AOTRAUMA.ORG Центр Илизарова  

Ортопедия и травматология Общие вопросы/General questions Help Информационные технологии в медицине
 вверх
 отправить
 поиск
 админ
 главная


Оскольчатый внутрисуставной перелом костей голени
Ортопедия и травматология Отправлено Артур Саакян 08 Октябрь 2014, 23:43
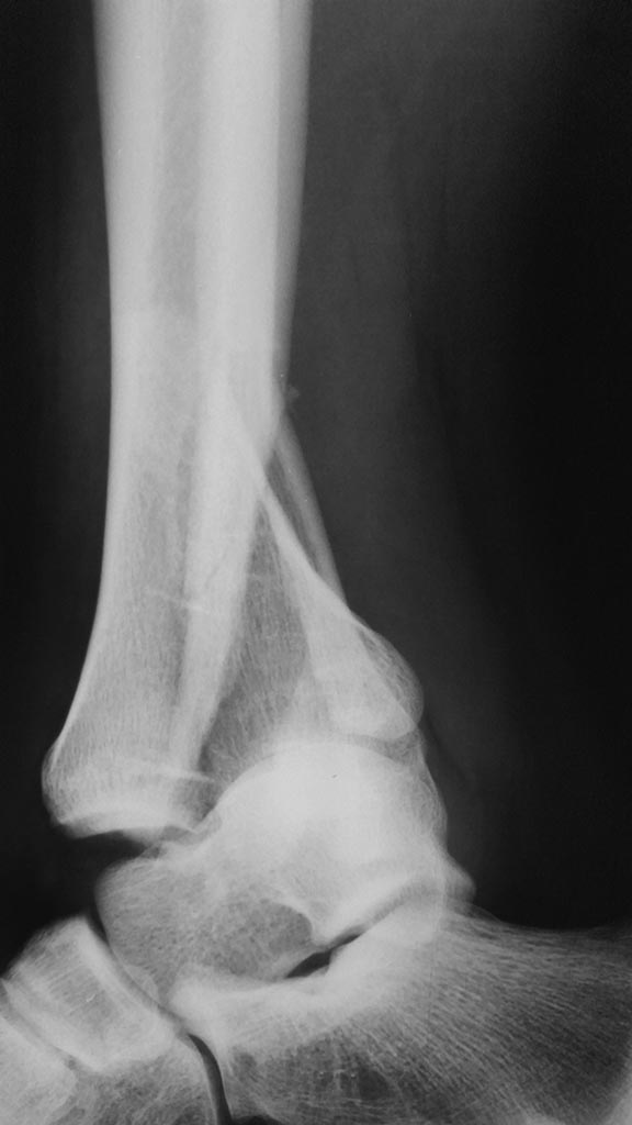
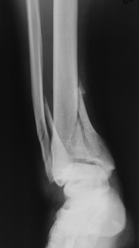
Пациент 24 года с внутрисуставным оскольчатым переломом дистального метаэпифиза большеберцовой кости, оскольчатым перелом нижней трети малоберцовой кости со смещением отломков.
Прошу помочь с тактикой.

<  |  >

 

  • Сообщения о Ортопедия и травматология
  • Также Артур Саакян
  • Связаться с автором
  • Ответить

    Re: Оскольчатый внутрисуставной перелом костей голени
    Михаил Астафичев 09 Октябрь 2014, 02:06
    Состояние мягких тканей? Первоначально дистрактор, м.б.остеосинтез малоберцовой. Повторное R-иссл. на фоне дистракции для точного планирования остеосинтеза большеберцовой кости.
    [ Ответить ]

    Re: Оскольчатый внутрисуставной перелом костей голени
    A.Liberson 09 Октябрь 2014, 07:40
    You should apply Ex Fix ASAP to avoid soft tisssue damage. I would prefer to see the CT already in Ex Fix. Later- definitive treatment according to aligmnment and the instruments you have- I mysellf would do Ilizarov or J&J low profile plate. You need move fast!
    Good luck ib this difficult case. AL
    [ Ответить ]

    Re: Оскольчатый внутрисуставной перелом костей голени
    Андрей Кияночкин 09 Октябрь 2014, 20:54
    Наверное прийдеться подождать недельку другую!Учитывая что больному в первые часы кроме наложения лонгеты и КТ больше ничего не сделано,голеностоп весь покрыт фликтенами.Согласен с предыдущими коментариями(дистрактор - устранение деформации и после спадения отека и заживления фликтен синтез из двух доступов.Начните с малоберцовой кости-востановление длинны малоберцовой кости ключ к вашему успеху!Желаю удачи!
    [ Ответить ]


    ( Ответить )

    Powered by Zope  Squishdot Powered MedLink
    Посетитель: 0174353
      "По форме правильно, а по существу - издевательство" В.И.Ленин
    ©2001-2019Orthoforum Coordinator.
    [ Главная | Отправить сообщение | Поиск | Админ ]