AOTRAUMA.ORG Центр Илизарова  

Ортопедия и травматология Общие вопросы/General questions Help Информационные технологии в медицине
 вверх
 отправить
 поиск
 админ
 главная


Кокса вара
Ортопедия и травматология Отправлено 432 17 Декабрь 2014, 20:31
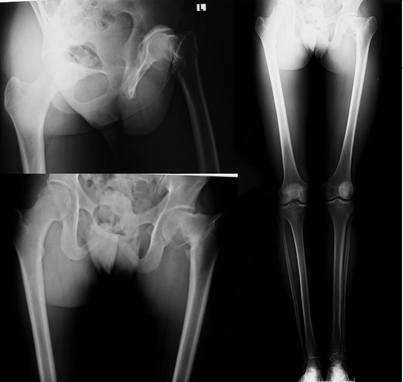
Пациент 18 лет травма в 13 летнем возрасте, остеоэпифезиолиз шейки бедра
лечится консервативно
сейчас. Перелом сросся, беспокоят периодически не очень интенсивные боли при нагрузках. Беспокоит укорочение - 4 см, Что делать - протез? Остеотомия (какая?)? удлинить голень?
Корректно ли поставить диагноз постравматическая koxa vara?

<  |  >

 

  • Сообщения о Ортопедия и травматология
  • Также 432
  • Связаться с автором
  • Ответить

    Re: Кокса вара
    Майя 19 Декабрь 2014, 17:13
    Я думаю, что диагноз "посттравматическая coxa vara". Насчёт того, что сросшийся перелом - надо сделать КТ (что-то не совсем нравятся рентгенограммы, хотя зона перелома и возраст - должно было консолидироваться). Но это был не "остеоэпифизеолиз шейки бедра". На этом уровне нет зоны роста, она гораздо проксимальнее, и с возрастом зона перелома на этом уровне не смещается. Юношеский эпифизеолиз головки бедренной кости и его последствия на рентгенограммах выглядят по-другому. Я не оперирующий врач, но по-моему, здесь нужно эндопротезирование.
    [ Ответить ]

    Re: Кокса вара
    Alexander Chelnokov 19 Декабрь 2014, 22:47
    Пациент 18 лет травма в 13 летнем возрасте, остеоэпифезиолиз шейки бедра, лечится консервативно сейчас. Переелом сросся,

    Да, вряд ли это эпифизеолиз, там головка бы одна сползла, а тут на уровне основания шейки был перелом.

    Остеотомия (какая?)

    Конечно, вальгизирующая остеотомия. Мы сейчас делаем с использованием интрамедуллярного гвоздя, очень нравится.

    Корректно ли поставить диагноз постравматическая koxa vara?

    только не koxa, а coxa, во-1-х. Во-2-х, надо сделать снимок в сгибании в тазобедренном суставе 90 градусов. А лучше бы еще и КТ. И коажется, что это не только варус, а и еще что-нибудь - антекурвация, антеторсия.
    [ Ответить ]

    Re: Кокса вара
    Djoldas Kuldjanov 21 Декабрь 2014, 11:36
    Для решения о тактике лечения все мнения полезны, но эндопротезировать в юном возрасте вряд ли согласятся оперирующие хирурги. Для растущего возраста необходимы другие восстановительные операции, которые без замены сустава помогли бы восстановить опороспособность конечности.
    Здесь остаточное явление после перелома шейки с внутренней ротацией. Перед операцией надо определиться со степенью ротации шейки трехдименционной КТ и потом планировать операцию.

    Правильно заметили, что "не только варус, а и еще что-нибудь - антекурвация, антеторсия". Для исправления укорочения показана вальгусная остеотомия, но здесь, кроме варуса, имеется изгиб в шейке. При наличии только варусной деформации, как предлагает Александр, можно применить гвоздь, но исправление только в одной плоскости может привести к следующей проблеме...

    При изучении вопросов "болей в тазобедренном суставе" мы подробно остановились на факторах, приводящих к "импинджменту". Как раз состояния после эпифизеолиза и остаточные явления после невправленнго перелома шейки являются одними из главных причин импинджмента!

    Многоступенчатую коррекцию закрыто трудно выполнить на гвозде! Здесь нужно исправить деформацию и укорочение. Вальгусная остеотомия восстановит укорочение, а ротация в шейке останется.

    Для решения всех проблем к вальгусной остеотомии необходимо добавить ротацию шейки. Отсечь вертел и сделать“паз” для имплантата. То же самое в шейке. После остеотомии сперва одевается клинок Blade Plate на вертел, потом в шейку в правильном направлении.

    Только таким образом можно создать идеальный контур конечности и сохранить биомеханику в проксимальном отделе бедра. Примеры удлинения шейки неоднократно выставлялись на сайте...
    [ Ответить ]


    ( Ответить )

    Powered by Zope  Squishdot Powered MedLink
    Посетитель: 0000018
      "По форме правильно, а по существу - издевательство" В.И.Ленин
    ©2001-2019Orthoforum Coordinator.
    [ Главная | Отправить сообщение | Поиск | Админ ]