Ответить
|
Re: Ложный сустав плечевой кости
Станислав Дмитриев 31 Октябрь 2014, 20:11
|

Исходный снимок
|
[
Ответить ]
|
Re: Ложный сустав плечевой кости
Станислав Дмитриев 31 Октябрь 2014, 20:21
|

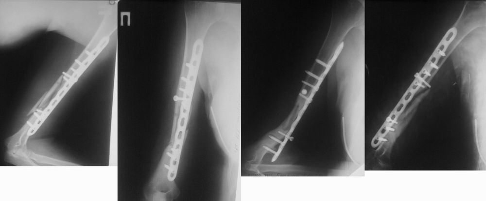
Снимки в динамике
|
[
Ответить ]
|
Re: Ложный сустав плечевой кости
Отправитель: Игорь Кучерявый 01 Ноябрь 2014, 12:13
|
Лечить рентген - привычное дело))) Однако хочется еще узнать, какие жалобы есть у пациентки и какова клиническая картина? Или она тоже лечит рентген-снимок?))
|
[
Ответить ]
|
|
Re: Ложный сустав плечевой кости
Alexander Chelnokov 01 Ноябрь 2014, 08:19
|
напрашивается удаление гвоздя и аппарат Илизарова.
Торчащую в подакромиальное пространство железку, конечно, надо удалять.
Дальше варианты, все виды остеосинтеза применимы, и выбор за тем, кто будет делать. Если надумаете перештифтовать - канал в периферическом отломке лучше сформировать ретроградно, то есть согнуть локоть, через локтевую ямку ввести спицу в канал, по ней канюлированным сверлом, и дальше разверткой. Это должно помочь уменьшить передне-заднее смещение. Можно еще дополнить это чрескожной остеотомией спереди назад через несращение.
|
[
Ответить ]
|
Re: Ложный сустав плечевой кости
Отправитель: Станислав Дмитриев 01 Ноябрь 2014, 10:53
|
Первоначально планировали мороку с поллерами на месте периферического конца гвоздя - латеральную "дорожку". затем вскрытие склерозированного участка разными сверлящими проводниками и т.д. Через периферию сделать канал - мысль хорошая, спасибо, Александр Николаевич. Об этом даже не думали. Насчет остеотомии подумаем. Анатомия лучевого нерва наверняка изменена.
|
[
Ответить ]
|
|
Re: Ложный сустав плечевой кости
Ряполов Юрий 02 Ноябрь 2014, 01:10
|
+1 за ретроградный БИОС
|
[
Ответить ]
|
Re: Ложный сустав плечевой кости
Отправитель: Alexander Chelnokov 02 Ноябрь 2014, 13:14
|
Подразумевалось ретроградное только формирование и рассверливание канала в периферическом отломке. Как раз заштифтовать лучше антеградно, гвоздь получится очень дистально провести.
|
[
Ответить ]
|
|
( Ответить )
|