Ответить
|
Re: Остеоэпифизеолиз пилона
виталий 04 Ноябрь 2014, 18:46
|
дождаться погружного остеосинтеза лодыжек
|
[
Ответить ]
|
Re: Остеоэпифизеолиз пилона
Отправитель: Дедок 04 Ноябрь 2014, 19:48
|
Если это были просто лодыжки я б и не спрашивал :(
|
[
Ответить ]
|
|
Re: Остеоэпифизеолиз пилона
Lev Lapidus 04 Ноябрь 2014, 21:49
|
Добрый день Михаил.
Если позволяет кожа надо сделать открытую репозицию и фиксацию cannulated screws параллелно зоне роста. Это внутрисуставной перелом, репозиция должна быть анатомическая. На фибулу 1/3 tubular plate and syndesmotic screw. В отношение зоны роста время для операции не самое лучшее, но в данной ситуации важнее сохранить сустав. Если будет growth arrest и деформиция эту проблему можно потом решить.
Сейчас важнее сустав.
С уважением
Lev Lapidus M.D.
Pediatric Orthopaedic Surgeon
|
[
Ответить ]
|
Re: Остеоэпифизеолиз пилона
Alexey Semenistyy 05 Ноябрь 2014, 01:33
|
Михаил, несколько с опозданием прочитал Вашу тему. Из предложенных Вами вариантов самым подходящим выглядит третий. С момента госпитализации прошло уже 10 дней. Мягкие ткани уже должны были зажить. Что-нибудь сделали? Согласен с коллегами из Израиля: малоберцовую 1\3 трубкой, суствной блок винтами, межберцовый винт - возможно, но не факт.
Конечно первым этапом можно было бы зафиксировать малоберцовую, это значительно бы улучшило ситуацию с суcтавным блоком tibia. После этого cделать КТ и планировать реконструкцию сустава с фиксацией винтами. ... В 15 лет считайте день за полтора у взрослого.
P.S. за тарелку борща мог бы приехать помочь, если необохидимо
С уважением,
Алексей Семенистый
|
[
Ответить ]
|
Re: Остеоэпифизеолиз пилона
A.Liberson 05 Ноябрь 2014, 08:10
|
Уважаемый доктор Дедок
Я вижу тут две проблемы
1 - перелом
2 - мягкие ткани
Этот перелом должен быть фиксирован винтами в тибии (TILLOUX FRAGMENT) и синдезмоз и платой фибулы открыто тогда когда мягкие ткани етого позволят.
Пока вытяжение или EX FIX.
Еслебы выпровление произошло раньше то может быть поражение мягких тканей как сейчас былобы меньше.
GOOD LUCK IN THIS COMPLICATED CASE.
DOC. AHARON
|
[
Ответить ]
|
Re: Остеоэпифизеолиз пилона
Евгений 07 Ноябрь 2014, 16:48
|
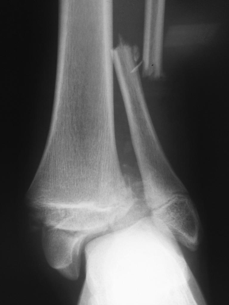
Такой перелом можно можно полечить без больших разрезов. На дистракторе добиться репозиции малоберцовой кости и произвести остеосинтез эластичным титановым стержнем, а внутреннюю лодыжку винтами. Судя по снимку ростковая зона б/берцовой кости близка к закрытию и мучиться с параллельным к зоне роста введением винтов не стоит, лучше раньше убрать винты (через 2-3 месяца). Синдесмоз в данном случае не поврежден (у подростков это вообще бывает крайне редко).
P.S. Скромное мнение детского травматолога...
|
[
Ответить ]
|
Re: Остеоэпифизеолиз пилона
Евгений 07 Ноябрь 2014, 17:12
|
Также малоинвазивно фиксировать фрагмент передне-наружного края дистального эпифиза б\берцовой кости. Таким образом получится 3 разреза по 2 см и решится проблема с мягкими тканями.
|
[
Ответить ]
|
Re: Остеоэпифизеолиз пилона
Дедок Михаил 07 Ноябрь 2014, 20:09
|
Уважаемые коллеги, всем огромное спасибо за рекомендации. Сегодня прооперировали. Презервативы в операционной оказались кстати :)

Фото синтеза прилагаю. Качество не ахти, так как фоткал с экрана. Но все видно.
P.S. Алексей Юрьевич, на борщ всегда рады Вас видеть. Культурную программу обеспечим. У нас наконец-то закончился ремонт. Так что ждем. Напишу в личку.
Еще раз всем спасибо!
|
[
Ответить ]
|
|
( Ответить )
|