AOTRAUMA.ORG Центр Илизарова  

Ортопедия и травматология Общие вопросы/General questions Help Информационные технологии в медицине
 вверх
 отправить
 поиск
 админ
 главная


Кальцинирующий тендинит
Ортопедия и травматология Отправлено Куликов Иван 20 Август 2014, 20:16 Симферополь
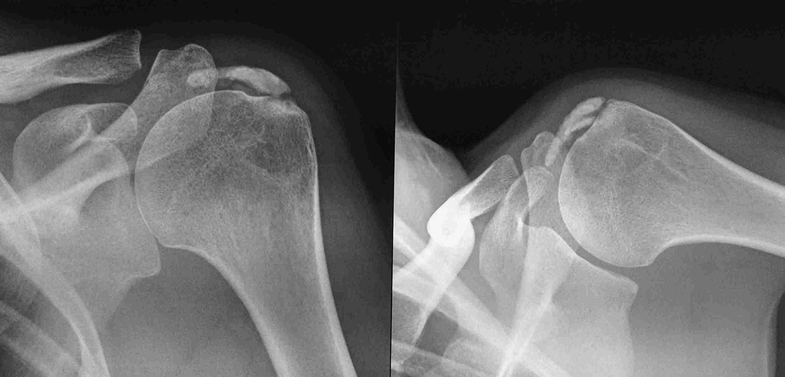
Здравствуйте уважаемые коллеги. вот возник вопрос. больная Е 36 лет кальцинирующий тендинит с обеих сторон ( на рентгенограммах одна сторона). плотность по КТ 1400.
 
несмотря на это перед тем как идти на артроскопическое удаление депозита произведена попытка размыть физраствором. вот что и получилось. объем движений в суставе полностью восстановлен " на столе" через место депозита 2000 мл раствора. клинический результат понравился. и вот вопрос будет ли дальше нравиться клинический результат, в смысле какова вероятность рецидива при данной технологии. ведь остатки депозита в ротаторной манжете. нигде не нашел результатов после артроскопии, там тоже остаются какие-то элементы кальцинатов манжеты? PS пациентка полностью обследована системной патологии не выявлено.

<  |  >

 

  • Сообщения о Ортопедия и травматология
  • Также Куликов Иван
  • Связаться с автором
  • Ответить

    Re: Кальцинирующий тендинит
    Андрей Пересада 21 Август 2014, 14:13
    Вероятность рецидива неопределенная, но пока он не наступил (а наступит ли?) и ничего не беспокоит я бы ничего не трогал, смысла в этом нет. Оставшиеся отложения могут резорбироваться и произойдет выздоровление. При отсутствии признаков ипинджмента и тендинита лезть и ковырять сухожилие- не лучшее решение.
    [ Ответить ]

    Re: Кальцинирующий тендинит
    Кондырев Николай 22 Август 2014, 00:46
    Замечательный результат. Дальше кальцинаты нарастать не должны, т.к. этот процесс всегда ограничен во времени ( от 1 до 2 лет, потом регресс). Я бы добавил проводниковые надключичные новокаиновые(лидокаиновые) блокады для улучшения кровотока по плече-лопаточному кругу(без адреналина!!!). 4-5 блокад с интервалом в 1-2 дня. Остальная часть кальцинатов должна рассосаться. Если сами проводниковой техникой не владеете - привлекайте друзей анестезиологов.
    [ Ответить ]

    Re: Кальцинирующий тендинит
    Олег Шепета 20 Январь 2015, 02:30
    Можно подробнее узнать о технике "размывания" кальцификата?
    [ Ответить ]


    ( Ответить )

    Powered by Zope  Squishdot Powered MedLink
    Посетитель: 0000297
      "По форме правильно, а по существу - издевательство" В.И.Ленин
    ©2001-2019Orthoforum Coordinator.
    [ Главная | Отправить сообщение | Поиск | Админ ]