AOTRAUMA.ORG Центр Илизарова  

Ортопедия и травматология Общие вопросы/General questions Help Информационные технологии в медицине
 вверх
 отправить
 поиск
 админ
 главная


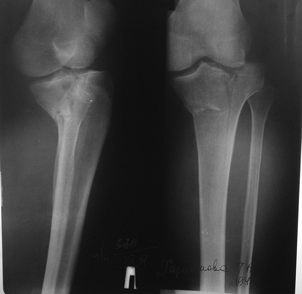
перелом медиального мыщелка большеберцовой кости
Ортопедия и травматология Отправлено Тимур 09 Октябрь 2014, 01:07
Доброго времени суток! Прошу совета. Женщена 66 лет упала с подножки 5 дней назад.
Состояние мягких тканей удовлетворительное. Соматически не отягощена. Посоветуйте, пожалуйста, чем оперировать и из какого доступа. По КТ изолированный перелом мыщелка(часть латерального целая)

<  |  >

 

  • Сообщения о Ортопедия и травматология
  • Также Тимур
  • Связаться с автором
  • Ответить

    Re: перелом медиального мыщелка большеберцовой кости
    Pavel L. 10 Октябрь 2014, 01:17
    Приветствую! КТ вы к сожалению не представили,была бы яснее картина.я бы делал два доступа, медиально опорная пластина, латерально PLT
    [ Ответить ]

    Re: перелом медиального мыщелка большеберцовой кости
    Георгий 10 Октябрь 2014, 04:14
    А по снимку наружный мыщелок тоже сломан
    [ Ответить ]

    Re: перелом медиального мыщелка большеберцовой кости
    Tikunov D.V. 10 Октябрь 2014, 13:09
    Добрый день! Мое мнение есть смысл сделать 2 доступа и фиксировать 2-мя Г или T- образными пластинами, так называемые опорные. Скорее всего будет дефект, который лучше заполнить трансплантатом из крыла подвздошной кости.

    [ Ответить ]

    • Re: перелом медиального мыщелка большеберцовой кости
      Отправитель: alexandr erockyin 11 Октябрь 2014, 02:24
      Зачем эти Т и Г-образные?? Есть блокированные пластины и медиальные и латеральные.
      Может и покажется кому-то неправильным и неудобным,но и обычный Илизаровский аппарат был бы уместен. Конечно открыто, после артротомии,ревизии сустава (мениск иногда находится между отломками). Возможно придется восстановить и ПКС и трансрлантат будет.

      [ Ответить ]
    Re: перелом медиального мыщелка большеберцовой кости
    maxim agalakov 16 Октябрь 2014, 17:34
    чем дело_то закончилось? Мениск часто лежит в переломе - в этом случае артротомия уже сделана переломом, специально к ней стремиться не нужно
    [ Ответить ]


    ( Ответить )

    Powered by Zope  Squishdot Powered MedLink
    Посетитель: 0000055
      "По форме правильно, а по существу - издевательство" В.И.Ленин
    ©2001-2019Orthoforum Coordinator.
    [ Главная | Отправить сообщение | Поиск | Админ ]