Ответить
|
Re: Прохождение облитерированного канала
Леонид Пак 28 Декабрь 2014, 12:08
|
Развертки титановые выпускает ЦИТО, на производство надо попросить чтоб сделали "как у Челнокова" . Начальник производственного отдела Онухов Михаил Сергеевич телефон 450-26-61 Или у СИНТЕЗА есть разверстки для предварительного рассверливания - их минус цена и длина (коротковаты)
С уважением Леонид Пак
|
[
Ответить ]
|
Re: Прохождение облитерированного канала
Абдурашид 28 Декабрь 2014, 17:55
|
Мы уже шесть лет применяем титановые тугоэластичные развертки, при помощи которых можно закрыто пройти через любой псевдоартроз, при наличии деформации конечно после кортикотомии и коррекции деформации одномоментно или постепенно при помощи аппарата Илизарова, . По поводу приобретения и хитрости применения надо обращаться Челнокову А.Н.
С уважением Абдурашид.
|
[
Ответить ]
|
Re: Прохождение облитерированного канала
Бережной Сергей 28 Декабрь 2014, 18:14
|

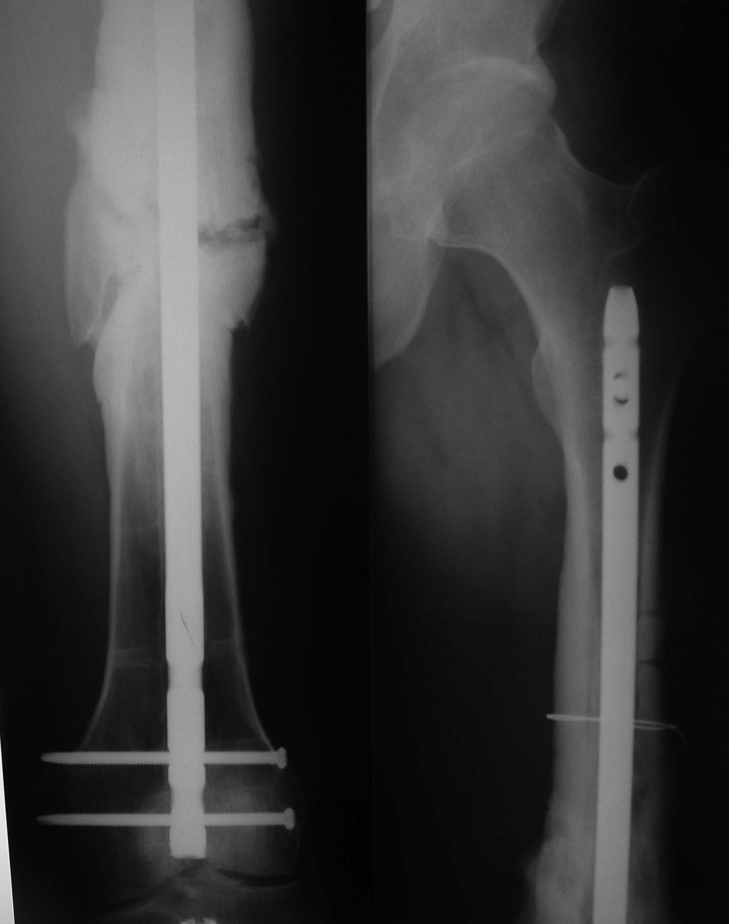
У Синтеза есть хороший набор для этих целей. С возможностью охлаждения формируемого канала и забора аутостружки. Вариант не очень бюджетный и развертки достаточно агрессивные. Нужен постоянный контроль, чтобы не пенетрировать кортикальный слой. Во вложении пример. Правда тоже не голени, а верхней 1\2 бедра (снимки до и через 3 мес после операции).
|
[
Ответить ]
|
Re: Прохождение облитерированного канала
Антон Бехтерев 29 Декабрь 2014, 01:44
|
В подобном случае на голени воспользовались предварительно заточенным тонким голенным гвоздем, используя его, как шило.
|
[
Ответить ]
|
Re: Прохождение облитерированного канала
Alexander Chelnokov 29 Декабрь 2014, 07:18
|
Да, надо что-то длинное, острое и иной раз эластичное, если по дуге надо, а не по прямой пройти. Можно из подручных материалов какое-то длинное шило сымпровизировать. Мы в свое время из бедренных и большеберцовых заготовок титановых гвоздей прямугольного сечения наделали. Они, правда, коротковаты, 50 см всего. Так что в дальнейшем из аналогичных титановых полос длиной 75 см делали в разных местах. Предприятие ЦИТО что-то подобное может сделать. Адрес мой alex61[at]gmail.com.
|
[
Ответить ]
|
Re: Прохождение облитерированного канала
Беляевский Дмитрий 31 Декабрь 2014, 01:01
|
мы зажимаем 7 спиц Киршнера (2мм) в дрель и получившимся стальным жгутом формируем канал, затем уже идут развертки гибкие
|
[
Ответить ]
|
( Ответить )
|