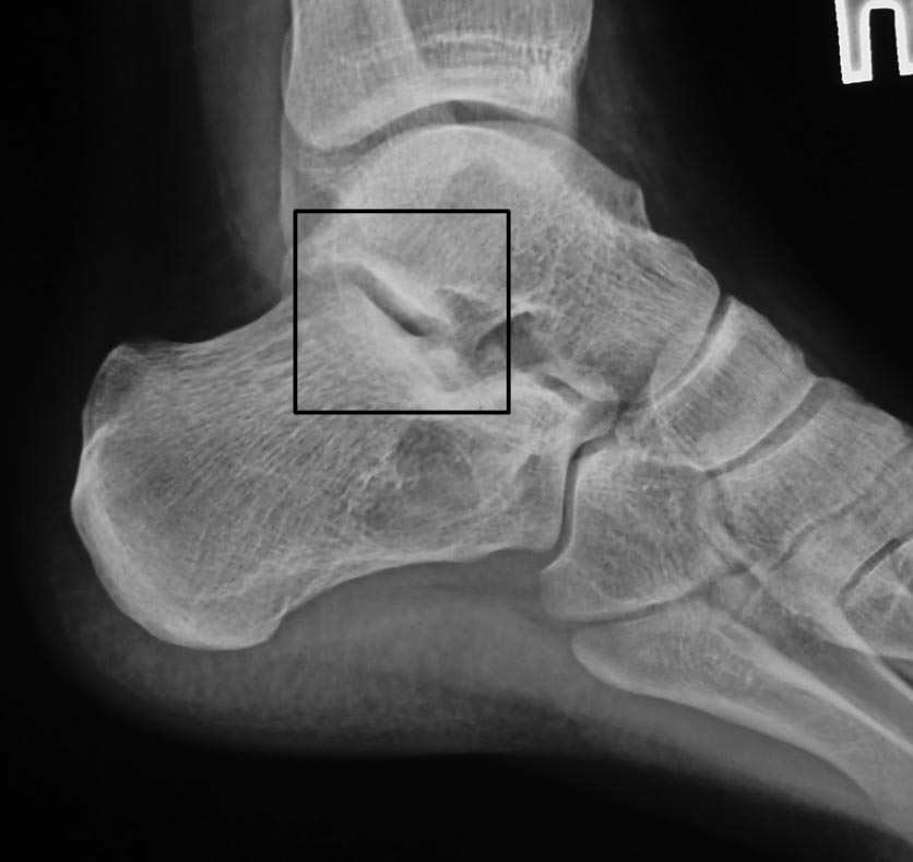
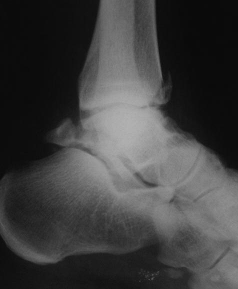
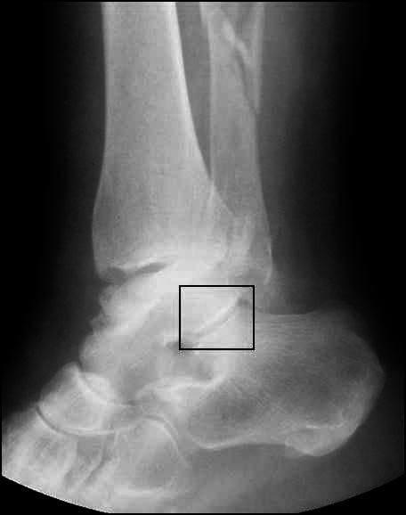
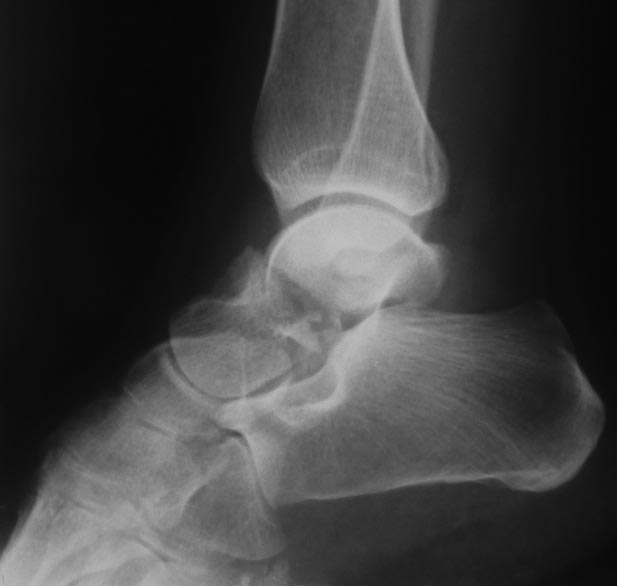
Во вложении всего два примера нормальных взаимоотношений в подтаранном суставе. Постарался подобрать похожие на Вашу проекции. На всех снимках выделена область, где суставные поверхности таранной и пяточной костей всегда должны быть параллельны. В Вашем случае эти линии пересекаются. Подвывих очевиден.
|
[
Ответить ]
|
Re: Артроскопический остеосинтез таранной кости
Отправитель: Артак 12 Июнь 2014, 17:41
|
Тут наслоение из-за не очень правильной проекции, я попробую вывести эти проекции и отправить снимки. На счет репозиции - если у Вас есть опыт остеосинтеза таких переломов , то отправьте пожалуйста, посмотрим. У нас опыт на самом деле есть и открытых операций, и репонировать идеально, даже при большом желании , просто технически невозможно, ввиду анатомических особенностей этой области. Если у Вас есть результаты , покажите пожалуйста.
|
[
Ответить ]
|
Re: Артроскопический остеосинтез таранной кости
Отправитель: Андрей 12 Июнь 2014, 22:24
|
Сразу скажу, что опыт в лечении переломов данной локализации не очень большой, но у меня тоже возникли вопросы в плане репозиции перелома. Не вижу разницы между снимком на вытяжении и послеоперационным (за исключением наличия винта). Было ли КТ до операции?
|
[
Ответить ]
|
Re: Артроскопический остеосинтез таранной кости
Отправитель: Артак 13 Июнь 2014, 05:40
|
Посмотрите снимки еще раз, пожалуйста . На прямой проекции имеется " ступенька", которая устранена. На боковой проекции до операции имеется диастаз, и винтом дана компрессия. Также удалены осколки из заднего отдела, которые при сращении давали бы проблемы в этом отделе .
И у меня вопрос: как бы Вы поступили в этой ситуации для лучшей репозиции и стабилизации? Опыт каких операций есть у Вас?
|
[
Ответить ]
|
Re: Артроскопический остеосинтез таранной кости
Отправитель: Alexander Chelnokov 13 Июнь 2014, 12:06
|
Дорогой Артак. Спасибо за интересное наблюдение.
Поскольку про переломы тараной кости подробно написано во всех современных книжках, например, в Роквуде, Браунере... В сети полно материалов, например, см. эту статью... То не видно большого смысла спрашивать у участвующих в обсуждении, какой опыт есть еще и у них.
Непохоже, что артроскопия в этом случае решила все проблемы. Это перелом типа Hawkins II. Основной проблемой является нарушение кровоснабжения блока из-за повреждения сосудов в области шейки тарана. Для уменьшения риска аваскулярного некроза (20-50% при Hawkins II) считается важным выполнить anatomic reduction и фиксацию в первые 6-8 часов.
Доступ обычно передне-медиальный, остеотомия наружной лодыжки тут незачем. Скорее бывает нужна внутренней.
Артроскопия, наверно, может пригодиться при осмотре суставной поверхности и удалении мелких фрагментов, но при доступе сзади осмотреть область шейки тарана?
|
[
Ответить ]
|
Re: Артроскопический остеосинтез таранной кости
Отправитель: Артак 13 Июнь 2014, 13:33
|
Спасибо, Александр!
На счет доступа- у нас в отделении были проведены такие операции и с внутреннего доступа , и с наружного. Но снаружи нам показалось поудобнее, и в последние годы мы шли таким путем( это касается не только переломов, но и при всяких операций на подтаранном суставе и пяточно- таранного блока). И на самом деле, по результатам, никогда не получается добиваться идеальной репозиции, тем более при таких оскольчатых переломах- то есть, все ,к чему добивались при открытых операциях, тут достигнуто артроскопически. На счет шейки - тут на самом деле планируется артроскопия переднего отдела сустава, по сращению перелома, тогда можно будет делать удаление остеофитов, санировать передний отдел сустава.
На счет опыта коллег- если у них есть результаты получше, пусть показывают, почему нет)); спасибо!
|
[
Ответить ]
|
Re: Артроскопический остеосинтез таранной кости
Отправитель: Alexander Chelnokov 15 Июнь 2014, 11:48
|
>снаружи нам показалось поудобнее
Диагностика и оперативное лечение при переломах таранной кости проработаны за многие годы очень основательно. Во всех руководствах представлены и доступы, и критерии успешности репозиции. Игнорировать это и основываться лишь на местном опыте как-то несерьезно. И вряд ли разумно.
А в этом случае основной проблемой, скорее всего, станет аваскулярный некроз блока. Нарушения взаимоотношений в таранно-пяточном суставе перестанут играть роль после артродеза.
|
[
Ответить ]
|
Re: Артроскопический остеосинтез таранной кости
Отправитель: Артак 13 Июнь 2014, 05:44
|
Нет, КТ до операции не было.
|
[
Ответить ]
|
Re: Артроскопический остеосинтез таранной кости
Отправитель: Анатолий 16 Июнь 2014, 10:28
|
Полностью согласен!!!
|
[
Ответить ]
|
|
Re: Артроскопический остеосинтез таранной кости
Федя 13 Июнь 2014, 00:06
|
Андрей +1
|
[
Ответить ]
|
Re: Артроскопический остеосинтез таранной кости
Андрей Волна 13 Июнь 2014, 23:07
|
Наверное, нужно стремиться к лучшему. И в репозиции. И в выборе доступа (ов). И в выборе фиксатора. И в послеоперационной реабилитаци. Во всем.
Главное, сделать правильные выводы, а не упорствовать.
Простите.
|
[
Ответить ]
|
Re: Артроскопический остеосинтез таранной кости
Отправитель: Артак 14 Июнь 2014, 14:39
|
Прощаю));
|
[
Ответить ]
|
|
Re: Артроскопический остеосинтез таранной кости
Бережной Сергей 15 Июнь 2014, 03:05
|

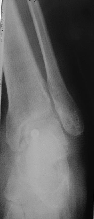
Два дня был без доступа к интернету. Во вложении недавний случай остеосинтеза оскольчатого переломовывиха таранной кости. Методика классическая. С анатомической репозицией и стабильной фиксацией. Без гипса после операции.
|
[
Ответить ]
|
Re: Артроскопический остеосинтез таранной кости
Отправитель: A.Liberson 20 Июнь 2014, 22:45
|
Согласен с Сергеем
фиксировать можно только репонированный перелом. в даном случайе есле не удалось вправить нужно открытся вправить и фексировать. иногда мелкие фрагменты сустава не держуся. но тогда картина будет инная - к сожалению все делается в день поступления для сохранения кровоснабжения. остеотомия одной из лодижак или обеих обычно нужна. я решаю каким или какими подходами идти по фрагментам видным на ст. советую остеотомию с углом для каждой из лодыжек.
могу выложить картинки для этих сложных случаев
A. Liberson
|
[
Ответить ]
|
|
Re: Артроскопический остеосинтез таранной кости
Родион 09 Ноябрь 2015, 13:38
|
наш заведующий говорит: руки отрубить за такие операции.....
|
[
Ответить ]
|
( Ответить )
|
|