вверх
отправить
поиск
админ
главная
|
Отправлено Абдурашид 19 Октябрь 2014, 00:35
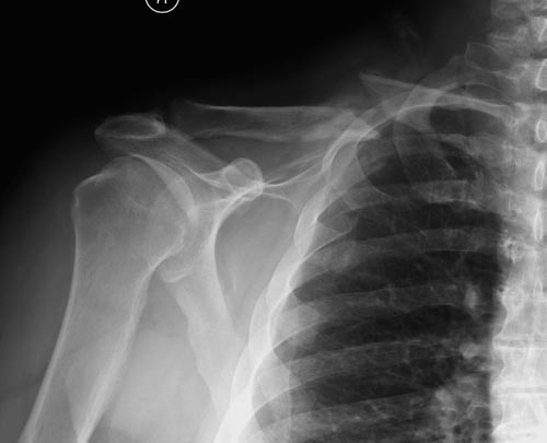
Уважаемые коллеги. Обратился пациент 29лет, оперирован в 2007 г. в Республиканском центре по поводу перелома ключицы и/м спицей, после несращения повторно оперирован в 2008 году, со слов больного освежение и повторно фиксация спицами, и обратился только через 6 лет, активные и пассивные движения в правом плечевом суставе в полном объеме, беспокоит только слабость при поднятии тяжести и подвижность в с/з ключицы. Р-снимок прилагается.Честно признаться, пока не знаю, что делать, имеются обычные пластины из ЦИТО, спицы, может, краевая резекция до появления «росы» дефект заполнить спонгиозной костью, фиксация и/м двумя спицами, загнуть оба конца спицы с компрессей, или пластина…или вообще не трогать. Прощу не критиковать, имеем то, что имеем, пациент в НИИТО не может ехать из-за финансов. С уважением Абдурашид.
<
|
>
|
|
Ответить
|
Re: ложный сустав ключицы
Магомед Черкасов 19 Октябрь 2014, 14:26
|
Здраствуйте Абдурашид.
Оставлять так однозначно нельзя. Сам по себе ложный сустав не срастется. По поводу спиц думаю, что если с двух попыток не решили проблему, не решат и в третий раз, так как не обеспечивают стабильный остеосинтез.
Краевая резекция до появления "росы", заполнить дефект аутокостью, стабилизировать отломки пластиной с у/с максимально атравматичным способом. На мой взгляд оптимальное решение.
|
[
Ответить ]
|
Re: ложный сустав ключицы
Дедок м 20 Октябрь 2014, 13:53
|
А есть простые реконструктивные пластины. Если ее по передн. поверхности? Или гвоздь Богданова с рассверливанием + костная пластика+ гипсовая дезо на 6 недель. Упаси Бог серкляж.. Костная пластика в любом случае. А если все таки спицы, то гипсовая дезо на 6 недель обязательно.
|
[
Ответить ]
|
Re: ложный сустав ключицы
Tikunov D.V. 21 Октябрь 2014, 20:46
|
Здравствуйте! На мой взгляд есть смысл удалить конструкцию, произвести краевую резекцию (только не пилить, а откусывать кость), взять костный трансплантат из крыла подвздошной кости, в проксимальной и дистальной части фрагментов сформировать костный канал, после чего сформировать костный канал в трансплантате сверлом 2,5 и фиксировать или пред изогнутой пластиной с у/с или обычной пластиной с у/с на 8-9 отверстий. Обязательно дать компрессию на пластине. В трансплантат можно провести блок. винт как деротационный, дабы избежать миграции.
|
[
Ответить ]
|
Re: ложный сустав ключицы
Отправитель: Дедок Михаил 21 Октябрь 2014, 22:14
|
В том то и беда, что пластин с у/с у них нет :(
А есть только " спици и простые пластины ЦИТО" отсюда "пляшем" в предложениях.
|
[
Ответить ]
|
|
Re: ложный сустав ключицы
Айрапетов Г.А. 27 Октябрь 2014, 19:41
|
Краевая резекция зоны ложного сустава, костная аутопластика из гребня подвздошной кости и дальше варианта два:
1. Фиксация любой имеющейся у вас пластиной (возможно использование реконструктивной пластины, т.к. остальные не имеют явных преимуществ по мнению ряда зарубежных авторов).
2. В вашем случае - использование аппарата внешней фиксации ( надеюсь у вас в отделении есть 2 стержня). Ознакомьтесь с кандидатской дис-ией Редько И.А. по лечению ложных суставов ключицы. Многие вопросы отпадут.
С уважением Айрапетов Г.А.
|
[
Ответить ]
|
Re: ложный сустав ключицы
Отправитель: Абдурашид 03 Ноябрь 2014, 22:27
|
В рассылке была отрывок по моему из методички Л. Соломина, и вдруг она исчезла, я не успел скачать,
Александр Николаевич, а можно еще раз посмотреть?
С уважением Абдурашид.
P.S. почему-то у меня интернет плохо работает.
|
[
Ответить ]
|
|
Re: ложный сустав ключицы
Игорь Редько 04 Ноябрь 2014, 16:46
|
Уважаемые друзья., после 32 лет работы травматологом ортопедом и лично оперированных не менее 50 пациентов с настоящими ложными суставами ключицы, настоятельно рекомендую: открытая репозиция, экономная адаптационная резекция, аутопластика костными трансплантатами из гребня большеберцовой кости, Фиксация реконструктивной титановой пластиной c угловой стабильностью. Костная пластика - хорошая, с перекрытие концов отломков, при атрофичном л/с, с истонченными концами не пытайтесь добраться до здоровой кости, перекрывайте зону несращения-дефекта трансплантатами, лучше с двух сторон. Старайтесь все винты провести через пластину. Избегайте свободно проведенных винтов - это вред. И каждый трансплантат должен быть фиксирован хотя бы одним винтом. И тогда всегда, почти всегда, вы добьетесь желаемого результата. Пластину лучше покрепче, например «Konigsee». -
С уважением Редько И.А.
|
[
Ответить ]
|
Re: ложный сустав ключицы
Leonid Solomin 04 Ноябрь 2014, 16:51
|
 pdf, 428 Kb
Уважаемый Абдурашид,
Файл с возможным решением прилагаю (последняя подглавка). Проверенная "палочка-выручалочка".
С уважением,
Л.Соломин
|
[
Ответить ]
|
Re: ложный сустав ключицы
Отправитель: Абдурашид 09 Ноябрь 2014, 22:07
|
Дорогой Леонид. Огромная спасибо что сочли нужным отправить файл, но почему-то пишет ошибка и не открывается., что можно делать? правда у меня последние месяцы интернет барахлить.
|
[
Ответить ]
|
Re: ложный сустав ключицы
Отправитель: Абдурашид 12 Ноябрь 2014, 22:50
|
Огромная благодарность Леониду Николаевичу! Это то, что нам очень подходит, еще раз спасибо! Пациент пока не пришел, видимо, думает. Как начнем лечение, я сообщу на форуме.
С уважением Абдурашид.
|
[
Ответить ]
|
|
Re: ложный сустав ключицы
Djoldas Kuldjanov 24 Ноябрь 2014, 10:34
|
Дорогой Абдурашид,
Описанный Леонидом метод - выход из положения, но подойдет больше для лечения свежих переломов, чем для ложного сустава. Когда накостный остеосинтез был представлен только пластиной Лэна и доминировала идея “Decision Non Incision”, наружный фиксатор был универсальным фиксатором для всех видов переломов, включая открытые. Тактику считали правильной, и все публикации (диссертации) писали о преимуществе закрытого остеосинтеза. Но рекламируемое преимущество только до операции, потому что больше чем половину репозиций ключицы делают открытым методом. Отсутствует информация насчет осложнений и трудностей, например, установки спицы. Возможно, для Леонида или для врачей из Кургана это проблем не составляет, но для большинства не просто. Для сверления кости потребуется приподнять ключицу, и в результате разрываются мягкие ткани сзади. Это приводит к нарушению кровообращения сзади и поэтому такие операции часто осложняются дефектами кости!
Отсутствие фиксирующего материала усложняет дело, но в эру навигационной техники, роботов (DaVinci) и имея арсенал пластин, не стоит увлекаться не очень популярным методом! Пластины в сравнении со спицами лучше создают стабильность и межфрагментарную компрессию. Минимальное разрушение мягкотканого футляра происходит спереди, где пластина, что благоприятно влияет на сращение. А компрессия при фиксации спицей приведет к укорочению и дисбалансу мышечной системы. Пластина предупреждает укорочение и удерживает костный графт при необходимости.
В данном случае надо подождать, случай не ургентный! Тем более, у большинства со старым ложным суставом функцию конечности не теряется, и они бессимптомны. Боли бывают только в начальном периоде, затем интенсивность уменьшается, и к ним привыкают. К врачам они обращаются, когда имеется косметический дефект, или когда им напоминают о ложном суставе.
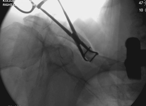
В заключение, только 25% изолированных переломов ключицы, леченных консервативным методом не срастаются, а из них 1/3 симптоматические. Болезненные ложные суставы надо оперировать, и здесь представлен случай свежего болезненного ложного сустава, оперированного через 4 месяца.

Освобожден средний фрагмент и боковая компрессия лагированием, фиксация пластиной..
Djoldas Kuldjanov, M.D.
Professor
Department of Orthopedic Surgery
St. Louis University
|
[
Ответить ]
|
Re: ложный сустав ключицы
Отправитель: Абдурашид 25 Ноябрь 2014, 19:37
|
Джолдас ,спасибо дорогой! Как я понял пластина не с угловой стабильностью, можно и обычной реконструктивной пластиной.
Больной пока не хочет, да и его особо ничего не беспокоит, функция конечности сохранена.
С уважением Абдурашид.
|
[
Ответить ]
|
Re: ложный сустав ключицы
Отправитель: Leonid Solomin 25 Ноябрь 2014, 20:28
|
Джолдас, дорогой!
> Описанный Леонидом метод - выход из положения, но подойдет больше для
> лечения свежих переломов, чем для ложного сустава.
"К сожалению" уж и не вспомню, когда использовали КНО для свежих
переломов. Нет, и при свежих работает очень хорошо, но, действительно,
почему не использовать современные импланты и избежать неудобств,
связанный с внешней фиксацией? "Наши" пациенты - как раз после 1-3
пластин, глубокой инфекции и т.п.
По остальному - без возражений :)
Обнимаю,
ЛС
|
[
Ответить ]
|
|
( Ответить )
|
|