Ответить
|
Re: огнестрельные переломы
alexandr erockyin 25 Июль 2014, 22:52
|
Извините,но вопрос как-то сформулирован некорректно. Наверное правильнее спросить "когда" переходить на погружной,а не разделять на "современные" и "несовременные" ( чем внеочаговый метод несовременен??) Да и по характеру огнестрела будет показано применение того или иного метода. Разница между пулевым ранением из винтовки 5,45 с близкого расстояния или травматом короткостволом - тоже огнестрел ведь, огромная.
Собственный опыт где-то 250-300,может и побольше, пострадавших. При массовом поступлении все уходы от принципов ВПХ,поверьте,чреваты.
|
[
Ответить ]
|
Re: огнестрельные переломы
Отправитель: владимир 27 Июль 2014, 14:33
|
Здравствуйте Александр. Спасибо что ответили. Вы абслютно правы в Вышем замечании - мой вопрос связан именно со сроками замены метода с учетом характера ранения и его давности, течения после хирургических обработок.
Я служу в военном госпитале (Киев)где на лечени находится большое количество пациентв с огнестрельными ранениями и переломами.
Как вы правильно сказали - от дактрин ВПХ не отходим. Стадраным является стабилизация АВФ на первом этапе. Далее тактика следующая - после заживления огнестрельной рани отпуск на 30 суток, повторная госпитализация - демонтаж АВФ и еще ждем 10 - 14 дней, после этого погружной остеосинтез.
Поделитесь пожалуйста какие у Вас сроки при замене метода и чем они обоснованы? Может подскажите о научных рабатах посвященных этому вопросу, монографиях и т.д. на конторые Вы опираетесь при выборе тактки лечения.
спасибо.
С уважением Владимир Шипунов.
|
[
Ответить ]
|
Re: огнестрельные переломы
Отправитель: Alexander Chelnokov 28 Июль 2014, 01:17
|
Дорогой Владмир, не с Вами ли уже обсуждали эту тему здесь ?
Месяц отпуска, обусловленный, как я понимаю, организационными особенностями в военном ведомстве, обсуждать нет смысла.
Но при решении о замене (конверсии) аппарата на гвоздь надо ориентироваться не только и не столько на срок пребывания в аппарате, сколько на состояние тканей на момент его снятия. Если явного нагноения нет - нет и смысла ждать 10-14 дней.
И даже если есть какое-то отделяемое, что бывает при фиксации аппаратом много месяцев, то при возможности сегодня сделать гвоздь с антибактериальным цементным покрытием (да и пластину) - это развязывает нам руки для опять одномоментной смены аппарата на имплантат.
Мы свой опыт одномоментной смены аппарата на гвоздь представляли на Евротравме еще 10 лет назад, тогда еще без покрытия. Использовали титановые бесканальные гвозди - уже было неплохо.
|
[
Ответить ]
|
Re: огнестрельные переломы
Отправитель: владимир 29 Июль 2014, 10:09
|
Здравствуйте Александр Николаевич! Спасибо что вспомнили. Знаете мы даём отпуск не столько из организационных особенностей военной системы, а сколько из-за того что боимся "дремлющей инфекции". Почему именно - 1 месяц , а потом 2 недели точно сказать никто не может, так принято и это дает хороший "надежный результат" провереный годами.
К сожалению у нас нет "свежего" не указания, не методического руководства по лечению огнестельных ранений и переломов. Знаиия полученые старшими товарищаим во время учёбы в Питере и лечению больных в период Авганистана лежат в основе принятия решения. И сдвинуть с "мертвой точки" очень сложно.
Поэтому очень интерисуюсь имеется ли "современное" руководство или методические рекомендации которые бы регалментировали тактику ведения больных с огнетсрелными ранеиями и переломами на сегодняшний день.
Спасибо заранее.
С уважением Владимир Шипунов.
|
[
Ответить ]
|
|
Re: огнестрельные переломы
Gurgen 27 Июль 2014, 01:54
|
Совершенно справедливо, Аlexandr!
Для Vladimir-a: по-англицки шпрехаете?
|
[
Ответить ]
|
Re: огнестрельные переломы
Gurgen 27 Июль 2014, 02:17
|
A фамилия-то у Вас оооочень огнестрельная!!! Уж не родственник ли?
|
[
Ответить ]
|
Re: огнестрельные переломы
Отправитель: владимир 27 Июль 2014, 14:45
|
Спасибо за коментарий. К Аркадию Георгиевичу родственного отношения не имею (великий ученый и изобретатель).
Если у Вас есть англоизычная литература посвященная моему вопросу был бы Вам очень признателен.
С уважением Владимир Шипунов.
|
[
Ответить ]
|
|
Re: огнестрельные переломы
Gurgen 28 Июль 2014, 00:01
|
пожалуйте:
http://link.springer.com/article/10.1007%2Fs00068-008-8016-x#page-1
http://www.woundsinternational.com/pdf/content_8827.pdf
https://www.thieme-connect.com/products/ejournals/abstract/10.1055/s-2001-13862
Кстати, месяц назад у нас в Ереване гостил Джолдас Мурадович Кульджанов и выступил с лекцией. Так вот на ней он поделился опитом лечения около 300 огнестрельных ран, многие из них при помощи вакуумирования. Для нас вакуум и огнестрел было новостью! Мой первый же вопрос,а безвоздушная раневая среда, в смысле клостридий? Он ответил - ни разу! Вот так-то....
Djoldas Kuldjanov - один из ведущих персон на форуме, можете и к нему обратится
|
[
Ответить ]
|
Re: огнестрельные переломы
Отправитель: владимир 29 Июль 2014, 10:17
|
Спасибо за ссылки. Если можно поделитесь своим опытом испльзования VAC.
Спасибо.
С уважением Владимир Шипунов
|
[
Ответить ]
|
|
Re: огнестрельные переломы
Djoldas Kuldjanov 28 Июль 2014, 22:17
|
Амбиции политиков выше, чем трагедия людей, и пока военные эскалации между бывшими «братскими республиками» продолжаются, а врачам остается заниматься проблемами огнестрельных ран. Здесь представлен опыт лечения огнестрельных ран в мирное время, которые отличаются от ранении "градом" или после бомбардировок, но от этого принцип лечения огнестрельных ран не меняется.
Лекция неоднократно была представлена на странице Форума и с каждым годом становится более популярной в странах СНГ. Наш принцип лечения отличается от стандартов, принятых ВПМ в странах СНГ - применение пластин и гвоздей в ранний период укорочивает сроки восстановления.
Ежегодно через наше приемное отделение проходит до 300-350 случаев ОСР и из них половина с повреждениями скелета, иногда бывает за день до 5-6 случаев. Тактика не отличается от лечения открытых ран, т.е. раны I и II ст. - фиксация гвоздем или пластиной. Наружный фиксатор при ранах III степени, вакуум и поэтапная окончательная фиксация после разрешения проблемы мягких тканей.
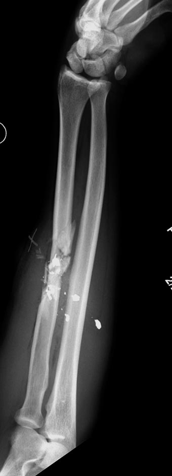
Здесь примеры: двоюродные братья с ранением предплечья, у одного локтевая, а у второго лучевая. В следующее утро локтевая фиксирована без обнажения фокуса травмы из небольших доступов, а второй из обычного волярного доступа. А клинический снимок из прошлых операций...


|
[
Ответить ]
|
Re: огнестрельные переломы
Отправитель: владимир 29 Июль 2014, 10:40
|
Здраствуйте Джолдас Мурадович.Спасибо за Ваш отзыв. Очень хотелось бы ознакомится с лекцией о которой Вы говорите.
И еще вопрос по поводу ваккум асоциированого лечения огнестрельных ран.
Аппараты котрые поступили к нам позвоялют менять уровень давления, периодичность его смены и.т.п.
Как этим всем грамотно пользоваться, какие есть нюансы? Даже за небольшой промежутовк времени в их применении отмечаем хороший результат (при использовании только базовых настроек). Чаще всего применяли при огнесрельных ранениях голеностопного сутава и костей стопы, голень с дефектом мягких такней по пердней поврехности, обширные дефекты мягких тканей бедра.
Заранее спасибо.
С уважением Владимир Шипунов.
|
[
Ответить ]
|
Re: огнестрельные переломы
Отправитель: Gurgen 29 Июль 2014, 11:02
|
Др.Шипунов,
А какие Вас вакуумные аппараты?
|
[
Ответить ]
|
Re: огнестрельные переломы
Отправитель: владимир 29 Июль 2014, 10:41
|
Здраствуйте Джолдас Мурадович.Спасибо за Ваш отзыв. Очень хотелось бы ознакомится с лекцией о которой Вы говорите.
И еще вопрос по поводу ваккум асоциированого лечения огнестрельных ран.
Аппараты котрые поступили к нам позвоялют менять уровень давления, периодичность его смены и.т.п.
Как этим всем грамотно пользоваться, какие есть нюансы? Даже за небольшой промежутовк времени в их применении отмечаем хороший результат (при использовании только базовых настроек). Чаще всего применяли при огнесрельных ранениях голеностопного сутава и костей стопы, голень с дефектом мягких такней по пердней поврехности, обширные дефекты мягких тканей бедра.
Заранее спасибо.
С уважением Владимир Шипунов.
|
[
Ответить ]
|
Re: огнестрельные переломы
Отправитель: Gurgen 29 Июль 2014, 11:23
|
Уважаемый Джолдас Мурадович,
Не затруднит ли Вас указать на ссылку с Вашей лекцией по огнестрельным переломам?
И еще,
Мне трудно понять, почеиу остееомиелит является противопоказанием к вакууимированию?
С уважением,
Гурген
|
[
Ответить ]
|
Re: огнестрельные переломы
Отправитель: Alexander Lerner 29 Июль 2014, 13:34
|
Полностью соглашаясь с представленной тактикой и отличными результатами лечения огнестрельных переломов мирного времени, вызванных в основном короткоствольным оружием с относительно низкой скоростью и энергией (криминальная травма), хочу отметить принципиально иной подход при лечении высоко-энергетичной боевой травмы (огнестрельные ранения от армейского оружия с высокой скоростью полета пули, минно-взрывная травма, осколочные ранения, РПГ, Град...).
Этапный подход основанный на принципах damage control, тщательная радикальная первичная хирургическая обработка с открытым ведением послеоперационной раны и последующим вакуумированием, первичная стабилизация переломов наружными фиксаторами.
В последующем, только после достижения общей и локальной стабилизации пациента, можно перейти к окончательной фиксации переломов (методы внутренней или наружной фиксации), основываясь на состоянии мягких тканей над костными отломками и местом перелома.
Мы успешно используем данную этапную тактику при лечении последствий боевой травмы и лечении жертв террористических атак. В последнее время в плане гуманитарной помощи в нашей больнице прошли лечение около 350 сирийских пациентов - жертв гражданской войны в Сирии. В подавляющем большинстве (более 80 процентов) - ортопедическая травма. Первичная стабилизация аппаратами наружной фиксации у всех пациентов с переломами длинных трубчатых костей (только наружная фиксация!) радикальная ПХО, открытое ведение раны, VAC позволили избежать гнойно- септических осложнений, все пациенты вернулись домой без хронической инфекции и остеомиелита.
Александр Лернер
Зав. Ортопедическим отделением, медицинский центр ЗИВ, Цфат, Израиль
|
[
Ответить ]
|
|
Re: огнестрельные переломы
Djoldas Kuldjanov 30 Июль 2014, 00:43
|
Ссылка на презентацию (ppt, 58 Mb).
|
[
Ответить ]
|
Re: огнестрельные переломы
Gurgen 02 Август 2014, 20:24
|

Статья по теме (pdf, 4,8 Mb)
|
[
Ответить ]
|
Re: огнестрельные переломы
Gurgen 05 Август 2014, 03:12
|
Oчень близко по теме, нашел у себя в архиве
Conversion.htm
109KB (111797 bytes)
|
[
Ответить ]
|
Re: огнестрельные переломы
Gurgen 05 Август 2014, 03:17
|
Вот, нашел великолепную статью у себя. 27-и летней давности! Меняет с ног на голову!
WOUND BALLISTICS.doc
91KB (93184 bytes)
|
[
Ответить ]
|
Re: огнестрельные переломы
Gurgen 05 Август 2014, 03:18
|
Из страны с постоянным военным опытом врачей
Shrapnel.htm
67KB (68784 bytes)
|
[
Ответить ]
|
( Ответить )
|
|