вверх
отправить
поиск
админ
главная
|
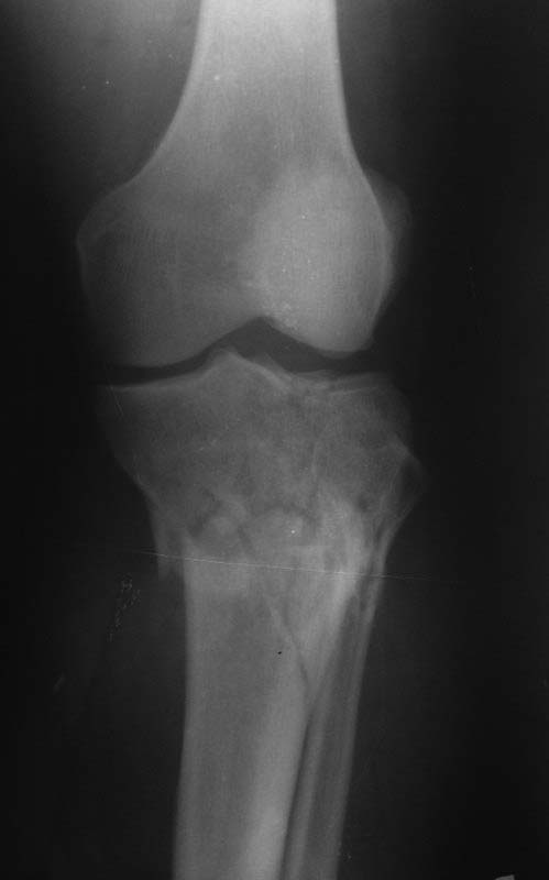
Внутрисуставной перелом в/3 б/берцовой кости |
 |
 |
 |
Отправлено Dr.Gamzat Khalimov 30 Декабрь 2014, 02:30
Уважаемые коллеги.Прошу помочь с тактикой оперативного лечения данного перелома. Пациент 52 лет. Травма получена 22.12.13.ДТП. Находится на скелетном вытяжении. Планируем дистракциюв аппарате (база на мыщелки бедренной кости и база на голень). После чего малоинвазивно пластину. Вопрос: как лучше и менее травматично устранить смещение? Лучше ли без аппарата,открыто? Коллеги,уверен у вас большой опыт лечения подобных переломов. Буду очень признателен если поделитесь. Заранее спасибо.
<
|
>
|
|