ВХОД ДЛЯ ПАЦИЕНТОВ
вверх
поиск
админ
главная
|
Перелом бедра периимплантный |
 |
 |
 |
Прислано Алексей Минервин 13 Октябрь 2014, 21:25
из
Уважаемые коллеги!
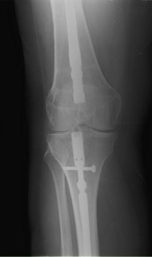
Хочется услышать ваше мнение. Пациентка 48 лет, без вредных привычек, получила свежую травму (с\3 диафиза правого бедра) при падении с лестницы.
Ранее (8 лет назад) была множественная травма, на бедре – перелом с\3, выполнен остеосинтез DFN Synthes (в др. ЛПУ). Перелом диафиза консолидировался очень медленно, от реостеосинтеза категорически отказывалась, в результате к 2 годам наступило сращение. Беспокоили боли при нагрузке, на рентгенограммах – зона разрежения вокруг кончика (проксимального) стержня и проксимальных винтов, согласилась лишь на удаление дистальных винтов для динамизации стержня. Пациентка пропала из поля зрения. Затем спустя 2 года при падении получает чрезвертельный перелом, выполнен остеосинтез бедренным винтом ( DHS ).
Планирую удаление имплантов (кроме проволоки), рассверливание костно-мозгового канала (сейчас стоит гвоздь 10 мм, попытаюсь рассверлить до 14-15 диаметра, чтобы поставить 12 мм или 13 мм гвоздь), внутрикостный остеосинтез блокированным стержнем (динамически).
Теперь вопросы:
1.Так как нет оригинального инструмента Synthes , то интересует резьба на конце стержня какой диаметр и метрическая ли она.
2.Есть ли заглушка на стержне (мне так кажется, что нет).
3.Нужно ли заполнять полость аутокостью от шеечного винта.
Извиняюсь за качество снимков.
Спасибо!
С уважением, А.Минервин.
Обратите внимание: Поля с жирными названиями обязательны.
Старайтесь отвечать в рамках обсуждаемой темы, а не начинать новые обсуждения.
Указывайте адекватную тему сообщения, чтобы было ясно, о чем оно.
Не послайте сообщений не по теме (оффтопик), раздраженных, грубых или обидных комментариев. Здесь это неуместно.
|