вверх
отправить
поиск
админ
главная
|
Опухоль дистального метаэпифиза бедренной кости |
 |
 |
 |
Отправлено Дедок Михаил 17 Октябрь 2014, 01:38 Гуз Узловская РБ
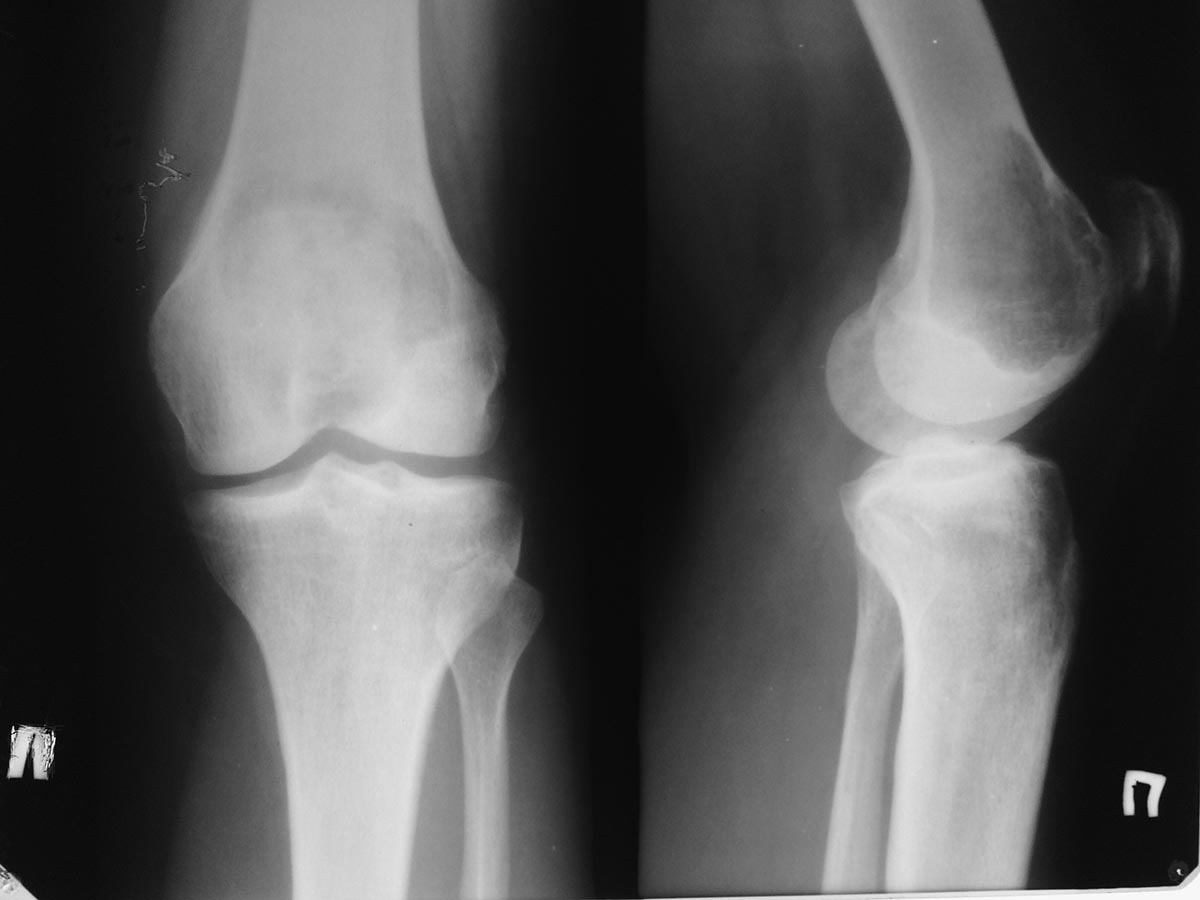
Помогите определиться с дальнейшей тактикой у молодой женщины с опухолью дистального отдела бедра. Обратилась на консультацию молодая женщина 34 лет. В январе появились боль в правом коленном суставе. Амбулаторно р- гр в прямой проекции - норма. Была незначительная травма. Боль усилилась. На днях повторно обратилась в поликлинику на рентгенограммах выявлена опухоль дистального метаэпифиза бедренгой кости. Сделано мрт. Мягкотканного компонента нет. Суставной хрящ пока интактен. Рентгенограмм прилагается. Завтра выложу мрт и сделаем ркт ( то же выложу) Предполагаю, что это остеобластокластома. Биопсию не сделаем, кт с контрастом и сцинтиграфию тоже. Учитывая угрозу патологического перелома рекомендовал костыли.
Вопросы: предположительный диагноз ?
Куда направить для консультации и лечение, чтобы не жевать сопли и по быстрому оформить квоты на ВМП.
Заранее спасибо!
<
|
>
|
|
Ответить
|
Re: Опухоль дистального метаэпифиза бедренной кости
Тони 17 Октябрь 2014, 10:19
|
Добрый день.
ЦИТО 6 отделение костной патологии, при наличии квот и мест от биопсии до операции от 1 до 3 месяцев.
|
[
Ответить ]
|
Re: Опухоль дистального метаэпифиза бедренной кости
Дедок Михаил 17 Октябрь 2014, 21:24
|
прилагаю МРТ и КТ. Образование накапливает радифармпрепарат :(
Р- грамма ОГК- норма.
|
[
Ответить ]
|
Re: Опухоль дистального метаэпифиза бедренной кости
Дедок Михаил 17 Октябрь 2014, 21:26
|

Снимки
|
[
Ответить ]
|
Re: Опухоль дистального метаэпифиза бедренной кости
Отправитель: Дмитрий 18 Октябрь 2014, 10:21
|
Добрый день,Михаил!А почему нет возможности взять биопсию?Мы иногда для этого применяем цилиндрическую фрезу(для удаления винтов),получается очень ровный столбик препарата. Я думаю если диагноз подтвердится на гистологии в дальнейшем дело двинется быстрее(я имею ввиду получение квоты),чем пациентки придется несколько раз ездить в Москву для осмотра и взятия биопсии.
|
[
Ответить ]
|
Re: Опухоль дистального метаэпифиза бедренной кости
Отправитель: Дедок 18 Октябрь 2014, 18:18
|
Технически легко. Тактически - надо делать по правилам абластики и через тот мышечно- фасциальный футляр, который потом уйдет в таз. Гистологию все равно будут пересматривать, делать иммуногистохимию и т д. Пусть занимаются специалисты.
|
[
Ответить ]
|
|
Re: Опухоль дистального метаэпифиза бедренной кости
maxim agalakov 18 Октябрь 2014, 11:09
|
Некоторые считают, что диагноз ОБК - рентгенологический. Гистологию можно и не получить, мы как-то удаляли, отправляли с фрагментами костной ткани интраоперационно - результат 0. Зато я видел 2-х пациентов с гнойными осложнениями после биопсии (кровь течет, рана не может закрыться) от которых отказывались и ортопеды (гной мы не лечим) и онкологи (в такой ситуации можем отпилить ногу/руку). Оперировал похожий случай 1 раз, вынужденно - с квотами были проблемы, пациентка была у же во всех лечебницах города - везде пнули. Только был проксимальный метафиз б/б кости, но почти полностью. Зашли через окно снаружи, максимально радикально острыми ложками, иногда долотом обработал края раны, промыл йодом, обработал азотом (криодеструкция - опционно, у нас такая возможность была и нам это показалось полезным), полость заместил костным цементом. пока результат 4 года, рецидива нет. даже заднемедиальный участок до которого я не добрался - склерозировался. В вашем случае меня больше смущает надколенник, возможно подскажут более опытные коллеги.
|
[
Ответить ]
|
Re: Опухоль дистального метаэпифиза бедренной кости
Отправитель: Sergiy Nesterenko 21 Ноябрь 2014, 06:02
|
Надколенник - вполне возможно просто субхондральные кисты.
Внешне похоже на ОБК. Другой вариант - аневризмальная киста, но вряд ли (на МРТ обычно видны множественные уровни жидкости).
Гигантоклеточная опухоль может быть гиперваскулярной, но обычно не в длинных костях.
В любом случае, без биопсии я ничего не делал бы. Это противоречит современным онкологическим принципам.
|
[
Ответить ]
|
|
( Ответить )
|
|