AOTRAUMA.ORG Центр Илизарова  

Ортопедия и травматология Общие вопросы/General questions Help Информационные технологии в медицине
 вверх
 отправить
 поиск
 админ
 главная


Многооскольчатый перелом бедра
Ортопедия и травматология Отправлено Михаил 23 Июль 2014, 18:34
Доброго времени суток, уважаемые коллеги! Просьба помочь разобраться в следующей ситуации.
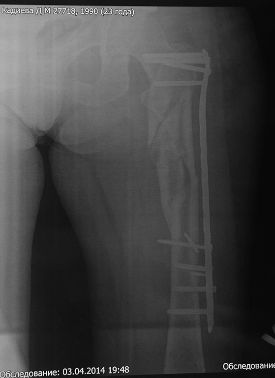
Пациентка К., 23 л., красивая девушка, уроженка одного из удаленных южных регионов России. Травма 31.12.13 в результате ДТП (столкновение а/машин). Находилась на лечении в нашем травматологическом отделении со следующим диагнозом: Сочетанная травма: ОЧМТ: Ушиб головного мозга легкой степени. Перелом передней стенки лобной пазухи со смещением отломков. Перелом латеральной стенки левой орбиты без смещения отломков. Ушибленные раны левого верхнего века. Ушиб левого легкого. Закрытое вертикально-нестабильное повреждение таза: трансфораминальный перелом крестца слева, частичный разрыв левого крестцово-подвздошного сочленения, вертикальный оскольчатый перелом крыла левой подвздошной кости со смещением отломков, поперечный перелом левой вертлужной впадины без смещения отломков. Закрытый многооскольчатый перелом левой бедренной кости в в/3 и с/3 со смещением отломков. Травматический шок II ст. При поступлении (снимок): АВФ типа "передняя рама" на кости таза с блоком на бедренную кость,ПХО ран. Лечение в условиях реанимации. По приказам о травмцентрах таких пациентов мы должныотправлять в травмцентр I уровня (областная больница). Однако с некоторых пор все разговорытам о переводе (стыдно за коллег) начинаются со слов: "А железку он(она) купит?" и озвучивается родственникам сумма с 4-5 нулями. Пациентка и ее родители к состоятельным не относятся. Поэтому дальнейшее лечение проходило у нас. Кости таза фиксированы канюлированными винтами и АВФ. Предполагался БИОС бедренной кости, однако из-за отсутствия в больнице современных имплантов(угадайте с 3-х раз- почему?)и средств у больной был выполнен 22.01.14 малоинвазивный остеосинтез проксимального отдела бедра чем Бог послал (каким-то чудом оказавшаяся у нас дистальная бедренная пластина "Деост", не б/у) (см. снимки)-критика принимается. П/операционный период гладкий. Выписана с рекомендацией начать нагрузку на конечность через 12 недель после операции. Убыла на малую родину. Дальнейшая связь поддерживалась по e-mail. Рекомендации она не соблюдала: нагрузку на ногу начала недели 3 назад. Сейчас беспокоят боли в одноименном коленном суставе, отека нет, болей в месте перелома нет, анализы в норме, незначительное ограничение движений в ТБС. По месту жительства выполнила КТ (снимки и описание в приложении). Местные коллеги утверждают, что необходимо сделать реостеосинтез, но сами не берутся. Вопрос больше от пациентки: "Делать ли повторную операцию сейчас, или некоторое время походить с полной нагрузкой и сделать контроль, а там решать?"

<  |  >

 

  • Сообщения о Ортопедия и травматология
  • Также Михаил
  • Связаться с автором
  • Ответить

    Re: Многооскольчатый перелом бедра
    Савранский Александр 24 Июль 2014, 02:23
    Остеосинтез не идеальный, но допустимый в том плане, если подождать консолидации до года, суставы разрабатывать, а с осевой нагрузкой не спешить. При полной нагрузке сейчас велик риск перелома фиксатора или его миграции.
    [ Ответить ]

    Re: Многооскольчатый перелом бедра
    Данила Курышев 24 Июль 2014, 02:46
    С полной нагрузкой никак нельзя.Чем будет плохо поменить проксимальный бедренный гвоздь? С имплантами сейчас плохо везде... В Москве - точно плохо...
    [ Ответить ]

    Re: Многооскольчатый перелом бедра
    Дедок м 24 Июль 2014, 04:54
    Я бы предпочел кт обычный снимок. Пусть полность наступает и контроль в динамике.
    [ Ответить ]

    • Re: Многооскольчатый перелом бедра
      Отправитель: Михаил 24 Июль 2014, 18:05
      Сам больше при внесуставных переломах обычные снимки предпочитаю. Но сейчас мода такая- чуть что непонятно- сразу КТ, думать никто не хочет. У нас в больнице неврологи даже при остеохондрозе КТ назначают, а в обосновании пишут- "с целью обнаружения грыжи диска", а начальству и рентгенологам пофигу, что аппарат просто так гоняют.

      [ Ответить ]
    Re: Многооскольчатый перелом бедра
    Alexander Chelnokov 25 Июль 2014, 00:57
    Можно и потом, но со сломанными винтами или пластиной это не будет проще, да и чего терять время - его лучше посвятить нормальной жизни. Можем взять к себе по ОМС, то есть платить надо будет ей только за билеты туда-обратно.
    [ Ответить ]

    • Re: Многооскольчатый перелом бедра
      Отправитель: Михаил 25 Июль 2014, 17:51
      Спасибо, Александр Николаевич!Каким образом это организовать?

      [ Ответить ]
      • Re: Многооскольчатый перелом бедра
        Отправитель: Alexander Chelnokov 27 Июль 2014, 00:09
        Напишите мне на alex61[at]gmail.com. Если поедет к нам - надо сообщить, когда прибудет.

        [ Ответить ]
    Re: Многооскольчатый перелом бедра
    Андрей волна 25 Июль 2014, 21:53
    Вполне возможно, что "походит" она еще лет 60-70.
    А уж если оперировать, то действительно, нужно торопиться. Можно и не успеть и даже на КТ появятся признаки сликом выраженной консолидации
    Очень добротная операция.
    [ Ответить ]

    Re: Многооскольчатый перелом бедра
    Зубенко Андрей 26 Июль 2014, 00:29
    Здравствуйте,Михаил! При таком переломе остеосинтез выполнен хорошо. Конечно, учитывая политравму,и тяжесть перелома нет смысла ожидать сращения в обычные сроки.Обнадеживает то, что остеосинтез выполнен малоинвазивно, очень многое зависит от сохранности мягких тканей. Мое мнение (конечно не решающее), что перелом срастется. А вот с нагрузкой надо было поторопится и начинать с первых дней от касательной, до 1/5 от массы тела через 3-4 недели после операции.
    [ Ответить ]

    • Re: Многооскольчатый перелом бедра
      Отправитель: Михаил 26 Июль 2014, 19:21
      Спасибо за отзыв! Раннюю нагрузку не стал рекомендовать из-за несмещенного перелома вертлужной впадины- побоялся, что разъедется.

      [ Ответить ]
    Re: Многооскольчатый перелом бедра
    Андрей 26 Июль 2014, 19:30
    Что здесь хорошего? Репозиции нет, в боковой проекции угловое смещение. Пластина не прилегает к кости, и хотя она блокированная, но посмотрите – внизу пластина держится всего на одном блокирующем винте, два других не состоятельны, так как один недокручен(либо уже вышел из гнезда в пластине из за нестабильности), а другой закручен не перпендикулярно пластине (да и судя по боковой проекции, даже не в своё посадочное гнездо), следовательно, блокировка ненадёжна. Кортикальный (длинный) винт не всчёт, так как не притягивает пластину к кости. Ко всему ещё и два сломанных сверла… Вероятнее всего её ждёт перелом пластины и/или миграция фиксатора. На бедре особенно часто ломают пластины… Кроме блокированного интрамедуллярного остеосинтеза ( оптимальный способ), подошли бы: 1. Открытая репозиция, нормальный остеосинтез этой пластиной. 2. Открытая репозиция, остеосинтез четырёхгранным стержнем ( которых у всех в изобилии), дополненный серкляжной фиксацией отломков.
    [ Ответить ]

    Re: Многооскольчатый перелом бедра
    Зубенко Андрей 26 Июль 2014, 22:40
    Я так понимаю "разрушить до основания, а затем..." Четырехгранный? При таком коротком проксимальном фрагменте??? Еще и серкляжи? Браво! В дистальном стоят 4 винта (хотя согласен, что пластина несколько коротковата). Угловых смещений я на этих снимках не увидел. А "ободрать" кость открытым методом, поимете проблемы. Михаил! Было бы неплохо посмотреть не КТ, а обычные рентгеновские снимки, на них мозоль видна лучше. И если уж переделывать (хотя я своего мнения не меняю), то только малоинвазивно ЗИМО у Александра Николаевича, тем более, что отозвался помочь.
    [ Ответить ]

    Re: Многооскольчатый перелом бедра
    Alexander Chelnokov 27 Июль 2014, 00:24
    Хорошо бы посмотреть свежие рентгеновские снимки. Это же апрельские. Может, действительно уже и так срастается.
    Еще бы сравнительные снимки сделать с захватом 1)тазобедренных и 2)коленных суставов на больших пленках - будет видно и длину, и если что-то не так с ротацией. Таз выровнять, и коленки в одной ротации уложить.
    [ Ответить ]


    ( Ответить )

    Powered by Zope  Squishdot Powered MedLink
    Посетитель: 0000307
      "По форме правильно, а по существу - издевательство" В.И.Ленин
    ©2001-2019Orthoforum Coordinator.
    [ Главная | Отправить сообщение | Поиск | Админ ]