AOTRAUMA.ORG Центр Илизарова  

Ортопедия и травматология Общие вопросы/General questions Help Информационные технологии в медицине
 вверх
 отправить
 поиск
 админ
 главная


Перелом проксимального отдела большеберцовой - помогите с доступом
Ортопедия и травматология Отправлено Алексей 27 Сентябрь 2014, 16:15
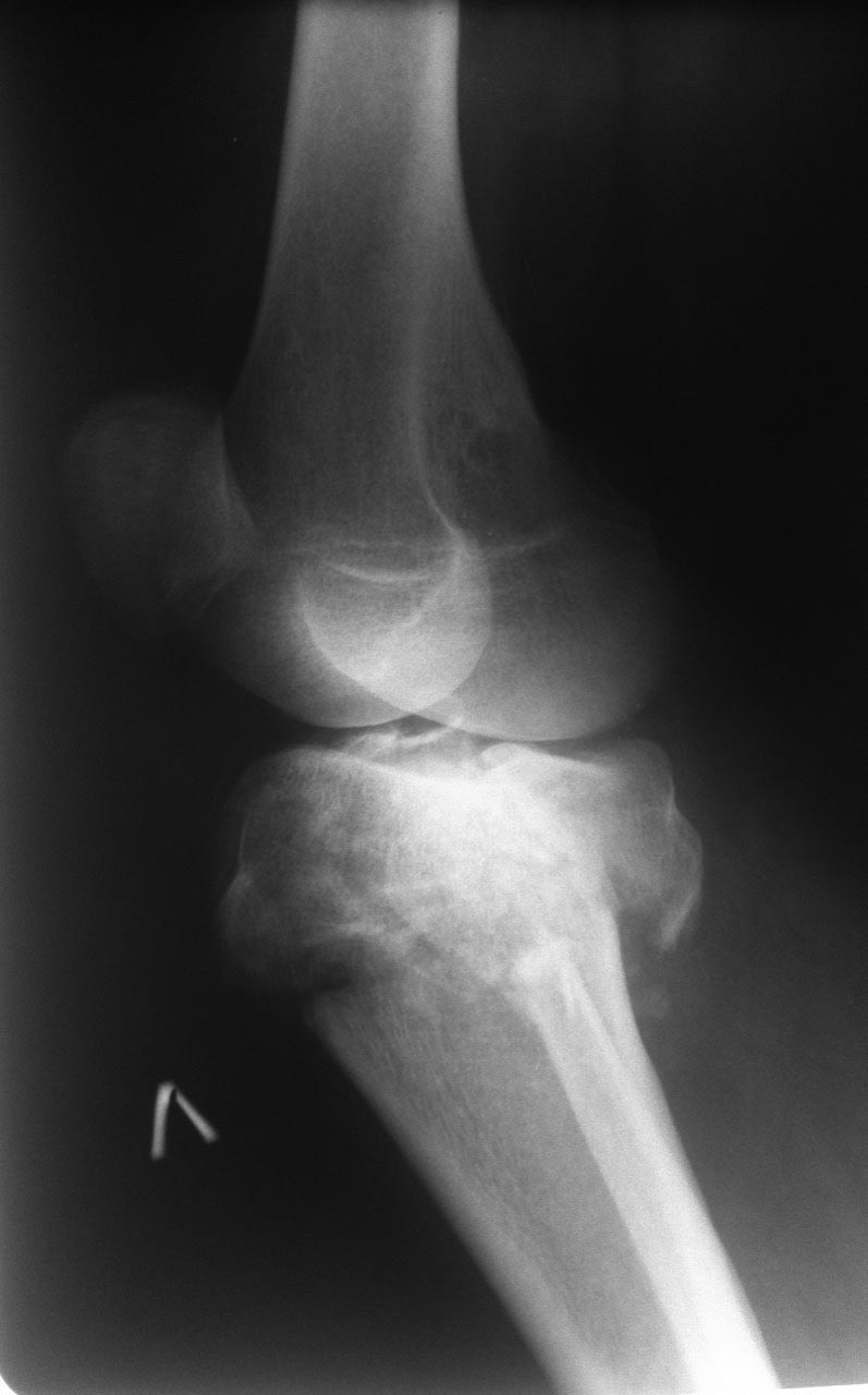
Мужчина 42 года. Травма 5 дней назад, спрыгнул с ж/д платформы (высота порядка 3-4 метров).
Планируется открытая репозиция и остеосинтез 2-мя пластинами. Ну и конечно же пластика костным трансплантатом. Возникла делема, из какого доступа будет лучше работать? А может из 2х? Уже устали спорить и доказывать друг другу свою правоту. Прошу у сообщества помощи..... А какой доступ сделали бы Вы?

<  |  >

 

  • Сообщения о Ортопедия и травматология
  • Также Алексей
  • Связаться с автором
  • Ответить

    Re: Перелом проксимального отдела большеберцовой - помогите с доступом
    Денис Магсумов 27 Сентябрь 2014, 22:31
    Я предпочел бы 2 доступа, отдельно на внутренний мыщелок и отдельно на наружный. Между ними (доступами) должно быть не менее 7 см. В таком случае я бы сначала наложил одноплоскостной стержневой АВФ на дистракцию (бедро-голень), работать на мыщелках будет проще.
    [ Ответить ]

    Re: Перелом проксимального отдела большеберцовой - помогите с доступом
    Антон Бехтерев 28 Сентябрь 2014, 00:14
    Алексей, КТ есть возможность сделать? Пока видчися остеосиниез двумя пластинами из двух доступов. А вот что и как нужно по данным компьютерной томографии планировать.
    [ Ответить ]

    Re: Перелом проксимального отдела большеберцовой - помогите с доступом
    Дедок Михаил 28 Сентябрь 2014, 01:15
    Доступов, вероятно, потребуется два, но вначале наложите дистрактор и сделайте снимки с ним + кт, если возможно. Часть фрагментов отрепонируется.
    [ Ответить ]

    Re: Перелом проксимального отдела большеберцовой - помогите с доступом
    Oleg Bondarev 28 Сентябрь 2014, 03:09
    Интересная постановка вопроса с Шацкер 6 на 5-е сутки.
    Ув. Алексей необходимо выполнить фиксацию АВФ с дистракцией и коррекцией оси. Затем выполнить КТ (определиться со смещениями отломков, состоянием суставной, импрессией ...). Да, надо еще подождать 2-3 недели до нормализации мягких тканей ;-) Или у Вас с ними все О'К?? После этого можно обсуждать доступы
    Олег Бондарев
    Минск, Беларусь
    [ Ответить ]

    Re: Перелом проксимального отдела большеберцовой - помогите с доступом
    Алексей 28 Сентябрь 2014, 13:49
    Спасибо Вам за Ваши рекомендации. В понедельник сделаю КТ и дополнительно выложу снимки. Просто пациенту "повезло" обратиться за помощью как раз перед выходными)) еще раз спасибо!
    [ Ответить ]

    Re: Перелом проксимального отдела большеберцовой - помогите с доступом
    Антон Андрианов 29 Сентябрь 2014, 14:03
    Посмотрите на АО рекомендации по этой ссылке

    [ Ответить ]

    Re: Перелом проксимального отдела большеберцовой - помогите с доступом
    Maxim agalakov 29 Сентябрь 2014, 17:02
    2 доступа, сначала заднемедиальный, затем переднелатеральный, с аппаратом нужно аккуратнее, можно получить компартмент и операция по состоянию м/т, если в ближайшее время ее не получить - можно попробовать аппаратом.
    [ Ответить ]

    Re: Перелом проксимального отдела большеберцовой - помогите с доступом
    Maksymov Vadym 01 Октябрь 2014, 00:11
    Вот еще информация http://www.vumedi.com/video/orif-of-bicondylar-tibial-plateau-fractures/
    [ Ответить ]

    Re: Перелом проксимального отдела большеберцовой - помогите с доступом
    Djoldas Kuldjanov, M.D. 12 Октябрь 2014, 10:15
    Здесь сложный перелом тибиал плато в результате травмы с высокой энергией. На интересующие вопросы ответ можно найти в прежних разборах или на сайте форума, где имеются ссылки на множество книг с описанием современной тактики лечения, включая доступы. Но без прежнего опыта лечения сложных внутрисуставных переломов, такая короткая подсказка не всегда поможет добиться успеха. Кроме этого, одного желания помощь больному не хватает, надо своевременно предоставить запрошенный коллегами материал. Пассивность со стороны автора уменьшает интерес, и обсуждение теряет актуальность! Надеюсь, в этом случае доведем разбор до конца и дождемся результатов операции...

    КТ срезы - не ради красоты изображения, а для определения топографии фрагментов! Доступ удобен на верхушке фрагментов, где легко делать репозицию и адекватную фиксацию. С количеством доступов до КТ можно не гадать, только на основании КТ можно определить направление доступа!

    Внутрисуставные переломы не терпят долгих бездействии, а решение надо принимать срочно, обычно в день поступления. Стандартные рентген снимки в двух проекциях, и повторить после дистракции. КТ рекомендуется после дистракции! Дистракцию лучше делать наружным фиксатором, но при отсутствии можно на скелетном вытяжении. На вопрос дистрагировать или нет, может ответить характер перелома. При переломах с вовлечением обеих колонн надо делать дистракцию, а перелом одной колонны имеет исключение. Чрезмерный вальгус или варус требуют восстановления оси наружным фиксатором, а небольшие деформации можно оставить на короткое время на шине (knee Immobilizer brace), потому что вторая колонна удерживает от укорочения.

    Прежний Early Total Care, т.е. принцип "все переломы фиксировать независимо от времени суток" в данном случае не подходит. Для переломов в результате травм с высокой энергией главным принципом является борьба против мягкотканой "памяти", которая во время травмы укорачивается вместе с переломом. Срочная фиксация в первые часы может осложниться трудностью закрытия ран, а поэтапный принцип обеспечит профилактику осложнений.

    Отсутствие отека и “wrinkle sign”, т.е. образование морщин, является готовностью кожи к операции, и спадение отека зависит от тяжести травмы. Иногда отек спадает в течение нескольких недель и кстати, на уменьшение отека не влияют так называемые рассасывающие сосудистые препараты! Положительный эффект можно получить только дистракцией, и от механических "сжимающих" устройств. Для уменьшения расходов на лечение подготовительный период можно проводить в амбулаторных условиях.

    Частым осложнением перелома является Компартмент Синдром, но это понятие является актуальным только в первые часы после перелома! И нет данных, что дистракция приведет к повышению давления в компартменте, особенно через несколько дней после травмы!

    Можно фиксировать циркулярным фиксатором или одной из преконтурированных блокирующих пластин. С латеральной стороны проблем не бывает, и пластина закрывается мягкими тканями без проблем. Отсутствует адаптированная медиальная пластина, и поэтому компенсируем более тонкими. Можно PERI-LOC™ VLP™, предназначенной для малоберцовой, которая легко сгибается по контуру кости. Здесь, кроме профилактики мягкотканых осложнений, действует принцип удержания фрагментов после репозиции с восстановлением суставной поверхности. Конечность до сращения нагрузку не несет, так что жесткость пластины не влияет на результат.

    Не всегда оправдана фиксация всех переломов сразу, и для профилактики осложнении можно разделить операцию на этапы, сперва одну строну и через несколько дней вторую. Кроме этого, не надо забывать, что ошибка происходит, когда игнорируется перелом заднего края. Можно установить заднюю buttress пластину или надо установить пластину так чтобы охватить все отделы, включая задние.
    [ Ответить ]


    ( Ответить )

    Powered by Zope  Squishdot Powered MedLink
    Посетитель: 0174326
      "По форме правильно, а по существу - издевательство" В.И.Ленин
    ©2001-2019Orthoforum Coordinator.
    [ Главная | Отправить сообщение | Поиск | Админ ]