вверх
отправить
поиск
админ
главная
|
голень, ложный сустав, гвоздь. |
 |
 |
 |
Отправлено Денис Магданов 15 Сентябрь 2014, 22:10
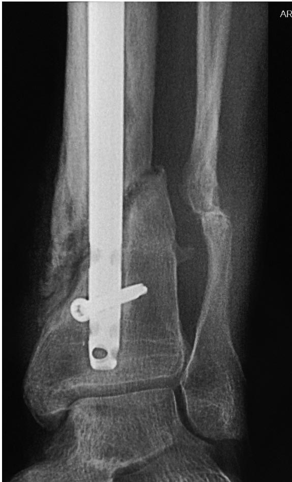
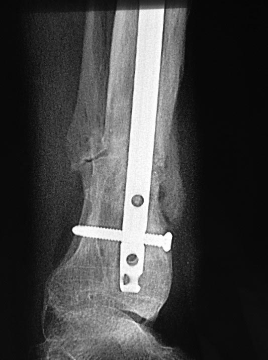
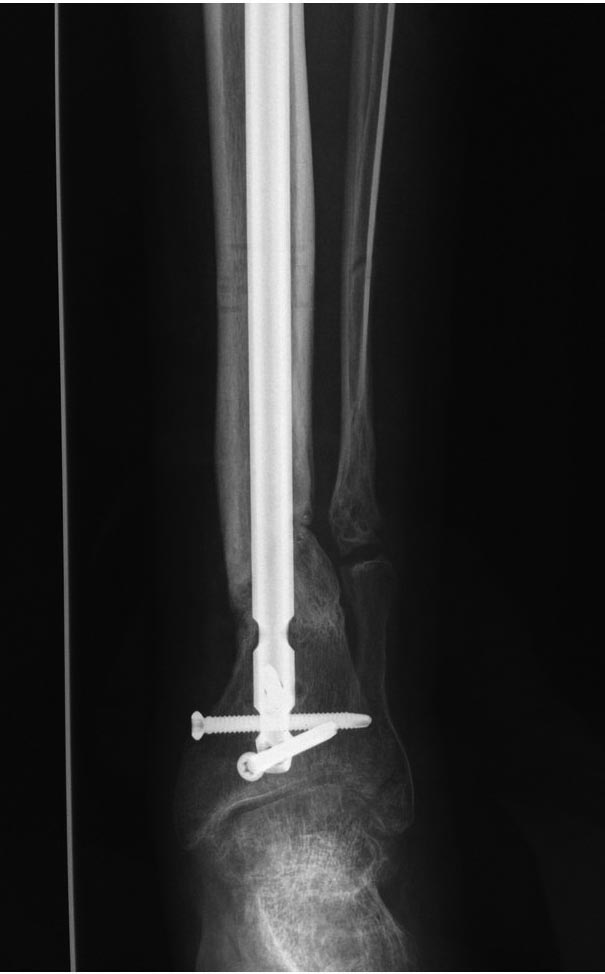
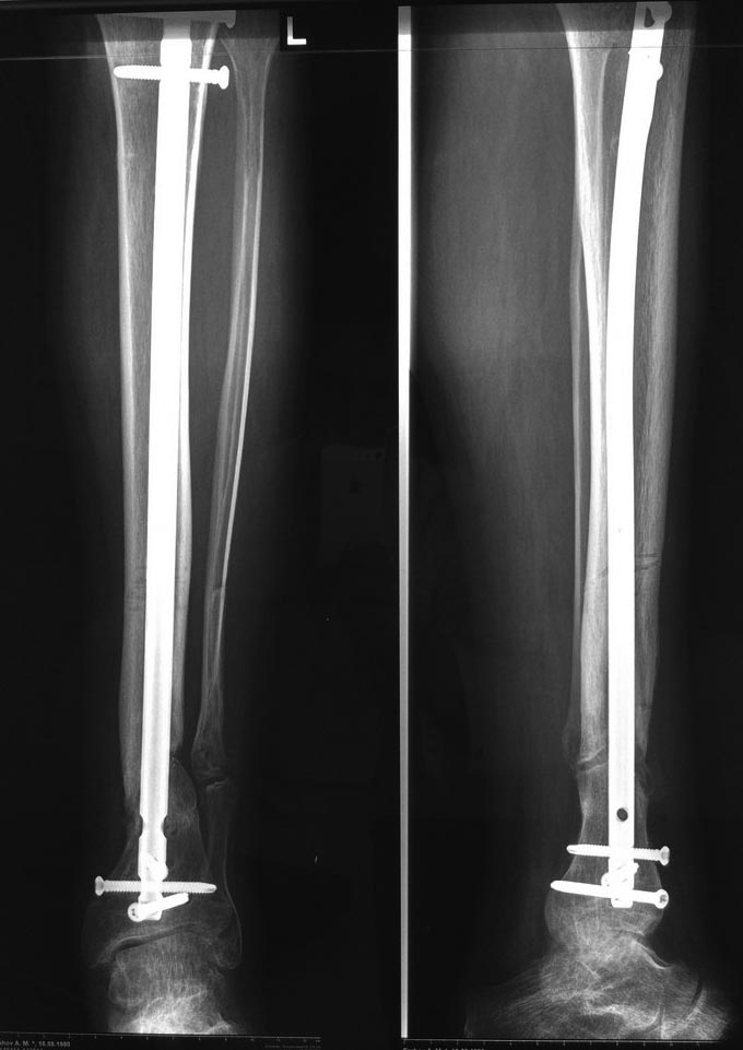
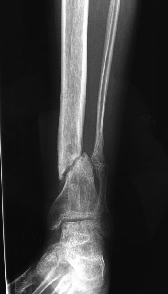
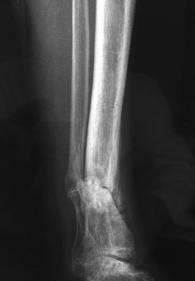
Уважаемые коллеги выразите Ваше мнение по следующему случаю.Молодой человек, 27 лет, находится на лечении с диагнозом: Ложный сустав большеберцовой кости в нижней трети, фиксированный интрамедуллярным блокированным стержнем (12.02.2014 г), ложный сустав малоберцовой кости в нижней трети левой голени, посттравматический артроз левого голеностопного сустава 1 стадии. Укорочение левой нижней конечности на 1,0 см. Со слов пациента известно, что в детстве получил перелом большеберцовой кости, лечился консервативно, перелом сросся с деформацией. Травма в июле 2010 г. бытовая-упал на лестнице, получил перелом малоберцовой кости, и перелом большеберцовой кости без смещения. Выполнена операция: Остеотомия большеберцовой кости в нижней трети, интрамедуллярный блокированный остеосинтез большеберцовой кости левой голени. Гладкое течение послеоперационного периода. Перелом большеберцовой кости сросся. Функция конечности восстановилась. В июне 2013 г выполнена операция удаление интрамедуллярного стержня из большеберцовой кости левой голени. Гладкое течение послеоперационного периода. Приступил к занятием физкультурой, бег. В августе 2013 г спрыгнул с автобуса, с чемоданом в руках, появилась резкая боль в левой голени. За медицинской помощью обратился через 7 дней, при обследовании выявлено: Рефрактура большеберцовой кости. Рекомендовано консервативное лечение в гипсовой повязке. В январе 2014 г. установлен диагноз: Ложный сустав большеберцовой кости в нижней трети, малоберцовой кости в нижней трети левой голени. Контрактура сгибательно - разгибательная левого голеностопного сустава. Посттравматический артроз левого голеностопного сустава 1 стадии. Укорочение левой нижней конечности на 1,0 см. В феврале 2014 г выполнил первым этапом: Фиксацию ложного сустава в АНФ с восстановлением осей сегментов. Через семь дней БИОС с рассверливанием. После операции - вальгус голеностопного сустава. Гладкое течение послеоперационного периода. Нагрузка по переносимости боли. Через 6 недель динамизация, через 2 недели стали мигрировать 2 фронтальных винта. Пытался подкрутить, пришлось удалить. Через 6 мес., контроль - линия ложного сустава прослеживается, но имеется периостальная костная мозоль. Не хватает стабильности.Вопрос что делать?Вариант № 1- выполнить реостеосинтез с рассверливанием КМК и на 12 мм диаметра гвоздь (стоит 11 мм)и убрать ротацию стопы руками одномоментно или одномоментно при помощи АНФ во время операции. Вариант № 2 выполнить удаление гвоздя, сделать все то же, что 6 месяцев назад, но с восстановлением анатомических взаимоотношений в голеностопном суставе.Вариант № 3 Двухэтапно, вторым этапом пластина на большеберцовую кость + костная пластика области не сращения.Вариант № 4 удаление гвоздя и лечение в КДА. Вопросы:1. Какой вариант оперативного лечения будет оптимальным в данном случае.2. При двухэтапной методике в дистальном отломке имеется канал от гвоздя, как направить гвоздь к наружному отделу дистального отломка большеберцовой кости. Есть опасения, что гвоздик может пойти по тому же каналу. Использовать поллер спицы или винты – сработают ли? И достаточна ли будет жесткость фиксации дистального отломка большеберцовой кости на гвоздике при 3 – 4 винтах при реостеосинтезе гвоздем.3. Нужен ли остеосинтез малоберцовой кости в нижней трети, с целью создания латеральной опоры. К сообществу за советом.
<
|
>
|
|
Ответить
|
Re: голень, ложный сустав, гвоздь.
Alexander Chelnokov 16 Сентябрь 2014, 01:30
|
Здесь можно использовать все названные варианты. Гвоздь вполне тоже можно. Надо аппаратом восстановить длину и не повторять прежней ошибки - надо латеральную стенку сопоставить, а не оставлять наружного смещения. Да, надо ввести передне-задние спицы, чтобы не дать стержню попасть в старый канал. И длинной ручной разверткой лучше бы сформировать новый канал.
Можно сделать поперечную остеотомию периферического отломка на уровне конца центрального, и сместить его (периферический) кнутри.
Тут не очень понятно, какой снимок самый недавний. Лучше бы их отправлять не указанием срока или еще чего-то в названии, а просто с порядковой нумерацией.
|
[
Ответить ]
|
Re: голень, ложный сустав, гвоздь.
Отправитель: Денис Магданов 16 Сентябрь 2014, 11:34
|
Александр Николаевич спасибо за ответ. Три снимка перед внешним видом конечности крайние. На одном из них левая стопа в положении внутренней ротации 15 градусов.
|
[
Ответить ]
|
|
Re: голень, ложный сустав, гвоздь.
Oleg Afanasyev 20 Сентябрь 2014, 00:27
|
Резекция м/берцовой кости.
|
[
Ответить ]
|
Re: голень, ложный сустав, гвоздь.
Djoldas Kuldjanov 21 Сентябрь 2014, 09:51
|
“упал на лестнице, получил перелом малоберцовой кости, и перелом большеберцовой кости без смещения. Выполнена операция: Остеотомия большеберцовой кости в нижней трети, интрамедуллярный блокированный остеосинтез большеберцовой кости левой голени”
Осложнения ложным суставом в нижней трети голени встречаются часто, и на страницах Форума разбирали их неоднократно. Анализ показал, что ошибки в основном из-за нехватки материалов, и неадекватная хирургическая техника. В данном варианте даже современный гвоздь и проведенная профилактика по преотвращению образования ложного сустава к успеху не привели. Возникает вопрос, почему проделанное не сработало?
Возможно, не все снимки выставлены, потому что не нашел признаков проведенной динамизации, о которой писали. Верхние винты остались нетронутыми, трудно опознать динамизацию. По поводу применения “cap” на гвозде имеется сомнение, потому что высоко расположенный по верхнему краю гвоздь не позволяет воспроизвести динамизацию. Перед динамизацией надо укорачивать гвоздь или убирать “кап”.
Кроме этого, упомянули “остеотомию большеберцовой кости в нижней трети и интрамедуллярный блокированный остеосинтез большеберцовой кости левой голени”. Остеотомия большеберцовой при отсутствии смещения? Обычно когда необходимо, делают остеотомию для коррекции оси конечности, но тогда линия остеотомии должна пройти выше или ниже скелерозированного участка. Во первых, из-за топографических особенностей голени и еще, на вершине образования костной мозоли очень слабое кровообращение. Все эти факторы могут повлиять на восстановление отрицательно!
Еще замедление кровообращения в дистальной части голени может быть из-за курения табака!
По поводу лечения, проблем правильной установки гвоздя не будет. Можно с помощью поллеров, которые помогут вывести в нужную траекторию. Но, если прежние попытки не привели к успеху, стоит ли тогда повторить неудачный опыт? Какая гарантия, что вальгусные силы не деформирует ось. Надо пересмотреть иллюзию, что гвоздь является идеальным фиксатором для решения данной патологии! Еще, при попытке подвести проблему под определенный фиксатор, результат получается неутешительным!
Из предложенных, я бы остановился на третьем варианте. Основная работа должна быть против вальгуса, и медиальная пластина для этой роли не подходит. Передний доступ, остеотомия большой и малоберцовой. Сагиттальная пила для артропластики толстая и не экономит кость. Полотно не более, чем 1.1 мм толщиной, создает идеальную поверхность остеотомии. Затем боковая компрессия-лагированием и передная пластина с костным графтом! Возможно, потеряет часть высоты, но наконец то возникнет сращение!
|
[
Ответить ]
|
( Ответить )
|
|