ВХОД ДЛЯ ПАЦИЕНТОВ
вверх
поиск
админ
главная
|
Пателло-феморальный артроз |
 |
 |
 |
Прислано Данила Курышев 22 Июль 2014, 23:01
из Тушинска ДГКБ Москва.
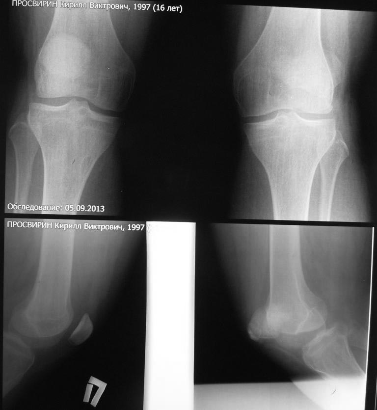
В травматологическом отелеении находится 16 летний юноша с пателло-феморальным артрозом, вторичной деформацией мыщелка бедра и надколенника.
Глубокоуважаемые коллеги!
Просим вас прокомментировать тактику лечения представляемого больного.
Крупный ребёнок 16 лет. Избыточный вес. Не заинтересован в физических нагрузках. Обратился с жалобами на боли в левом коленном суставе при ходьбе. В 2011 году находился на стационарном лечении в нашей кинике по поводу застарелого перелома внутреннего края левого надколенника с разрывом капсулы сустава, хондромаляции наружного мыщелка бедра и гемартроза. За год до госпитализации перенёс двукратный спонтанный вывих левого надколенника. В отделении (март 2011 года) выполнена артроскопия, санация гиалинового хряща наружного мыщелка. Артропластика по Кемпбеллу. Рентгенограммы той поры не сохранились. Через 2 месяца после оперативного лечения ребёнок находился в отделении по поводу послеоперационной-посттравматической разгибательной контрактуры коленного сустава.
После выписки больной исчез из поля зрения. Повторно обратился только в настоящее время.
При осмотре: Походка не изменена. Вальгусная деформация коленных суставов: справа – 12, слева 15. Движения в коленных суставах в полном объёме. Выпот не определяется. Наружная ротация левой стопы 15-20 градусов. Левый надколенник латеролизован. При сгибании левого коленного сустава происходит наружная дислокация надколенника.
Фото больного и результаты рентгенологического обследования прилагаем (будут выкладываться последовательно).
Исходя из жалоб и результатов обследования, нами рассматривается следующий вариант хирургической помощи больному. Надмыщелковая остеотомия бедра, выполнение 15 градусов внутренней ротации дистального сегмента, его варизирующее отклонение на 15 град. до исправления вальгуса (анатомической оси конечности ). Очень сомневаемся в отношении вмешательства на поддерживающем аппарате надколенника. Мнения разделились: сделать латеральный релиз , либо не трогать совсем. Делать ли дупликатуру медиального отдела капсулы?
Вызывает опасения неконгруентность суставной поверхности надколенника. Рассматриваем вариант V-образной остеотомии надколенника. Следует ли «подгонять» такой надколенник по мыщелку или оставить в надежде на постепенную перестройку. Как одна из ожидаемых проблем после выполнения вмешательства – резкое ограничение сгибания, так как в настоящее время надколенник «уезжает» с мыщелка при сгибании – что, скорее всего, вызвало укорочение квадрицепса и собственной связки надколенника. Может ли появиться необходимость вмешательства на собственной связке и бугристости одномоментно?
Больной не настаивает на оперативном лечении. Родители же согласны с необходимостью коррекции. Как один из вариантов – не трогать нам его совсем. Живёт же .
Будем благодарны за соображения, подсказки и опыт похожих ситуаций.
Обратите внимание: Поля с жирными названиями обязательны.
Старайтесь отвечать в рамках обсуждаемой темы, а не начинать новые обсуждения.
Указывайте адекватную тему сообщения, чтобы было ясно, о чем оно.
Не послайте сообщений не по теме (оффтопик), раздраженных, грубых или обидных комментариев. Здесь это неуместно.
|