ВХОД ДЛЯ ПАЦИЕНТОВ
вверх
поиск
админ
главная
|
После остеосинтеза лодыжек |
 |
 |
 |
Прислано Vasily Gagarin 20 Сентябрь 2014, 23:53
из
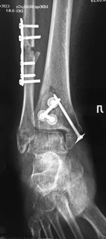
А вот такую задачку нам задали друзья с севера. Операция в мае этого года. На данный момент пациент опереться на конечность не может.
Возраст: за 50. Движений в голеностопном суставе практически нет ( в пределах 10-15 градусов) суставы стопы функционируют. Умеренная контрактура. Ходит с костылями, приступает на ногу. Нагрузка не по оси. Внешний вид: застарелый отек.
Да, и забыл отметить. Обратите внимание на синтез заднего края. Доступ с отсечением ахилла
Обратите внимание: Поля с жирными названиями обязательны.
Старайтесь отвечать в рамках обсуждаемой темы, а не начинать новые обсуждения.
Указывайте адекватную тему сообщения, чтобы было ясно, о чем оно.
Не послайте сообщений не по теме (оффтопик), раздраженных, грубых или обидных комментариев. Здесь это неуместно.
|