AOTRAUMA.ORG Центр Илизарова  

Ортопедия и травматология Общие вопросы/General questions Help Информационные технологии в медицине
 вверх
 отправить
 поиск
 админ
 главная


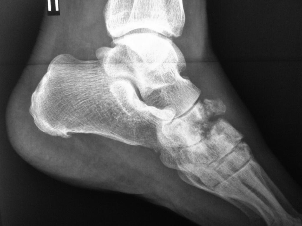
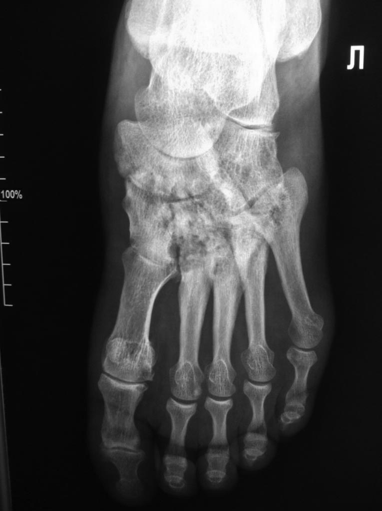
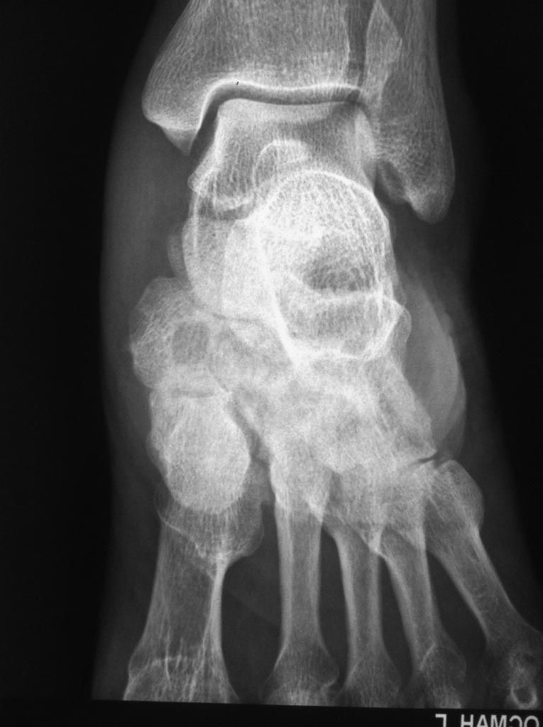
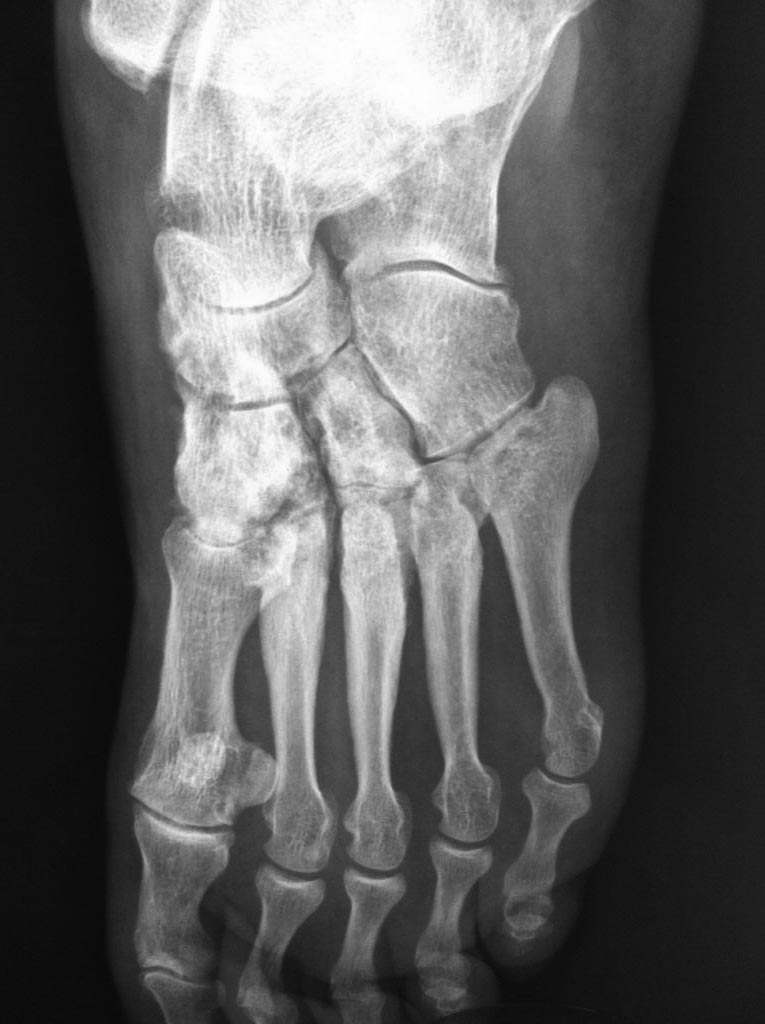
Асептический некроз костей среднего отдела стоп.
Ортопедия и травматология Отправлено Эльдар Шамадаев 17 Ноябрь 2014, 22:19
Доброго времени суток. Обратился пациент, 62 года, бытовые и трудовые условия в данное время не отягощены и не были никогда тяжелыми, без вредных привычек,
со слов оперативных вмешательств не было, курсов гормональной терапии не получал, периодически принимает лекарственные препараты от арт. гипертензии. Без видимых причин около 1 года назад появились боли в стопах при ходьбе и нагрузке, в связи с чем обратился к ортопеду.

Лаб исследования: Ревмофактор, С-реакт. белок, АЦЦП, Мочевая кислота и др. в пределах возрастной нормы. Хотелось бы услышать мнения. Заранее благодарен.

<  |  >

 

  • Сообщения о Ортопедия и травматология
  • Также Эльдар Шамадаев
  • Связаться с автором
  • Ответить

    Re: Асептический некроз костей среднего отдела стоп.
    Анатолий 18 Ноябрь 2014, 16:25
    ... а сахар крови?
    [ Ответить ]

    Re: Асептический некроз костей среднего отдела стоп.
    Бардюгов Петр 18 Ноябрь 2014, 19:55
    А сахара?
    Нет диабета?
    не похоже на диабетическую остеортрапатию,но...вдруг?
    [ Ответить ]

    Re: Асептический некроз костей среднего отдела стоп.
    Sereda Andrey 19 Ноябрь 2014, 00:41
    Добрый день. Похоже на Charcot
    [ Ответить ]

    Re: Асептический некроз костей среднего отдела стоп.
    Sereda Andrey 19 Ноябрь 2014, 00:44
    И, забыл добавить, есть мнение, что ингибиторы АПФ, например эналаприл, эту саму артропатию Шарко могут вызывать.
    http://www.ehealthme.com/ds/enalapril+maleate/charcot+arthropathy
    [ Ответить ]

    • Re: Асептический некроз костей среднего отдела стоп.
      Отправитель: Эльдар Шамадаев 20 Ноябрь 2014, 14:22
      Спасибо за ответ.

      [ Ответить ]
    Re: Асептический некроз костей среднего отдела стоп.
    yardeniska 20 Ноябрь 2014, 11:39
    Нужно исключить костный туберкулёз!
    [ Ответить ]

    • Re: Асептический некроз костей среднего отдела стоп.
      Отправитель: Эльдар Шамадаев 20 Ноябрь 2014, 15:55
      Спасибо, отправим на консультацию к фтизиатру.

      [ Ответить ]
      • Re: Асептический некроз костей среднего отдела стоп.
        Отправитель: yardeniska 26 Ноябрь 2014, 12:21
        Доброго времени суток! Ну как больной? Решилась проблема?

        [ Ответить ]

     

    ( Ответить )

    Powered by Zope  Squishdot Powered MedLink
    Посетитель: 0204852
      "По форме правильно, а по существу - издевательство" В.И.Ленин
    ©2001-2019Orthoforum Coordinator.
    [ Главная | Отправить сообщение | Поиск | Админ ]