вверх
отправить
поиск
админ
главная
|
Остеосинтез tibia стержнем 2,5 мес., свищи |
 |
 |
 |
Отправлено Григорий Карапетян 11 Сентябрь 2014, 01:08
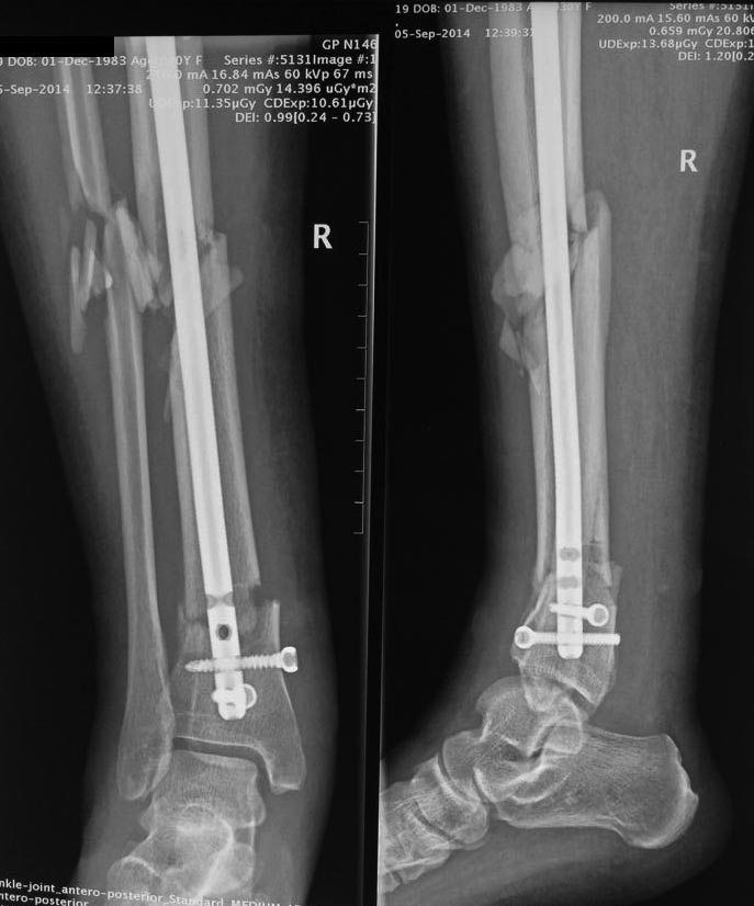
Что посоветуете, друзья. Оперировалась 2,5 мес назад, в одной из московских клиник, при ранней активизации через 1,5 мес появилась такая деформация, плюс имеются в области нижней трети голени свищи с незначительным отделяемым
<
|
>
|
|
Ответить
|
Re: Остеосинтез tibia стержнем 2,5 мес., свищи
Alexander Chelnokov 11 Сентябрь 2014, 01:17
|
Надо удалять стержень, и далее аппаратом одномоментно исправлять, и либо им же фиксировать (конечно, для окончательной фиксации аппаратом - надо спицы 4 с упорами встречно на разных уровнях в дистальном отломке), либо гвоздь с цементом использовать. Но если делать гвоздь - то уже более грамотно, с хорошим восстановлением оси. И с помощью отклоняющих спиц не дать гвоздю попасть в старый канал.
|
[
Ответить ]
|
Re: Остеосинтез tibia стержнем 2,5 мес., свищи
Отправитель: Данила Курышев 11 Сентябрь 2014, 02:56
|
осторожно так джойстиком бы помочь при перштифтовывании
|
[
Ответить ]
|
|
Re: Остеосинтез tibia стержнем 2,5 мес., свищи
Odessky Jacob M.D. 12 Сентябрь 2014, 15:36
|
Здравствуйте, коллеги! Насколько я понимаю, у пациента инфицированный перелом! На снимках видно остеолизис вокруг дистальных замыкающих шурупов! На мой взгляд, небходимо удалить гвоздь, произвести некректомию и наложить аппарат Илизарова. Интересно посмотреть первичные снимки! С Уважением!
|
[
Ответить ]
|
( Ответить )
|
|