AOTRAUMA.ORG Центр Илизарова  

Ортопедия и травматология Общие вопросы/General questions Help Информационные технологии в медицине
 вверх
 отправить
 поиск
 админ
 главная


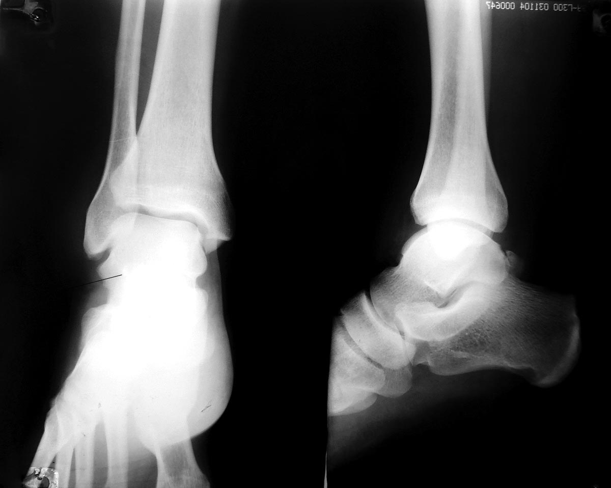
Перелом бугорка таранной кости
Ортопедия и травматология Отправлено Денис Магсумов 28 Июль 2014, 00:33
Уважаемые Коллеги! Хотелось бы узнать Вашу тактику лечения при переломах бугорка таранной кости.
Обратился больной 36 лет, мужчина. Оступился на паребрике. Беспокоит боль в области голеностопного сустава, хромота. По рентгенограмме - перелом одного из бугорков. То, что латеральный выявлено в ходе выполненного КТ (к сожалению, визуальных результатов на руках нет). На сравнительной рентгенограмме неповрежденной стопы "os trigonum" не выявлено. В нашем учреждении мнения разделились: одни выступают за консервативное лечение, другие - за оперативное (удаление, если нет возможности фиксировать винтом типа Герберта)...

<  |  >

 

  • Сообщения о Ортопедия и травматология
  • Также Денис Магсумов
  • Связаться с автором
  • Ответить

    Re: Перелом бугорка таранной кости
    Gurgen 28 Июль 2014, 01:01
    Рентгены и КТ выложите, пожалуйста!
    [ Ответить ]

    Re: Перелом бугорка таранной кости
    Дедок М 28 Июль 2014, 01:40
    А травма когда?!
    На снимках ничего не видно.

    Если свежая трамва, то " The Time is the best doctor"
    [ Ответить ]

    Re: Перелом бугорка таранной кости
    Andrey Sereda 28 Июль 2014, 16:37
    На этих снимках видно только os trigonum, которая может дебютировать болезненностью после травмы. Сейчас покой, обувь с каблуком 4-5 см.
    Если боль сохранится больше 1-,1.5 месяцев - эксцизия кости. Я сторонник открытой операции, но тут на форуме проскальзывала и артроскопическая методика. Я ее не очень понимаю.
    [ Ответить ]

    Re: Перелом бугорка таранной кости
    Бережной Сергей 31 Июль 2014, 01:35
    Вообще то похоже на перелом. Было бы неплохо увидеть и здоровую стопу и КТ. Если это перелом, то остеосинтез, при такой большой площади контакта отломков, может оказаться менее травматичной и не более сложной, чем удаление бугорка, операцией.
    [ Ответить ]

    Re: Перелом бугорка таранной кости
    Gurgen 02 Август 2014, 20:25
    Я думаю - пока не трогать
    [ Ответить ]

    Re: Перелом бугорка таранной кости
    ИнфоТравма 09 Август 2014, 19:08
    Денис, почитайте, может быть полезно : http://blog.infotravma.ru/kollegi-predstavlyayu-vashemu-vnimayu-sovmestnuyu-statyu-s-tamoevym-s-k-ispolzovanie-artroskopicheskogo-metoda-v-lechenii-sindroma-trexgrannoj-kosti-os-trigonum/
    [ Ответить ]


    ( Ответить )

    Powered by Zope  Squishdot Powered MedLink
    Посетитель: 0000269
      "По форме правильно, а по существу - издевательство" В.И.Ленин
    ©2001-2019Orthoforum Coordinator.
    [ Главная | Отправить сообщение | Поиск | Админ ]