вверх
отправить
поиск
админ
главная
|
Странное пятно вокруг послеоперационного рубца |
 |
 |
 |
Отправлено Бережной Сергей 21 Октябрь 2014, 22:12
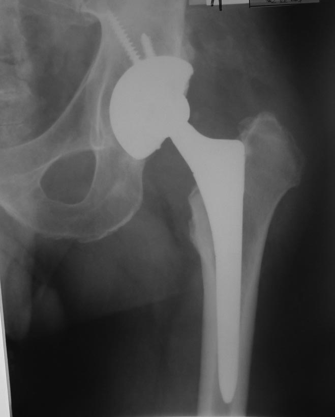
Уважаемые коллеги. В сообщении от 02 июля 2013 г. я уже писал об этом случае. Эндопротезирование пациенту 49 лет выполнил в 2007 г. по поводу коксартроза. В начале мая 2013 г. в состоянии запоя он упал со скамейки, после чего отметил припухлость в области паха и левой ягодицы. За помощью обратился почти через 2 мес. При пункции было удалено около 200 мл стерильной гноеподобной жидкости из области эндопротеза. За несколько дней жидкость снова набралась. 04.07.13 произведена санация гнойной полости с последующим вакуумированием раны. Во время операции признаков нестабильности и износа компонентов протеза, а также дебриса выявлено не было. Заменить полиэтиленовый вкладыш не удалось из-за неисправного запорного механизма. 08.07.13 выполнена пластика раны местными тканями. Дренаж удален через день. На фоне гладкого послеоперационного периода, 17.07.13, вследствие нарушения режима, произошел вывих головки эндопротеза, вправленный в тот же день закрыто. Послеоперационная рана зажила первичным натяжением, выписан 29.07 с рекомендацией ходить в ортезе при помощи костылей с частичной нагрузкой на левую ногу до 1 мес. после вывиха эндопротеза. Через неделю снова «ушел в запой» и был госпитализирован с очередным вывихом протеза. Подобные эпизоды повторялись до декабря 2013 г. еще 5 раз. Каждый раз удалялось до 100 мл стерильной серозногеморрагической жидкости. При последней госпитализации была отмечена гиперемия дистальной 1/3 послеоперационного рубца. Впоследствии пациенту удалось победить порочное пристрастие. Сейчас работает по специальности (водитель), при длительной ходьбе и к концу рабочего дня отмечает дискомфорт или легкую болезненность в области тазобедренного сустава. Наблюдаю его с интервалом в 2-3 месяца. Каждый раз пунктирую область эндопротеза, последние 2 раза жидкости практически не было. СОЭ – 25-40, С-рб до 15-20. Мыслей о замене протеза сейчас нет. Последние (июньские) рентгенограммы – без особенностей (прилагаются). Смущает только обширное синюшно-розовое пятно с отечной кожей (на фото), появившееся в декабре 13 г.: признаком чего оно может являться? Имеет ли прогностическую ценность? Встречался ли кто-нибудь с подобным? Заранее спасибо за ответы.
<
|
>
|
|